ARG45163
anti-LMTK3 antibody
anti-LMTK3 antibody for IHC-Formalin-fixed paraffin-embedded sections,Western blot and Human,Mouse,Rat
概述
| 产品描述 | Rabbit Polyclonal antibody recognizes LMTK3 |
|---|---|
| 反应物种 | Hu, Ms, Rat |
| 应用 | IHC-P, WB |
| 宿主 | Rabbit |
| 克隆 | Polyclonal |
| 同位型 | IgG |
| 靶点名称 | LMTK3 |
| 抗原物种 | Human |
| 抗原 | Recombinant protein containing to human LMTK3. |
| 偶联标记 | Un-conjugated |
| 別名 | LMTK3; lemur tyrosine kinase 3; Serine/threonine protein kinase LMTK3; Lemur tyrosine kinase 3; LMTK3; KIAA1883; TYKLM3 |
应用说明
| 应用建议 |
|
||||||
|---|---|---|---|---|---|---|---|
| 应用说明 | * The dilutions indicate recommended starting dilutions and the optimal dilutions or concentrations should be determined by the scientist. | ||||||
| 实际分子量 | 153 kDa |
属性
| 形式 | Liquid |
|---|---|
| 纯化 | Affinity purification with immunogen. |
| 缓冲液 | 0.2% Na2HPO4, 0.9% NaCl, 0.05% Sodium azide and 4% Trehalose. |
| 抗菌剂 | 0.05% Sodium azide |
| 稳定剂 | 4% Trehalose |
| 浓度 | 0.5 mg/ml |
| 存放说明 | For continuous use, store undiluted antibody at 2-8°C for up to a week. For long-term storage, aliquot and store at -20°C or below. Storage in frost free freezers is not recommended. Avoid repeated freeze/thaw cycles. Suggest spin the vial prior to opening. The antibody solution should be gently mixed before use. |
| 注意事项 | For laboratory research only, not for drug, diagnostic or other use. |
生物信息
| 基因名称 | LMTK3 |
|---|---|
| 全名 | lemur tyrosine kinase 3 |
| 背景介绍 | Lemur tyrosine kinase 3 is a protein that in humans is encoded by the LMTK3 gene. It is mapped to 19q13.33. LMTK3 (lemur tyrosine kinase 3), also known as LMR3 or TYKLM3, is a 1,460 amino acid protein that contains one protein kinase domain. One of several members of the protein kinase superfamily, LMTK3 is expressed at low levels in brain and testis where it catalyzes the ATP-dependent phosphorylation of target proteins, thereby modifying their function. |
| 生物功能 | Protein kinase which phosphorylates ESR1 (in vitro) and protects it against proteasomal degradation. May also regulate ESR1 levels indirectly via a PKC-AKT-FOXO3 pathway where it decreases the activity of PKC and the phosphorylation of AKT, thereby increasing binding of transcriptional activator FOXO3 to the ESR1 promoter and increasing ESR1 transcription. [UniProt] |
| 细胞定位 | Golgi apparatus membrane . [UniProt] Membrane . [UniProt] Single-pass membrane protein . [UniProt] Axon . [UniProt] Dendrite . [UniProt] |
| 预测分子量 | 153 kDa |
| 翻译后修饰 | Glycoprotein; Methylation; Phosphoprotein. [UniProt] |
检测图片 (4) Click the Picture to Zoom In
-
ARG45163 anti-LMTK3 antibody WB image
Western blot: HEK293, PC-3, and U2OS stained with ARG45163 anti-LMTK3 antibody at 0.5 μg/ml dilution.
-
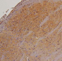
ARG45163 anti-LMTK3 antibody IHC-P image
Immunohistochemistry: Rat brain stained with ARG45163 anti-LMTK3 antibody at 1 μg/ml dilution. .
-
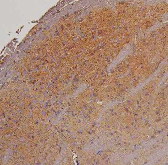
ARG45163 anti-LMTK3 antibody IHC-P image
Immunohistochemistry: Mouse brain stained with ARG45163 anti-LMTK3 antibody at 1 μg/ml dilution.
-
ARG45163 anti-LMTK3 antibody WB image
Western blot: Mouse thymus stained with ARG45163 anti-LMTK3 antibody at 0.5 μg/ml dilution.
