ARG44860
anti-LMOD1 antibody
anti-LMOD1 antibody for IHC-Formalin-fixed paraffin-embedded sections,Immunoprecipitation,Western blot and Human
概述
| 产品描述 | Mouse Monoclonal antibody recognizes LMOD1 |
|---|---|
| 反应物种 | Hu |
| 应用 | IHC-P, IP, WB |
| 宿主 | Mouse |
| 克隆 | Monoclonal |
| 同位型 | IgG1 |
| 靶点名称 | LMOD1 |
| 抗原物种 | Human |
| 抗原表位 | VSEDPDIDSL LETLSPEEME ELEKELDVVD PDGSVPVGLR QRNQTEKQST GVYNREAMLN FCEKETKKLM QREMSMDESK QVETKTDAKN GEERGRDASK KALGPRRDSD LGKEPKRGGL KKSFSRDRDE AGGKSGEKPK EEKIIRGIDK GRVRAAVDKK EAGKDGRGEE |
| 偶联标记 | Un-conjugated |
| 別名 | LMOD1; Leiomodin 1; SM-LMOD; SMLMOD; 64kD; D1; 1D; Thyroid-Associated Ophthalmopathy Autoantigen; Leiomodin 1 (Smooth Muscle); Smooth Muscle Leiomodin; 64 KDa Autoantigen 1D3; Leiomodin, Muscle Form; 64 KDa Autoantigen 1D; 64 KDa Autoantigen D1; Leiomodin-1; Thyroid And Eye Muscle Autoantigen D1 (64kD); Leimodin 1 (Smooth Muscle); SM-Lmod; MMIHS3 |
应用说明
| 应用建议 |
|
||||||||
|---|---|---|---|---|---|---|---|---|---|
| 应用说明 | * The dilutions indicate recommended starting dilutions and the optimal dilutions or concentrations should be determined by the scientist. |
属性
| 形式 | Liquid |
|---|---|
| 纯化 | Protein A purification |
| 缓冲液 | PBS with 0.09% sodium azide |
| 抗菌剂 | 0.09% sodium azide |
| 存放说明 | For continuous use, store undiluted antibody at 2-8°C for up to a week. For long-term storage, aliquot and store at -20°C or below. Storage in frost free freezers is not recommended. Avoid repeated freeze/thaw cycles. Suggest spin the vial prior to opening. The antibody solution should be gently mixed before use. |
| 注意事项 | For laboratory research only, not for drug, diagnostic or other use. |
生物信息
| 数据库连接 | |
|---|---|
| 基因名称 | LMOD1 |
| 全名 | Leiomodin 1 |
| 背景介绍 | The leiomodin 1 protein has a putative membrane-spanning region and 2 types of tandemly repeated blocks. The transcript is expressed in all tissues tested, with the highest levels in thyroid, eye muscle, skeletal muscle, and ovary. Increased expression of leiomodin 1 may be linked to Graves' disease and thyroid-associated ophthalmopathy. [provided by RefSeq, Jul 2008] |
| 生物功能 | Mediates nucleation of actin filaments. [Uniprot] |
| 细胞定位 | Cytoplasm, Cytoskeleton. [Uniprot] |
| 翻译后修饰 | Phosphoprotein. [Uniprot] |
检测图片 (3) Click the Picture to Zoom In
-
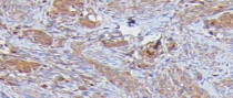
ARG44860 anti-LMOD1 antibody IHC-P image
Immunohistochemistry: Human smooth muscle stained with ARG44860 anti-LMOD1 antibody at 5 µg/mL dilution.
-
ARG44860 anti-LMOD1 antibody WB image
Western blot: Rat uterus stained with ARG44860 anti-LMOD1 antibody at 1 µg/mL dilution.
-
ARG44860 anti-LMOD1 antibody IP image
Immunoprecipitation: Rat uterus lysate immunoprecipitated with 2.5 µg of ARG44860 anti-LMOD1 antibody.
