ARG56576
anti-LIPE / HSL antibody
anti-LIPE / HSL antibody for ICC/IF,IHC-Formalin-fixed paraffin-embedded sections,Western blot and Human,Mouse,Rat
概述
| 产品描述 | Rabbit Polyclonal antibody recognizes LIPE / HSL |
|---|---|
| 反应物种 | Hu, Ms, Rat |
| 应用 | ICC/IF, IHC-P, WB |
| 特异性 | Multiple isoforms of LIPE / HSL are known to exist. |
| 宿主 | Rabbit |
| 克隆 | Polyclonal |
| 同位型 | IgG |
| 靶点名称 | LIPE / HSL |
| 抗原 | Synthetic peptide (14 aa) within aa. 920-970 of Human LIPE / HSL. |
| 偶联标记 | Un-conjugated |
| 別名 | EC 3.1.1.79; AOMS4; HSL; LHS; Hormone-sensitive lipase; FPLD6 |
应用说明
| 应用建议 |
|
||||||||
|---|---|---|---|---|---|---|---|---|---|
| 应用说明 | * The dilutions indicate recommended starting dilutions and the optimal dilutions or concentrations should be determined by the scientist. | ||||||||
| 阳性对照 | Human lymph node tissue. |
属性
| 形式 | Liquid |
|---|---|
| 纯化 | Affinity purification with immunogen. |
| 缓冲液 | PBS and 0.02% Sodium azide |
| 抗菌剂 | 0.02% Sodium azide |
| 浓度 | 1 mg/ml |
| 存放说明 | For continuous use, store undiluted antibody at 2-8°C for up to a week. For long-term storage, aliquot and store at -20°C. Storage in frost free freezers is not recommended. Avoid repeated freeze/thaw cycles. Suggest spin the vial prior to opening. The antibody solution should be gently mixed before use. |
| 注意事项 | For laboratory research only, not for drug, diagnostic or other use. |
生物信息
| 数据库连接 | |
|---|---|
| 基因名称 | LIPE |
| 全名 | lipase, hormone-sensitive |
| 背景介绍 | The protein encoded by this gene has a long and a short form, generated by use of alternative translational start codons. The long form is expressed in steroidogenic tissues such as testis, where it converts cholesteryl esters to free cholesterol for steroid hormone production. The short form is expressed in adipose tissue, among others, where it hydrolyzes stored triglycerides to free fatty acids. [provided by RefSeq, Jul 2008] |
| 生物功能 | In adipose tissue and heart, it primarily hydrolyzes stored triglycerides to free fatty acids, while in steroidogenic tissues, it principally converts cholesteryl esters to free cholesterol for steroid hormone production. [UniProt] |
| 预测分子量 | Isoform 1: 117 kDa Isoform 2: 84 kDa |
| 翻译后修饰 | Phosphorylation by AMPK may block translocation to lipid droplets. |
检测图片 (3) Click the Picture to Zoom In
-
ARG56576 anti-LIPE / HSL antibody IF image
Immunofluorescence: Human lymph node cells stained with ARG56576 anti-LIPE / HSL antibody at 20 µg/ml dilution.
-
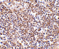
ARG56576 anti-LIPE / HSL antibody IHC-P image
Immunohistochemistry: Human lymph node tissue stained with ARG56576 anti-LIPE / HSL antibody at 2.5 µg/ml dilution.
-
ARG56576 anti-LIPE / HSL antibody WB image
Western blot: Human lymph node tissue lysate stained with ARG56576 anti-LIPE / HSL antibody at (A) 0.5 and (B) 1 µg/ml dilution.
