ARG40137
anti-LIPC antibody
anti-LIPC antibody for Flow cytometry,IHC-Formalin-fixed paraffin-embedded sections,Western blot and Human
概述
| 产品描述 | Rabbit Polyclonal antibody recognizes LIPC |
|---|---|
| 反应物种 | Hu |
| 应用 | FACS, IHC-P, WB |
| 宿主 | Rabbit |
| 克隆 | Polyclonal |
| 同位型 | IgG |
| 靶点名称 | LIPC |
| 抗原物种 | Human |
| 抗原 | KLH-conjugated synthetic peptide between aa. 310-338 of Human LIPC. |
| 偶联标记 | Un-conjugated |
| 別名 | HTGL; Lipase member C; HL; Hepatic lipase; Hepatic triacylglycerol lipase; LIPH; HDLCQ12; EC 3.1.1.3 |
应用说明
| 应用建议 |
|
||||||||
|---|---|---|---|---|---|---|---|---|---|
| 应用说明 | * The dilutions indicate recommended starting dilutions and the optimal dilutions or concentrations should be determined by the scientist. | ||||||||
| 阳性对照 | HT-29 |
属性
| 形式 | Liquid |
|---|---|
| 纯化 | Purification with Protein A and immunogen peptide. |
| 缓冲液 | PBS and 0.09% (W/V) Sodium azide. |
| 抗菌剂 | 0.09% (W/V) Sodium azide. |
| 存放说明 | For continuous use, store undiluted antibody at 2-8°C for up to a week. For long-term storage, aliquot and store at -20°C or below. Storage in frost free freezers is not recommended. Avoid repeated freeze/thaw cycles. Suggest spin the vial prior to opening. The antibody solution should be gently mixed before use. |
| 注意事项 | For laboratory research only, not for drug, diagnostic or other use. |
生物信息
| 数据库连接 | |
|---|---|
| 基因名称 | LIPC |
| 全名 | lipase, hepatic |
| 背景介绍 | LIPC encodes hepatic triglyceride lipase, which is expressed in liver. LIPC has the dual functions of triglyceride hydrolase and ligand/bridging factor for receptor-mediated lipoprotein uptake. [provided by RefSeq, Jul 2008] |
| 生物功能 | Hepatic lipase has the capacity to catalyze hydrolysis of phospholipids, mono-, di-, and triglycerides, and acyl-CoA thioesters. It is an important enzyme in HDL metabolism. Hepatic lipase binds heparin. [UniProt] |
| 细胞定位 | Secreted. [UniProt] |
| 预测分子量 | 56 kDa |
检测图片 (3) Click the Picture to Zoom In
-
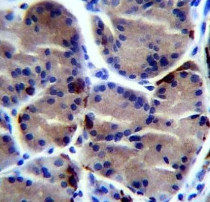
ARG40137 anti-LIPC antibody IHC-P image
Immunohistochemistry: Formalin-fixed and paraffin-embedded Human stomach stained with ARG40137 anti-LIPC antibody.
-
ARG40137 anti-LIPC antibody WB image
Western blot: 20 µg of HT-29 whole cell lysate stained with ARG40137 anti-LIPC antibody at 1:500 dilution.
-
ARG40137 anti-LIPC antibody FACS image
Flow Cytometry: K562 cells stained with ARG40137 anti-LIPC antibody (right histogram) or without primary antibody as control (left histogram), followed by incubation with FITC labelled secondary antibody.
