ARG41857
anti-LIN28B antibody
anti-LIN28B antibody for Flow cytometry,IHC-Formalin-fixed paraffin-embedded sections,Western blot and Human,Mouse,Rat
概述
| 产品描述 | Rabbit Polyclonal antibody recognizes LIN28B |
|---|---|
| 反应物种 | Hu, Ms, Rat |
| 应用 | FACS, IHC-P, WB |
| 宿主 | Rabbit |
| 克隆 | Polyclonal |
| 同位型 | IgG |
| 靶点名称 | LIN28B |
| 抗原物种 | Human |
| 抗原 | KLH-conjugated synthetic peptide between aa. 95-128 of Human LIN28B. |
| 偶联标记 | Un-conjugated |
| 別名 | CSDD2; Protein lin-28 homolog B; Lin-28B |
应用说明
| 应用建议 |
|
||||||||
|---|---|---|---|---|---|---|---|---|---|
| 应用说明 | IHC-P: Antigen Retrieval: Heat mediation was performed in EDTA buffer (pH 9.0). * The dilutions indicate recommended starting dilutions and the optimal dilutions or concentrations should be determined by the scientist. |
||||||||
| 阳性对照 | Mouse testis | ||||||||
| 实际分子量 | ~ 30 kDa |
属性
| 形式 | Liquid |
|---|---|
| 纯化 | Purification with Protein A and immunogen peptide. |
| 缓冲液 | PBS and 0.09% (W/V) Sodium azide. |
| 抗菌剂 | 0.09% (W/V) Sodium azide |
| 存放说明 | For continuous use, store undiluted antibody at 2-8°C for up to a week. For long-term storage, aliquot and store at -20°C or below. Storage in frost free freezers is not recommended. Avoid repeated freeze/thaw cycles. Suggest spin the vial prior to opening. The antibody solution should be gently mixed before use. |
| 注意事项 | For laboratory research only, not for drug, diagnostic or other use. |
生物信息
| 数据库连接 | |
|---|---|
| 基因名称 | LIN28B |
| 全名 | lin-28 homolog B (C. elegans) |
| 背景介绍 | The protein encoded by this gene belongs to the lin-28 family, which is characterized by the presence of a cold-shock domain and a pair of CCHC zinc finger domains. This gene is highly expressed in testis, fetal liver, placenta, and in primary human tumors and cancer cell lines. It is negatively regulated by microRNAs that target sites in the 3' UTR, and overexpression of this gene in primary tumors is linked to the repression of let-7 family of microRNAs and derepression of let-7 targets, which facilitates cellular transformation. [provided by RefSeq, Jun 2012] |
| 生物功能 | Suppressor of microRNA (miRNA) biogenesis, including that of let-7 and possibly of miR107, miR-143 and miR-200c. Binds primary let-7 transcripts (pri-let-7), including pri-let-7g and pri-let-7a-1, and sequester them in the nucleolus, away from the microprocessor complex, hence preventing their processing into mature miRNA. Does not act on pri-miR21. The repression of let-7 expression is required for normal development and contributes to maintain the pluripotent state of embryonic stem cells by preventing let-7-mediated differentiation. When overexpressed, recruits ZCCHC11/TUT4 uridylyltransferase to pre-let-7 transcripts, leading to their terminal uridylation and degradation. This activity might not be relevant in vivo, as LIN28B-mediated inhibition of let-7 miRNA maturation appears to be ZCCHC11-independent. Interaction with target pre-miRNAs occurs via an 5'-GGAG-3' motif in the pre-miRNA terminal loop. Mediates MYC-induced let-7 repression (By similarity). When overexpressed, isoform 1 stimulates growth of the breast adenocarcinoma cell line MCF-7. Isoform 2 has no effect on cell growth. [UniProt] |
| 细胞定位 | Nucleus. Nucleus, nucleolus. Cytoplasm. Note=Predominantly nucleolar (PubMed:22118463). In Huh7 cells, predominantly cytoplasmic, with only a subset of cells exhibiting strong nuclear staining; however, the specificity of the polyclonal antibody used in these experiments has not been not documented (PubMed:16971064). [UniProt] |
| 预测分子量 | 27 kDa |
检测图片 (3) Click the Picture to Zoom In
-
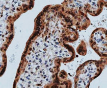
ARG41857 anti-LIN28B antibody IHC-P image
Immunohistochemistry: Formaldehyde-fixed and paraffin-embedded Human placenta tissue. Antigen Retrieval: Heat mediation was performed in EDTA buffer (pH 9.0). Samples were stained with ARG41857 anti-LIN28B antibody at 1:500 dilution for 1 hour at RT.
-
ARG41857 anti-LIN28B antibody WB image
Western blot: 20 µg of Mouse testis lysate stained with ARG41857 anti-LIN28B antibody at 1:2000 dilution.
-
ARG41857 anti-LIN28B antibody FACS image
Flow Cytometry: HL-60 cells stained with ARG41857 anti-LIN28B antibody (bottom histogram) or without primary antibody as control (top histogram), followed by incubation with FITC labelled secondary antibody.
