ARG66537
anti-LCP2 / SLP76 phospho (Tyr128) antibody
anti-LCP2 / SLP76 phospho (Tyr128) antibody for IHC-Formalin-fixed paraffin-embedded sections,Western blot and Human
概述
| 产品描述 | Rabbit Polyclonal antibody recognizes LCP2 / SLP76 phospho (Tyr128) |
|---|---|
| 反应物种 | Hu |
| 应用 | IHC-P, WB |
| 宿主 | Rabbit |
| 克隆 | Polyclonal |
| 同位型 | IgG |
| 靶点名称 | LCP2 / SLP76 |
| 抗原物种 | Human |
| 抗原 | Phosphospecific peptide around Tyr128 of Human SLP76. |
| 偶联标记 | Un-conjugated |
| 別名 | Lymphocyte cytosolic protein 2; SLP-76 tyrosine phosphoprotein; SLP76; SH2 domain-containing leukocyte protein of 76 kDa; SLP-76 |
应用说明
| 应用建议 |
|
||||||
|---|---|---|---|---|---|---|---|
| 应用说明 | * The dilutions indicate recommended starting dilutions and the optimal dilutions or concentrations should be determined by the scientist. |
属性
| 形式 | Liquid |
|---|---|
| 纯化 | Affinity purification with immunogen. |
| 缓冲液 | PBS, 0.02% Sodium azide, 50% Glycerol and 0.5% BSA. |
| 抗菌剂 | 0.02% Sodium azide |
| 稳定剂 | 50% Glycerol and 0.5% BSA |
| 浓度 | 1 mg/ml |
| 存放说明 | For continuous use, store undiluted antibody at 2-8°C for up to a week. For long-term storage, aliquot and store at -20°C. Storage in frost free freezers is not recommended. Avoid repeated freeze/thaw cycles. Suggest spin the vial prior to opening. The antibody solution should be gently mixed before use. |
| 注意事项 | For laboratory research only, not for drug, diagnostic or other use. |
生物信息
| 数据库连接 | |
|---|---|
| 基因名称 | LCP2 |
| 全名 | lymphocyte cytosolic protein 2 (SH2 domain containing leukocyte protein of 76kDa) |
| 背景介绍 | SLP-76 was originally identified as a substrate of the ZAP-70 protein tyrosine kinase following T cell receptor (TCR) ligation in the leukemic T cell line Jurkat. The SLP-76 locus has been localized to human chromosome 5q33 and the gene structure has been partially characterized in mice. The human and murine cDNAs both encode 533 amino acid proteins that are 72% identical and comprised of three modular domains. The NH2-terminus contains an acidic region that includes a PEST domain and several tyrosine residues which are phosphorylated following TCR ligation. SLP-76 also contains a central proline-rich domain and a COOH-terminal SH2 domain. A number of additional proteins have been identified that associate with SLP-76 both constitutively and inducibly following receptor ligation, supporting the notion that SLP-76 functions as an adaptor or scaffold protein. Studies using SLP-76 deficient T cell lines or mice have provided strong evidence that SLP-76 plays a positive role in promoting T cell development and activation as well as mast cell and platelet function. [provided by RefSeq, Jul 2008] |
| 生物功能 | Involved in T-cell antigen receptor mediated signaling. [UniProt] |
| 细胞定位 | Cytoplasm. [UniProt] |
| 预测分子量 | 60 kDa |
| 翻译后修饰 | Phosphorylated after T-cell receptor activation by ZAP70, ITK and TXK, which leads to the up-regulation of Th1 preferred cytokine IL-2. SYK-dependent phosphorylation is required for recruitment of PI3K signaling components. [UniProt] |
检测图片 (2) Click the Picture to Zoom In
-
ARG66537 anti-LCP2 / SLP76 phospho (Tyr128) antibody WB image
Western blot: K562 cells treated with Na3VO4 (0.3 nM for 40 min) and stained with ARG66537 anti-LCP2 / SLP76 phospho (Tyr128) antibody. The lane on the right is blocked with the phospho peptide.
-
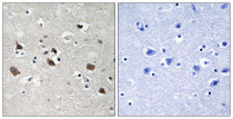
ARG66537 anti-LCP2 / SLP76 phospho (Tyr128) antibody IHC-P image
Immunohistochemistry: Paraffin-embedded Human brain stained with ARG66537 anti-LCP2 / SLP76 phospho (Tyr128) antibody. The picture on the right is blocked with the phospho peptide.
