ARG67287
anti-Klotho antibody
anti-Klotho antibody for ICC/IF,IHC-Formalin-fixed paraffin-embedded sections,Western blot and Human,Mouse,Rat
概述
| 产品描述 | Rabbit Polyclonal antibody recognizes Klotho |
|---|---|
| 反应物种 | Hu, Ms, Rat |
| 应用 | ICC/IF, IHC-P, WB |
| 宿主 | Rabbit |
| 克隆 | Polyclonal |
| 靶点名称 | Klotho |
| 抗原物种 | Human |
| 抗原 | Recombinant protein containing to human Klotho. |
| 偶联标记 | Un-conjugated |
| 別名 | Klotho; EC 3.2.1.31 |
应用说明
| 应用建议 |
|
||||||||
|---|---|---|---|---|---|---|---|---|---|
| 应用说明 | * The dilutions indicate recommended starting dilutions and the optimal dilutions or concentrations should be determined by the scientist. |
属性
| 形式 | Liquid |
|---|---|
| 纯化 | Affinity chromatography purified |
| 缓冲液 | 0.42% Potassium phosphate, 0.87% NaCl, 0.01% Sodium azide and 30% Glycerol. |
| 抗菌剂 | 0.01% Sodium azide |
| 稳定剂 | 30% Glycerol |
| 存放说明 | For continuous use, store undiluted antibody at 2-8°C for up to a week. For long-term storage, aliquot and store at -20°C or below. Storage in frost free freezers is not recommended. Avoid repeated freeze/thaw cycles. Suggest spin the vial prior to opening. The antibody solution should be gently mixed before use. |
| 注意事项 | For laboratory research only, not for drug, diagnostic or other use. |
生物信息
| 数据库连接 | |
|---|---|
| 基因名称 | KL |
| 全名 | klotho |
| 背景介绍 | This gene encodes a type-I membrane protein that is related to beta-glucosidases. Reduced production of this protein has been observed in patients with chronic renal failure (CRF), and this may be one of the factors underlying the degenerative processes (e.g., arteriosclerosis, osteoporosis, and skin atrophy) seen in CRF. Also, mutations within this protein have been associated with ageing and bone loss. [provided by RefSeq, Jul 2008] |
| 生物功能 | May have weak glycosidase activity towards glucuronylated steroids. However, it lacks essential active site Glu residues at positions 239 and 872, suggesting it may be inactive as a glycosidase in vivo. May be involved in the regulation of calcium and phosphorus homeostasis by inhibiting the synthesis of active vitamin D (By similarity). Essential factor for the specific interaction between FGF23 and FGFR1 (By similarity). The Klotho peptide generated by cleavage of the membrane-bound isoform may be an anti-aging circulating hormone which would extend life span by inhibiting insulin/IGF1 signaling. [UniProt] |
| 翻译后修饰 | N-glycosylated. |
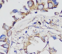
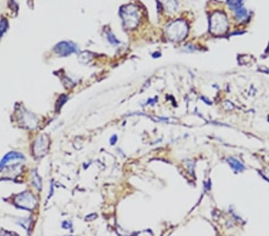
检测图片 (2) Click the Picture to Zoom In
