ARG40932
anti-Kininogen 1 antibody
anti-Kininogen 1 antibody for IHC-Formalin-fixed paraffin-embedded sections,Western blot and Mouse
概述
| 产品描述 | Rabbit Polyclonal antibody recognizes Kininogen 1 |
|---|---|
| 反应物种 | Ms |
| 应用 | IHC-P, WB |
| 宿主 | Rabbit |
| 克隆 | Polyclonal |
| 同位型 | IgG |
| 靶点名称 | Kininogen 1 |
| 抗原物种 | Mouse |
| 抗原 | Synthetic peptide corresponding to aa. 227-259 of Mouse Kininogen 1. (ECRGNLFMDINNKIANFSQSCTLYSGDDLVEAL) |
| 偶联标记 | Un-conjugated |
| 別名 | Williams-Fitzgerald-Flaujeac factor; Kallidin II; High molecular weight kininogen; KNG; Fitzgerald factor; Alpha-2-thiol proteinase inhibitor; BDK; BK; Kininogen-1; HMWK; Kallidin I; Ile-Ser-Bradykinin |
应用说明
| 应用建议 |
|
||||||
|---|---|---|---|---|---|---|---|
| 应用说明 | * The dilutions indicate recommended starting dilutions and the optimal dilutions or concentrations should be determined by the scientist. |
属性
| 形式 | Liquid |
|---|---|
| 纯化 | Affinity purification with immunogen. |
| 缓冲液 | 0.2% Na2HPO4, 0.9% NaCl, 0.05% Sodium azide and 5% BSA. |
| 抗菌剂 | 0.05% Sodium azide |
| 稳定剂 | 5% BSA |
| 浓度 | 0.5 mg/ml |
| 存放说明 | For continuous use, store undiluted antibody at 2-8°C for up to a week. For long-term storage, aliquot and store at -20°C or below. Storage in frost free freezers is not recommended. Avoid repeated freeze/thaw cycles. Suggest spin the vial prior to opening. The antibody solution should be gently mixed before use. |
| 注意事项 | For laboratory research only, not for drug, diagnostic or other use. |
生物信息
| 数据库连接 | |
|---|---|
| 基因名称 | KNG1 |
| 全名 | kininogen 1 |
| 背景介绍 | This gene uses alternative splicing to generate two different proteins- high molecular weight kininogen (HMWK) and low molecular weight kininogen (LMWK). HMWK is essential for blood coagulation and assembly of the kallikrein-kinin system. Also, bradykinin, a peptide causing numerous physiological effects, is released from HMWK. Bradykinin also functions as an antimicrobial peptide with antibacterial and antifungal activity. In contrast to HMWK, LMWK is not involved in blood coagulation. Three transcript variants encoding different isoforms have been found for this gene.[provided by RefSeq, Nov 2014] |
| 生物功能 | (1) Kininogens are inhibitors of thiol proteases; (2) HMW-kininogen plays an important role in blood coagulation by helping to position optimally prekallikrein and factor XI next to factor XII; (3) HMW-kininogen inhibits the thrombin- and plasmin-induced aggregation of thrombocytes; (4) the active peptide bradykinin that is released from HMW-kininogen shows a variety of physiological effects: (4A) influence in smooth muscle contraction, (4B) induction of hypotension, (4C) natriuresis and diuresis, (4D) decrease in blood glucose level, (4E) it is a mediator of inflammation and causes (4E1) increase in vascular permeability, (4E2) stimulation of nociceptors (4E3) release of other mediators of inflammation (e.g. prostaglandins), (4F) it has a cardioprotective effect (directly via bradykinin action, indirectly via endothelium-derived relaxing factor action); (5) LMW-kininogen inhibits the aggregation of thrombocytes; (6) LMW-kininogen is in contrast to HMW-kininogen not involved in blood clotting. [UniProt] |
| 细胞定位 | Secreted, extracellular space. [UniProt] |
| 预测分子量 | 72 kDa |
| 翻译后修饰 | Bradykinin is released from kininogen by plasma kallikrein. Hydroxylation of Pro-383 occurs prior to the release of bradykinin. Phosphorylated by FAM20C in the extracellular medium. N- and O-glycosylated. O-glycosylated with core 1 or possibly core 8 glycans. [UniProt] |
检测图片 (2) Click the Picture to Zoom In
-
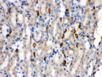
ARG40932 anti-Kininogen 1 antibody IHC-P image
Immunohistochemistry: Paraffin-embedded Mouse kidney tissue stained with ARG40932 anti-Kininogen 1 antibody.
-
ARG40932 anti-Kininogen 1 antibody WB image
Western blot: 50 µg of Mouse lung, 50 µg of Mouse testis, 50 µg of Mouse liver, 40 µg of HEPA and 40 µg of NEURO whole cell lysates stained with ARG40932 anti-Kininogen 1 antibody at 0.5 µg/ml dilution.
