ARG45252
anti-Kindlin 2 antibody
anti-Kindlin 2 antibody for Flow cytometry,ICC/IF,IHC-Formalin-fixed paraffin-embedded sections,Western blot and Human
概述
| 产品描述 | Polyclonal antibody recognizes Kindlin 2 |
|---|---|
| 反应物种 | Hu |
| 应用 | FACS, ICC/IF, IHC-P, WB |
| 宿主 | Rabbit |
| 克隆 | Polyclonal |
| 同位型 | IgG |
| 靶点名称 | Kindlin 2 |
| 抗原物种 | Human |
| 抗原 | Recombinant protein containing to human Kindlin 2. |
| 偶联标记 | Un-conjugated |
| 別名 | FERMT2; FERM Domain Containing Kindlin 2; KIND2; UNC112B; PLEKHC1; Mig-2; Pleckstrin Homology Domain Containing, Family C (With FERM Domain) Member 1; PH Domain-Containing Family C Member 1; Fermitin Family Homolog 2; Mitogen Inducible Gene-2; Fermitin Family Member 2; Kindlin-2; MIG2; Pleckstrin Homology Domain Containing, Family C Member 1; Pleckstrin Homology Domain-Containing Family C Member 1; Fermitin Family Homolog 2 (Drosophila); Mitogen Inducible Gene 2 Protein; Mitogen-Inducible Gene 2 Protein; Kindlin 2; UNC112; MIG-2 |
应用说明
| 应用建议 |
|
||||||||||
|---|---|---|---|---|---|---|---|---|---|---|---|
| 应用说明 | * The dilutions indicate recommended starting dilutions and the optimal dilutions or concentrations should be determined by the scientist. | ||||||||||
| 实际分子量 | 70 kDa |
属性
| 形式 | Liquid |
|---|---|
| 纯化 | Affinity purification with immunogen. |
| 缓冲液 | 0.2% Na2HPO4, 0.9% NaCl and 4% Trehalose. |
| 稳定剂 | 4% Trehalose |
| 浓度 | 0.5 mg/ml |
| 存放说明 | For continuous use, store undiluted antibody at 2-8°C for up to a week. For long-term storage, aliquot and store at -20°C or below. Storage in frost free freezers is not recommended. Avoid repeated freeze/thaw cycles. Suggest spin the vial prior to opening. The antibody solution should be gently mixed before use. |
| 注意事项 | For laboratory research only, not for drug, diagnostic or other use. |
生物信息
| 数据库连接 | |
|---|---|
| 基因名称 | FERMT2 |
| 全名 | FERM Domain Containing Kindlin 2 |
| 背景介绍 | Enables several functions, including actin binding activity; phosphatidylinositol-3,4,5-trisphosphate binding activity; and type I transforming growth factor beta receptor binding activity. Involved in several processes, including cell surface receptor signaling pathway; positive regulation of cellular component biogenesis; and positive regulation of intracellular signal transduction. Acts upstream of or within cell adhesion and protein localization to cell junction. Located in several cellular components, including adherens junction; cytoplasmic side of plasma membrane; and focal adhesion. Biomarker of acute myeloid leukemia. [provided by Alliance of Genome Resources, Nov 2024] |
| 生物功能 | Scaffolding protein that enhances integrin activation mediated by TLN1 and/or TLN2, but activates integrins only weakly by itself. Binds to membranes enriched in phosphoinositides. Enhances integrin-mediated cell adhesion onto the extracellular matrix and cell spreading; this requires both its ability to interact with integrins and with phospholipid membranes. Required for the assembly of focal adhesions. Participates in the connection between extracellular matrix adhesion sites and the actin cytoskeleton and also in the orchestration of actin assembly and cell shape modulation. Recruits FBLIM1 to focal adhesions. Plays a role in the TGFB1 and integrin signaling pathways. Stabilizes active CTNNB1 and plays a role in the regulation of transcription mediated by CTNNB1 and TCF7L2/TCF4 and in Wnt signaling.. [UniProt] |
| 细胞定位 | Cell junction ; Cell membrane ; Cell projection ; Cytoplasm ; Cytoskeleton. [UniProt] |
| 预测分子量 | 78 kDa |
| 翻译后修饰 | Phosphoprotein. [UniProt] |
检测图片 (4) Click the Picture to Zoom In
-
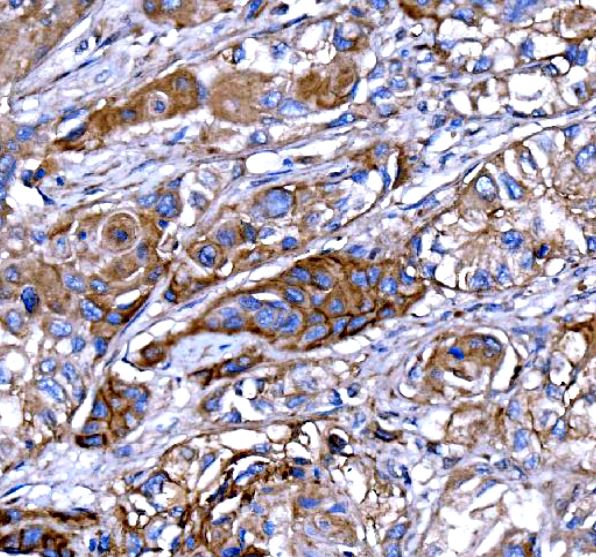
ARG45252 anti-Kindlin 2 antibody IHC-P image
Immunohistochemistry: Human breast cancer stained with ARG45252 anti-Kindlin 2 antibody at 2 μg/ml dilution.
-
ARG45252 anti-Kindlin 2 antibody ICC/IF image
Immunofluorescence: U20S stained with ARG45252 anti-Kindlin 2 antibody at 5 ug/ml dilution.
-
ARG45252 anti-Kindlin 2 antibody WB image
Western blot: A549 and HT1080 stained with ARG45252 anti-Kindlin 2 antibody at 0.5 μg/ml dilution.
-
ARG45252 anti-Kindlin 2 antibody FACS image
Flow Cytometry: SiHa stained with ARG45252 anti-Kindlin 2 antibody at 1 µg/10^6 cells dilution.
