ARG45231
anti-KMO antibody
anti-KMO antibody for Flow cytometry,IHC-Formalin-fixed paraffin-embedded sections,Western blot and Human,Mouse,Rat
概述
| 产品描述 | Rabbit Polyclonal antibody recognizes KMO |
|---|---|
| 反应物种 | Hu, Ms, Rat |
| 应用 | FACS, IHC-P, WB |
| 宿主 | Rabbit |
| 克隆 | Polyclonal |
| 同位型 | IgG |
| 靶点名称 | KMO |
| 抗原物种 | Human |
| 抗原 | Recombinant protein containing to human KMO. |
| 偶联标记 | Un-conjugated |
| 別名 | KMO; Kynurenine 3-Monooxygenase; Kynurenine 3-Hydroxylase; EC 1.14.13.9; Kynurenine 3-Monooxygenase (Kynurenine 3-Hydroxylase); DJ317G22.1 |
应用说明
| 应用建议 |
|
||||||||
|---|---|---|---|---|---|---|---|---|---|
| 应用说明 | * The dilutions indicate recommended starting dilutions and the optimal dilutions or concentrations should be determined by the scientist. | ||||||||
| 实际分子量 | 50 kDa |
属性
| 形式 | Liquid |
|---|---|
| 纯化 | Affinity purification with immunogen. |
| 缓冲液 | 0.2% Na2HPO4, 0.9% NaCl and 4% Trehalose. |
| 稳定剂 | 4% Trehalose |
| 浓度 | 0.5 mg/ml |
| 存放说明 | For continuous use, store undiluted antibody at 2-8°C for up to a week. For long-term storage, aliquot and store at -20°C or below. Storage in frost free freezers is not recommended. Avoid repeated freeze/thaw cycles. Suggest spin the vial prior to opening. The antibody solution should be gently mixed before use. |
| 注意事项 | For laboratory research only, not for drug, diagnostic or other use. |
生物信息
| 数据库连接 | |
|---|---|
| 基因名称 | KMO |
| 全名 | Kynurenine 3-Monooxygenase |
| 背景介绍 | This gene encodes a mitochondrion outer membrane protein that catalyzes the hydroxylation of L-tryptophan metabolite, L-kynurenine, to form L-3-hydroxykynurenine. Studies in yeast identified this gene as a therapeutic target for Huntington disease. [provided by RefSeq, Oct 2011] |
| 生物功能 | Catalyzes the hydroxylation of L-kynurenine (L-Kyn) to form 3-hydroxy-L-kynurenine (L-3OHKyn). [UniProt] |
| 细胞定位 | Membrane; Mitochondrion; Mitochondrion outer membrane. [UniProt] |
| 预测分子量 | 56 kDa |
| 翻译后修饰 | Glycoprotein. [UniProt] |
检测图片 (6) Click the Picture to Zoom In
-
ARG45231 anti-KMO antibody IHC-P image
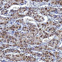
Immunohistochemistry: Human liver cancer stained with ARG45231 anti-KMO antibody at 2 μg/ml dilution.
-
ARG45231 anti-KMO antibody FACS image
Flow Cytometry: Daudi stained with ARG45231 anti-KMO antibody at 1 µg/10^6 cells dilution.
-
ARG45231 anti-KMO antibody IHC-P image
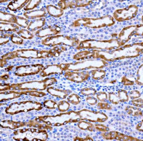
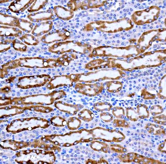
Immunohistochemistry: Rat kidney stained with ARG45231 anti-KMO antibody at 2 μg/ml dilution.
-
ARG45231 anti-KMO antibody WB image
Western blot: Rat kidney and rat liver stained with ARG45231 anti-KMO antibody at 0.5 μg/ml dilution.
-
ARG45231 anti-KMO antibody IHC-P image
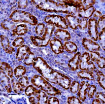
Immunohistochemistry: Mouse kidney stained with ARG45231 anti-KMO antibody at 2 μg/ml dilution.
-
ARG45231 anti-KMO antibody WB image
Western blot: Mouse kidney and mouse liver stained with ARG45231 anti-KMO antibody at 0.5 μg/ml dilution.
