ARG46244
anti-KLK4 antibody
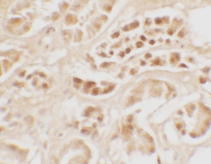
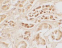
anti-KLK4 antibody for Western blot,IHC-Formalin-fixed paraffin-embedded sections and Human
概述
| 产品描述 | Rabbit Polyclonal antibody recognizes KLK4 |
|---|---|
| 反应物种 | Hu |
| 应用 | IHC-P, WB |
| 宿主 | Rabbit |
| 克隆 | Polyclonal |
| 同位型 | IgG |
| 靶点名称 | KLK4 |
| 抗原物种 | Human |
| 抗原 | A 15 amino acid synthetic peptide within aa. 80 - 130 of human KLK4. |
| 偶联标记 | Un-conjugated |
| 別名 | KLK4; PSTS; Enamel matrix serine proteinase 1; Kallikrein-like protein 1; EMSP; PRSS17; ARM1; Serine protease 17; KLK-L1; Kallikrein-4; EC 3.4.21.-; Prostase; EMSP1; AI2A1; kallikrein |
应用说明
| 应用建议 |
|
||||||
|---|---|---|---|---|---|---|---|
| 应用说明 | * The dilutions indicate recommended starting dilutions and the optimal dilutions or concentrations should be determined by the scientist. | ||||||
| 实际分子量 | 31 kDa |
属性
| 纯化 | Affinity chromatography purified |
|---|---|
| 缓冲液 | PBS and 0.02% Sodium azide. |
| 抗菌剂 | 0.02% Sodium azide |
| 浓度 | 1 mg/ml |
| 存放说明 | For continuous use, store undiluted antibody at 2-8°C for up to a week. For long-term storage, aliquot and store at -20°C. Storage in frost free freezers is not recommended. Avoid repeated freeze/thaw cycles. Suggest spin the vial prior to opening. The antibody solution should be gently mixed before use. |
| 注意事项 | For laboratory research only, not for drug, diagnostic or other use. |
生物信息
| 数据库连接 | |
|---|---|
| 基因名称 | KLK4 |
| 全名 | kallikrein-related peptidase 4 |
| 背景介绍 | Kallikreins are a subgroup of serine proteases having diverse physiological functions. Growing evidence suggests that many kallikreins are implicated in carcinogenesis and some have potential as novel cancer and other disease biomarkers. This gene is one of the fifteen kallikrein subfamily members located in a cluster on chromosome 19. In some tissues its expression is hormonally regulated. The expression pattern of a similar mouse protein in murine developing teeth supports a role for the protein in the degradation of enamel proteins. Several transcript variants encoding different proteins have been found for this gene. [provided by RefSeq, Dec 2014] |
| 生物功能 | Involved in enamel formation. [UniProt] |
| 预测分子量 | 28 kDa |
| 翻译后修饰 | N-glycosylated. The N-glycan structures are of complex diantennary or triantennary type, which may be further modified with up to 2 sialic acid residues. |
检测图片 (2) Click the Picture to Zoom In
