ARG44851
anti-KIFBP antibody
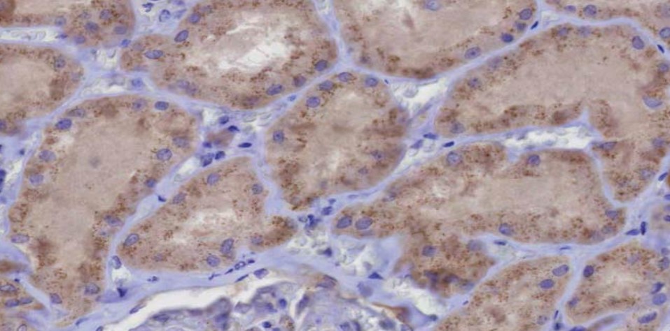
anti-KIFBP antibody for IHC-Formalin-fixed paraffin-embedded sections,Immunoprecipitation and Human,Mouse
概述
| 产品描述 | Mouse Monoclonal antibody recognizes KIFBP |
|---|---|
| 反应物种 | Hu, Ms |
| 应用 | IHC-P, IP |
| 宿主 | Mouse |
| 克隆 | Monoclonal |
| 同位型 | IgG1 |
| 靶点名称 | KIFBP |
| 抗原物种 | Human |
| 抗原表位 | DTPEAEGEVP ELYHQRKGEI ARCWIKYCLT LMQNAQLSMQ DNIGELDLDK QSELRALRKK ELDEEESIRK KAVQFGTGEL CDAISAVEEK VSYLRPLDFE EARELFLLGQ HYVFEAKEFF QIDGYVTDHI |
| 偶联标记 | Un-conjugated |
| 別名 | KIFBP; Kinesin Family Binding Protein; KIAA1279; KBP; KIF1BP; TTC20; Kinesin Binding Protein; KIF1 Binding Protein; KIF-Binding Protein; DKFZP586B0923; Mutant KIF1 Binding Protein; KIF1-Binding Protein |
应用说明
| 应用建议 |
|
||||||
|---|---|---|---|---|---|---|---|
| 应用说明 | * The dilutions indicate recommended starting dilutions and the optimal dilutions or concentrations should be determined by the scientist. |
属性
| 形式 | Liquid |
|---|---|
| 纯化 | Protein A purification |
| 缓冲液 | PBS with 0.09% sodium azide |
| 抗菌剂 | 0.09% sodium azide |
| 存放说明 | For continuous use, store undiluted antibody at 2-8°C for up to a week. For long-term storage, aliquot and store at -20°C or below. Storage in frost free freezers is not recommended. Avoid repeated freeze/thaw cycles. Suggest spin the vial prior to opening. The antibody solution should be gently mixed before use. |
| 注意事项 | For laboratory research only, not for drug, diagnostic or other use. |
生物信息
| 数据库连接 | |
|---|---|
| 基因名称 | KIFBP |
| 全名 | Kinesin Family Binding Protein |
| 背景介绍 | This gene encodes a kinesin family member 1 binding protein that is characterized by two tetratrico peptide repeats. The encoded protein localizes to the mitochondria and may be involved in regulating transport of the mitochondria. Mutations in this gene are associated with Goldberg-Shprintzen megacolon syndrome. [provided by RefSeq, Mar 2010] |
| 生物功能 | Required for organization of axonal microtubules, and axonal outgrowth and maintenance during peripheral and central nervous system development. [Uniprot] |
| 细胞定位 | Cytoplasm, Cytoskeleton. [Uniprot] |
| 翻译后修饰 | Phosphoprotein. [Uniprot] |
检测图片 (2) Click the Picture to Zoom In
