ARG59746
anti-KIF2C / MCAK antibody
anti-KIF2C / MCAK antibody for Flow cytometry,ICC/IF,IHC-Formalin-fixed paraffin-embedded sections and Human,Mouse,Rat
概述
| 产品描述 | Rabbit Polyclonal antibody recognizes KIF2C / MCAK |
|---|---|
| 反应物种 | Hu, Ms, Rat |
| 应用 | FACS, ICC/IF, IHC-P |
| 宿主 | Rabbit |
| 克隆 | Polyclonal |
| 同位型 | IgG |
| 靶点名称 | KIF2C / MCAK |
| 抗原物种 | Human |
| 抗原 | Recombinant protein corresponding to G531-Q725 of Human MCAK. |
| 偶联标记 | Un-conjugated |
| 別名 | Mitotic centromere-associated kinesin; MCAK; Kinesin-like protein KIF2C; KNSL6; Kinesin-like protein 6; CT139 |
应用说明
| 应用建议 |
|
||||||||
|---|---|---|---|---|---|---|---|---|---|
| 应用说明 | IHC-P: Antigen Retrieval: By heat mediation. * The dilutions indicate recommended starting dilutions and the optimal dilutions or concentrations should be determined by the scientist. |
属性
| 形式 | Liquid |
|---|---|
| 纯化 | Affinity purification with immunogen. |
| 缓冲液 | 0.9% NaCl, 0.2% Na2HPO4, 0.05% Sodium azide and 5% BSA. |
| 抗菌剂 | 0.05% Sodium azide |
| 稳定剂 | 5% BSA |
| 浓度 | 0.5 mg/ml |
| 存放说明 | For continuous use, store undiluted antibody at 2-8°C for up to a week. For long-term storage, aliquot and store at -20°C or below. Storage in frost free freezers is not recommended. Avoid repeated freeze/thaw cycles. Suggest spin the vial prior to opening. The antibody solution should be gently mixed before use. |
| 注意事项 | For laboratory research only, not for drug, diagnostic or other use. |
生物信息
| 数据库连接 | |
|---|---|
| 基因名称 | KIF2C |
| 全名 | kinesin family member 2C |
| 背景介绍 | This gene encodes a kinesin-like protein that functions as a microtubule-dependent molecular motor. The encoded protein can depolymerize microtubules at the plus end, thereby promoting mitotic chromosome segregation. Alternative splicing results in multiple transcript variants. [provided by RefSeq, Jul 2014] |
| 生物功能 | In complex with KIF18B, constitutes the major microtubule plus-end depolymerizing activity in mitotic cells. Regulates the turnover of microtubules at the kinetochore and functions in chromosome segregation during mitosis. [UniProt] |
| 细胞定位 | Cytoplasm, cytoskeleton. Nucleus. Chromosome, centromere. Chromosome, centromere, kinetochore. Note=Associates with the microtubule network at the growing distal tip (the plus-end) of microtubules, probably through interaction with MTUS2/TIP150 and MAPRE1 (By similarity). Association with microtubule plus ends is also mediated by interaction with KIF18B. Centromeric localization requires the presence of BUB1 and SGO2. [UniProt] |
| 预测分子量 | 81 kDa |
| 翻译后修饰 | Phosphorylation by AURKB, regulates association with centromeres and kinetochores and the microtubule depolymerization activity. Ubiquitinated. [UniProt] |
检测图片 (5) Click the Picture to Zoom In
-
ARG59746 anti-KIF2C / MCAK antibody ICC/IF image
Immunofluorescence: U2OS cells were blocked with 10% goat serum and then stained with ARG59746 anti-KIF2C / MCAK antibody (green) at 2 µg/ml dilution, overnight at 4°C. DAPI (blue) for nuclear staining.
-
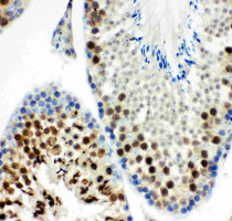
ARG59746 anti-KIF2C / MCAK antibody IHC-P image
Immunohistochemistry: Paraffin-embedded Mouse testis stained with ARG59746 anti-KIF2C / MCAK antibody.
-
ARG59746 anti-KIF2C / MCAK antibody FACS image
Flow Cytometry: K562 cells were blocked with 10% normal goat serum and then stained with ARG59746 anti-KIF2C / MCAK antibody (blue) at 1 µg/10^6 cells for 30 min at 20°C, followed by incubation with DyLight®488 labelled secondary antibody. Isotype control antibody (green) was rabbit IgG (1 µg/10^6 cells) used under the same conditions. Unlabelled sample (red) was also used as a control.
-
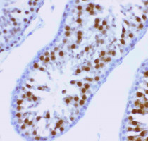
ARG59746 anti-KIF2C / MCAK antibody IHC-P image
Immunohistochemistry: Paraffin-embedded Rat testis stained with ARG59746 anti-KIF2C / MCAK antibody.
-
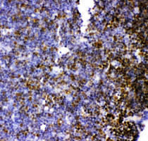
ARG59746 anti-KIF2C / MCAK antibody IHC-P image
Immunohistochemistry: Paraffin-embedded Rat thymus stained with ARG59746 anti-KIF2C / MCAK antibody.
