ARG40389
anti-KIF2B antibody
anti-KIF2B antibody for ICC/IF,IHC-Formalin-fixed paraffin-embedded sections,Western blot and Human,Mouse,Rat
概述
| 产品描述 | Rabbit Polyclonal antibody recognizes KIF2B |
|---|---|
| 反应物种 | Hu, Ms, Rat |
| 应用 | ICC/IF, IHC-P, WB |
| 宿主 | Rabbit |
| 克隆 | Polyclonal |
| 同位型 | IgG |
| 靶点名称 | KIF2B |
| 抗原物种 | Human |
| 抗原 | Recombinant full length protein of Human KIF2B. |
| 偶联标记 | Un-conjugated |
| 別名 | Kinesin-like protein KIF2B |
应用说明
| 应用建议 |
|
||||||||
|---|---|---|---|---|---|---|---|---|---|
| 应用说明 | IHC-P: Antigen Retrieval: Heat mediation was performed in Sodium citrate buffer (pH 6.0). * The dilutions indicate recommended starting dilutions and the optimal dilutions or concentrations should be determined by the scientist. |
||||||||
| 实际分子量 | ~ 75 kDa |
属性
| 形式 | Liquid |
|---|---|
| 纯化 | Affinity purification with immunogen. |
| 缓冲液 | 0.42% Potassium phosphate (pH 7.3), 0.87% NaCl, 0.01% Sodium azide and 30% Glycerol. |
| 抗菌剂 | 0.01% Sodium azide |
| 稳定剂 | 30% Glycerol |
| 存放说明 | For continuous use, store undiluted antibody at 2-8°C for up to a week. For long-term storage, aliquot and store at -20°C. Storage in frost free freezers is not recommended. Avoid repeated freeze/thaw cycles. Suggest spin the vial prior to opening. The antibody solution should be gently mixed before use. |
| 注意事项 | For laboratory research only, not for drug, diagnostic or other use. |
生物信息
| 数据库连接 | |
|---|---|
| 基因名称 | KIF2B |
| 全名 | kinesin family member 2B |
| 生物功能 | Plus end-directed microtubule-dependent motor required for spindle assembly and chromosome movement. Has microtubule depolymerization activity. [UniProt] |
| 细胞定位 | Cytoplasm, cytoskeleton, microtubule organizing center, centrosome. Cytoplasm, cytoskeleton, spindle. Chromosome, centromere, kinetochore. Note=Association with kinetochore is transient. [UniProt] |
| 预测分子量 | 76 kDa |
| 翻译后修饰 | Phosphorylation at Thr-125 by PLK1 is required for activity in the correction of kinetochore-microtubules attachment errors, while phosphorylation at Ser-204 also by PLK1 is required for the kinetochore localization and activity in prometaphase. [UniProt] |
检测图片 (3) Click the Picture to Zoom In
-
ARG40389 anti-KIF2B antibody ICC/IF image
Immunofluorescence: Formalin-fixed A549 cells were permeabilized with 0.1% Triton X-100 in TBS for 5-10 minutes and blocked with 3% BSA-PBS for 30 minutes at room temperature. Cells were stained with ARG40389 anti-KIF2B antibody (red) in 3% BSA-PBS and incubated overnight at 4°C.
-
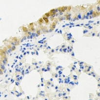
ARG40389 anti-KIF2B antibody IHC-P image
Immunohistochemistry: Formalin-fixed and paraffin-embedded Mouse lung tissue. Antigen Retrieval: Heat mediation was performed in Sodium citrate buffer (pH 6.0). The section was then stained with ARG40389 anti-KIF2B antibody at room temperature and detected using an HRP conjugated compact polymer system. DAB was used as the chromogen. The section was then counterstained with haematoxylin and mounted with DPX.
-
ARG40389 anti-KIF2B antibody WB image
Western blot: U937, Mouse lung and Rat lung lysates stained with ARG40389 anti-KIF2B antibody.
