ARG41269
anti-KIAA0513 antibody
anti-KIAA0513 antibody for ICC/IF,Western blot and Human,Mouse
概述
| 产品描述 | Rabbit Polyclonal antibody recognizes KIAA0513 |
|---|---|
| 反应物种 | Hu, Ms |
| 应用 | ICC/IF, WB |
| 宿主 | Rabbit |
| 克隆 | Polyclonal |
| 同位型 | IgG |
| 靶点名称 | KIAA0513 |
| 抗原物种 | Human |
| 抗原 | Recombinant protein corresponding to aa. 1-301 of Human KIAA0513. |
| 偶联标记 | Un-conjugated |
| 別名 | Uncharacterized protein KIAA0513 |
应用说明
| 应用建议 |
|
||||||
|---|---|---|---|---|---|---|---|
| 应用说明 | * The dilutions indicate recommended starting dilutions and the optimal dilutions or concentrations should be determined by the scientist. | ||||||
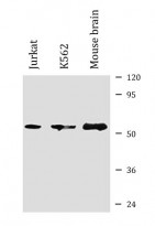
| 阳性对照 | Jurkat, K562 and Mouse brain | ||||||
| 实际分子量 | ~ 57 kDa |
属性
| 形式 | Liquid |
|---|---|
| 纯化 | Purification with Protein G. |
| 缓冲液 | 0.01M PBS (pH 7.4), 0.03% Proclin 300 and 50% Glycerol. |
| 抗菌剂 | 0.03% Proclin 300 |
| 稳定剂 | 50% Glycerol |
| 存放说明 | For continuous use, store undiluted antibody at 2-8°C for up to a week. For long-term storage, aliquot and store at -20°C. Storage in frost free freezers is not recommended. Avoid repeated freeze/thaw cycles. Suggest spin the vial prior to opening. The antibody solution should be gently mixed before use. |
| 注意事项 | For laboratory research only, not for drug, diagnostic or other use. |
生物信息
| 数据库连接 | |
|---|---|
| 基因名称 | KIAA0513 |
| 全名 | KIAA0513 |
| 细胞定位 | Cytoplasm. [UniProt] |
| 预测分子量 | 47 kDa |
检测图片 (2) Click the Picture to Zoom In
