ARG66361
anti-KHK (isoform C) antibody
anti-KHK (isoform C) antibody for IHC-Formalin-fixed paraffin-embedded sections,Western blot and Human
概述
| 产品描述 | Rabbit Polyclonal antibody recognizes KHK (isoform C) |
|---|---|
| 反应物种 | Hu |
| 应用 | IHC-P, WB |
| 特异性 | The antibody detects endogenous level of total KHK Isoform C protein. |
| 宿主 | Rabbit |
| 克隆 | Polyclonal |
| 同位型 | IgG |
| 靶点名称 | KHK (isoform C) |
| 抗原物种 | Human |
| 抗原 | Synthetic peptide around aa. 102-106 (NNSNG) of Human KHK (isoform C). |
| 偶联标记 | Un-conjugated |
| 別名 | Hepatic fructokinase; Ketohexokinase; EC 2.7.1.3 |
应用说明
| 应用建议 |
|
||||||
|---|---|---|---|---|---|---|---|
| 应用说明 | * The dilutions indicate recommended starting dilutions and the optimal dilutions or concentrations should be determined by the scientist. |
属性
| 形式 | Liquid |
|---|---|
| 纯化 | Affinity purification with immunogen. |
| 缓冲液 | PBS (pH 7.4), 150mM NaCl, 0.02% Sodium azide and 50% Glycerol. |
| 抗菌剂 | 0.02% Sodium azide |
| 稳定剂 | 50% Glycerol |
| 浓度 | 1 mg/ml |
| 存放说明 | For continuous use, store undiluted antibody at 2-8°C for up to a week. For long-term storage, aliquot and store at -20°C. Storage in frost free freezers is not recommended. Avoid repeated freeze/thaw cycles. Suggest spin the vial prior to opening. The antibody solution should be gently mixed before use. |
| 注意事项 | For laboratory research only, not for drug, diagnostic or other use. |
生物信息
| 数据库连接 | |
|---|---|
| 基因名称 | KHK |
| 全名 | ketohexokinase (fructokinase) |
| 背景介绍 | This gene encodes ketohexokinase that catalyzes conversion of fructose to fructose-1-phosphate. The product of this gene is the first enzyme with a specialized pathway that catabolizes dietary fructose. Alternatively spliced transcript variants encoding different isoforms have been identified. [provided by RefSeq, Jul 2008] |
| 生物功能 | Catalyzes the phosphorylation of the ketose sugar fructose to fructose-1-phosphate. [UniProt] |
| 预测分子量 | 33 kDa |
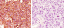
检测图片 (2) Click the Picture to Zoom In
-
ARG66361 anti-KHK (isoform C) antibody IHC-P image
Immunohistochemistry: Paraffin-embedded tumors derived from Huh-7 cells stained with ARG66361 anti-KHK (isoform C) antibody (left), or the same antibody pre-incubated with KHK-C aa. 72-115 peptide (right).
-
ARG66361 anti-KHK (isoform C) antibody WB image
Western blot: Hepatocytee, Hep3B and Huh7 cell lysates stained with ARG66360 anti-KHK (isoform A) antibody (upper panel) and ARG66361 anti-KHK (isoform C) antibody (lower panel).
