ARG59333
anti-KChIP2 antibody
anti-KChIP2 antibody for Flow cytometry,ICC/IF,IHC-Formalin-fixed paraffin-embedded sections,Western blot and Human,Mouse,Rat
概述
| 产品描述 | Rabbit Polyclonal antibody recognizes KChIP2 |
|---|---|
| 反应物种 | Hu, Ms, Rat |
| 预测物种 | Chk |
| 应用 | FACS, ICC/IF, IHC-P, WB |
| 宿主 | Rabbit |
| 克隆 | Polyclonal |
| 同位型 | IgG |
| 靶点名称 | KChIP2 |
| 抗原物种 | Human |
| 抗原 | Synthetic peptide corresponding to aa. 78-112 of Human KChIP2. (DEFELSTVCHRPEGLEQLQEQTKFTRKELQVLYR) |
| 偶联标记 | Un-conjugated |
| 別名 | Potassium channel-interacting protein 2; A-type potassium channel modulatory protein 2; Kv channel-interacting protein 2; Cardiac voltage-gated potassium channel modulatory subunit; KCHIP2; KChIP2 |
应用说明
| 应用建议 |
|
||||||||||
|---|---|---|---|---|---|---|---|---|---|---|---|
| 应用说明 | IHC-P: Antigen Retrieval: By heat mediation. * The dilutions indicate recommended starting dilutions and the optimal dilutions or concentrations should be determined by the scientist. |
属性
| 形式 | Liquid |
|---|---|
| 纯化 | Affinity purification with immunogen. |
| 缓冲液 | 0.9% NaCl, 0.2% Na2HPO4, 0.05% Sodium azide and 5% BSA. |
| 抗菌剂 | 0.05% Sodium azide |
| 稳定剂 | 5% BSA |
| 浓度 | 0.5 mg/ml |
| 存放说明 | For continuous use, store undiluted antibody at 2-8°C for up to a week. For long-term storage, aliquot and store at -20°C or below. Storage in frost free freezers is not recommended. Avoid repeated freeze/thaw cycles. Suggest spin the vial prior to opening. The antibody solution should be gently mixed before use. |
| 注意事项 | For laboratory research only, not for drug, diagnostic or other use. |
生物信息
| 数据库连接 | |
|---|---|
| 基因名称 | KCNIP2 |
| 全名 | Kv channel interacting protein 2 |
| 背景介绍 | This gene encodes a member of the family of voltage-gated potassium (Kv) channel-interacting proteins (KCNIPs), which belongs to the recoverin branch of the EF-hand superfamily. Members of the KCNIP family are small calcium binding proteins. They all have EF-hand-like domains, and differ from each other in the N-terminus. They are integral subunit components of native Kv4 channel complexes. They may regulate A-type currents, and hence neuronal excitability, in response to changes in intracellular calcium. Multiple alternatively spliced transcript variants encoding distinct isoforms have been identified from this gene. [provided by RefSeq, Jul 2008] |
| 生物功能 | Regulatory subunit of Kv4/D (Shal)-type voltage-gated rapidly inactivating A-type potassium channels. Modulates channel density, inactivation kinetics and rate of recovery from inactivation in a calcium-dependent and isoform-specific manner. In vitro, modulates KCND2/Kv4.2 and KCND3/Kv4.3 currents. Involved in KCND2 and KCND3 trafficking to the cell surface. May be required for the expression of I(To) currents in the heart (By similarity). [UniProt] |
| 细胞定位 | Isoform 1: Cell membrane; Lipid-anchor. Note=Detected on lipid rafts (By similarity). Isoform 2: Cell membrane; Lipid-anchor. Isoform 6: Cell membrane; Lipid-anchor. [UniProt] |
| 预测分子量 | 31 kDa |
| 翻译后修饰 | Palmitoylated. Palmitoylation enhances association with the plasma membrane. [UniProt] |
检测图片 (6) Click the Picture to Zoom In
-
ARG59333 anti-KChIP2 antibody ICC/IF image
Immunofluorescence: SH-SY5Y cells were blocked with 10% goat serum and then stained with ARG59333 anti-KChIP2 antibody (green) at 2 µg/ml dilution, overnight at 4°C. DAPI (blue) for nuclear staining.
-
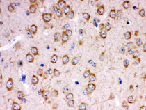
ARG59333 anti-KChIP2 antibody IHC-P image
Immunohistochemistry: Paraffin-embedded Mouse brain stained with ARG59333 anti-KChIP2 antibody.
-
ARG59333 anti-KChIP2 antibody WB image
Western blot: 50 ug of Rat brain, 50 ug of Rat cardiac muscle, 50 ug of Mouse cardiac muscle and 40 ug of 22RV1 whole cell lysates stained wtih ARG59333 anti-KChIP2 antibody at 0.5 ug/ml dilution.
-
ARG59333 anti-KChIP2 antibody FACS image
Flow Cytometry: K562 cells were blocked with 10% normal goat serum and then stained with ARG59333 anti-KChIP2 antibody (blue) at 1 µg/10^6 cells for 30 min at 20°C, followed by incubation with DyLight®488 labelled secondary antibody. Isotype control antibody (green) was rabbit IgG (1 µg/10^6 cells) used under the same conditions. Unlabelled sample (red) was also used as a control.
-
ARG59333 anti-KChIP2 antibody IHC-P image
Immunohistochemistry: Paraffin-embedded Human glioma stained with ARG59333 anti-KChIP2 antibody.
-
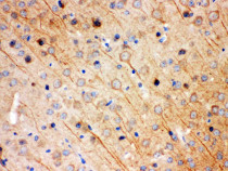
ARG59333 anti-KChIP2 antibody IHC-P image
Immunohistochemistry: Paraffin-embedded Rat brain stained with ARG59333 anti-KChIP2 antibody.
