ARG45711
anti-KCNQ5 antibody
anti-KCNQ5 antibody for IHC-Formalin-fixed paraffin-embedded sections,Western blot and Human,Mouse,Rat
概述
| 产品描述 | Rabbit Polyclonal antibody recognizes KCNQ5 |
|---|---|
| 反应物种 | Hu, Ms, Rat |
| 应用 | IHC-P, WB |
| 宿主 | Rabbit |
| 克隆 | Polyclonal |
| 同位型 | IgG |
| 靶点名称 | KCNQ5 |
| 抗原物种 | Human |
| 抗原 | Recombinant protein containing to human KCNQ5. |
| 偶联标记 | Un-conjugated |
| 別名 | KCNQ5; Potassium Voltage-Gated Channel Subfamily Q Member 5; Kv7.5; Potassium Channel, Voltage Gated KQT-Like Subfamily Q, Member 5; Potassium Voltage-Gated Channel Subfamily KQT Member 5; Voltage-Gated Potassium Channel Subunit Kv7.5; Potassium Channel Subunit Alpha KvLQT5; KQT-Like 5; Potassium Voltage-Gated Channel, KQT-Like Subfamily, Member 5; Potassium Channel Protein; MRD46 |
应用说明
| 应用建议 |
|
||||||
|---|---|---|---|---|---|---|---|
| 应用说明 | * The dilutions indicate recommended starting dilutions and the optimal dilutions or concentrations should be determined by the scientist. | ||||||
| 实际分子量 | 102 kDa |
属性
| 形式 | Liquid |
|---|---|
| 纯化 | Affinity purified |
| 缓冲液 | 0.2% Na2HPO4, 0.9% NaCl and 4% Trehalose. |
| 稳定剂 | 4% Trehalose |
| 浓度 | 0.5 mg/ml |
| 存放说明 | For continuous use, store undiluted antibody at 2-8°C for up to a week. For long-term storage, aliquot and store at -20°C or below. Storage in frost free freezers is not recommended. Avoid repeated freeze/thaw cycles. Suggest spin the vial prior to opening. The antibody solution should be gently mixed before use. |
| 注意事项 | For laboratory research only, not for drug, diagnostic or other use. |
生物信息
| 数据库连接 |
Swiss-port # Q9JK45 Mouse Potassium voltage-gated channel subfamily KQT member 5 Swiss-port # Q9NR82 Human Potassium voltage-gated channel subfamily KQT member 5 |
|---|---|
| 基因名称 | KCNQ5 |
| 全名 | Potassium Voltage-Gated Channel Subfamily Q Member 5 |
| 背景介绍 | This gene is a member of the KCNQ potassium channel gene family that is differentially expressed in subregions of the brain and in skeletal muscle. The protein encoded by this gene yields currents that activate slowly with depolarization and can form heteromeric channels with the protein encoded by the KCNQ3 gene. Currents expressed from this protein have voltage dependences and inhibitor sensitivities in common with M-currents. They are also inhibited by M1 muscarinic receptor activation. Multiple transcript variants encoding different isoforms have been found for this gene. [provided by RefSeq, May 2009] |
| 生物功能 | Pore-forming subunit of the voltage-gated potassium (Kv) channel broadly expressed in brain and involved in the regulation of neuronal excitability. [UniProt] |
| 细胞定位 | Cell membrane; Membrane. [UniProt] |
| 预测分子量 | 102 kDa |
| 翻译后修饰 | Phosphoprotein. [UniProt] |
检测图片 (4) Click the Picture to Zoom In
-
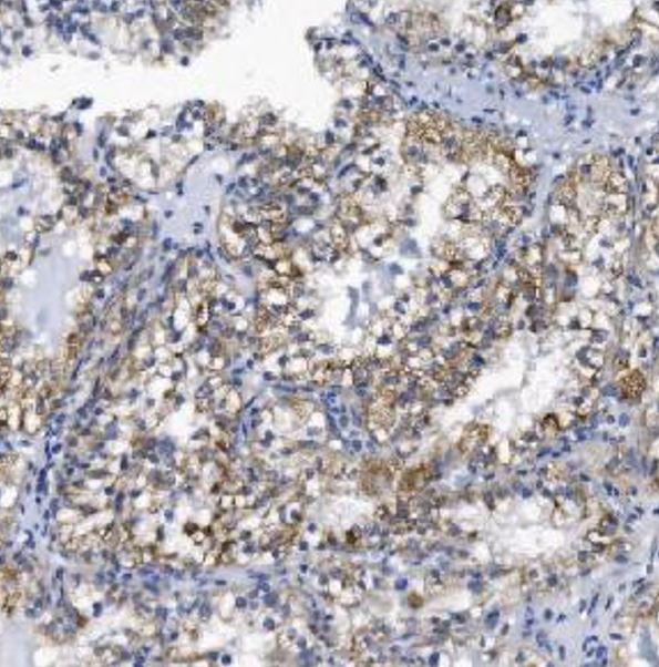
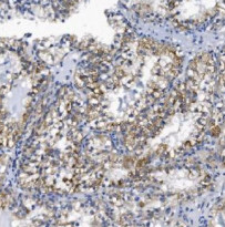
ARG45711 anti-KCNQ5 antibody IHC-P image
Immunohistochemistry: Human renal clear cell carcinoma stained with ARG45711 anti-KCNQ5 antibody at 2 μg/ml dilution.
-
ARG45711 anti-KCNQ5 antibody WB image
Western blot: PC-3 stained with ARG45711 anti-KCNQ5 antibody at 0.5 μg/ml dilution.
-
ARG45711 anti-KCNQ5 antibody IHC-P image
Immunohistochemistry: Rat brain stained with ARG45711 anti-KCNQ5 antibody at 2 μg/ml dilution.
-
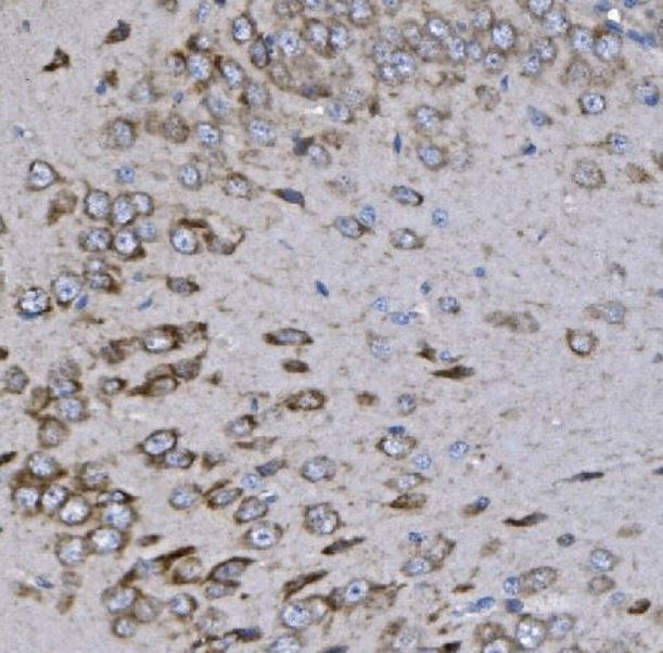
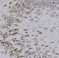
ARG45711 anti-KCNQ5 antibody IHC-P image
Immunohistochemistry: Mouse brain stained with ARG45711 anti-KCNQ5 antibody at 2 μg/ml dilution.
