ARG24120
anti-KCNQ4 antibody [N43/6]
anti-KCNQ4 antibody [N43/6] for ICC/IF,IHC-Frozen sections,IHC-Formalin-fixed paraffin-embedded sections,Immunoprecipitation,Western blot and Human,Mouse,Rat
Neuroscience antibody
概述
| 产品描述 | Mouse Monoclonal antibody [N43/6] recognizes KCNQ4 |
|---|---|
| 反应物种 | Hu, Ms, Rat |
| 应用 | ICC/IF, IHC-Fr, IHC-P, IP, WB |
| 宿主 | Mouse |
| 克隆 | Monoclonal |
| 克隆号 | N43/6 |
| 同位型 | IgG1 |
| 靶点名称 | KCNQ4 |
| 抗原物种 | Human |
| 抗原 | Fusion protein of human KCNQ4 (a.a 2-77 ) |
| 偶联标记 | Un-conjugated |
| 別名 | DFNA2; Voltage-gated potassium channel subunit Kv7.4; KQT-like 4; DFNA2A; Potassium voltage-gated channel subfamily KQT member 4; KV7.4; Potassium channel subunit alpha KvLQT4 |
应用说明
| 应用建议 |
|
||||||||||||
|---|---|---|---|---|---|---|---|---|---|---|---|---|---|
| 应用说明 | * The dilutions indicate recommended starting dilutions and the optimal dilutions or concentrations should be determined by the scientist. |
属性
| 形式 | Liquid |
|---|---|
| 纯化 | Purification with Protein G. |
| 缓冲液 | PBS (pH 7.4), 50% Glycerol and 0.09% Sodium azide |
| 抗菌剂 | 0.09% Sodium azide |
| 稳定剂 | 50% Glycerol |
| 浓度 | 1 mg/ml |
| 存放说明 | For continuous use, store undiluted antibody at 2-8°C for up to a week. For long-term storage, aliquot and store at -20°C. Storage in frost free freezers is not recommended. Avoid repeated freeze/thaw cycles. Suggest spin the vial prior to opening. The antibody solution should be gently mixed before use. |
| 注意事项 | For laboratory research only, not for drug, diagnostic or other use. |
生物信息
| 数据库连接 |
Swiss-port # P56696 Human Potassium voltage-gated channel subfamily KQT member 4 Swiss-port # Q9JK97 Mouse Potassium voltage-gated channel subfamily KQT member 4 |
|---|---|
| 基因名称 | KCNQ4 |
| 全名 | Potassium Voltage-Gated Channel Subfamily Q Member 4 |
| 背景介绍 | The protein encoded by this gene forms a potassium channel that is thought to play a critical role in the regulation of neuronal excitability, particularly in sensory cells of the cochlea. The current generated by this channel is inhibited by M1 muscarinic acetylcholine receptors and activated by retigabine, a novel anti-convulsant drug. The encoded protein can form a homomultimeric potassium channel or possibly a heteromultimeric channel in association with the protein encoded by the KCNQ3 gene. Defects in this gene are a cause of nonsyndromic sensorineural deafness type 2 (DFNA2), an autosomal dominant form of progressive hearing loss. Two transcript variants encoding different isoforms have been found for this gene. [provided by RefSeq, Jul 2008] |
| 研究领域 | Neuroscience antibody |
| 预测分子量 | 77 kDa |
检测图片 (4) Click the Picture to Zoom In
-
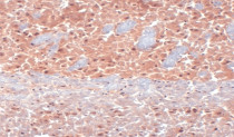
ARG24120 anti-KCNQ4 antibody [N43/6] IHC-P image
Immunohistochemistry: Human hippocampus stained with ARG24120 anti-KCNQ4 antibody [N43/6] at 1:1000 dilution.
-
ARG24120 anti-KCNQ4 antibody [N43/6] ICC/IF image
Immunofluorescence: SH-SY5Y stained with ARG24120 anti-KCNQ4 antibody [N43/6] at 1:100 dilution.
-
ARG24120 anti-KCNQ4 antibody [N43/6] WB image
Western blot: Rat tissue lysate stained with ARG24120 anti-KCNQ4 antibody [N43/6] at 1:200 dilution.
-
ARG24120 anti-KCNQ4 antibody [N43/6] IHC-Fr image
Immunohistochemistry: Mouse Brain stained with ARG24120 anti-KCNQ4 antibody [N43/6] at 1:1000 dilution.
