ARG45617
anti-KCNQ2 antibody
anti-KCNQ2 antibody for Flow cytometry,IHC-Formalin-fixed paraffin-embedded sections,Western blot and Human,Mouse,Rat
概述
| 产品描述 | Rabbit Polyclonal antibody recognizes KCNQ2 |
|---|---|
| 反应物种 | Hu, Ms, Rat |
| 应用 | FACS, IHC-P, WB |
| 宿主 | Rabbit |
| 克隆 | Polyclonal |
| 同位型 | IgG |
| 靶点名称 | KCNQ2 |
| 抗原物种 | Human |
| 抗原 | Recombinant protein containing to human KCNQ2. |
| 偶联标记 | Un-conjugated |
| 別名 | KCNQ2; Potassium Voltage-Gated Channel Subfamily Q Member 2; KCNA11; Kv7.2; HNSPC; ENB1; BFNC; Potassium Channel, Voltage Gated KQT-Like Subfamily Q, Member 2; Neuroblastoma-Specific Potassium Channel Subunit Alpha KvLQT2; Potassium Voltage-Gated Channel Subfamily KQT Member 2; Voltage-Gated Potassium Channel Subunit Kv7.2; EBN1; EBN; Potassium Voltage-Gated Channel, KQT-Like Subfamily, Member 2; KQT-Like 2; DEE7 |
应用说明
| 应用建议 |
|
||||||||
|---|---|---|---|---|---|---|---|---|---|
| 应用说明 | * The dilutions indicate recommended starting dilutions and the optimal dilutions or concentrations should be determined by the scientist. | ||||||||
| 实际分子量 | 97 kDa |
属性
| 形式 | Liquid |
|---|---|
| 纯化 | Affinity purified |
| 缓冲液 | 0.2% Na2HPO4, 0.9% NaCl and 4% Trehalose. |
| 稳定剂 | 4% Trehalose |
| 浓度 | 0.5 mg/ml |
| 存放说明 | For continuous use, store undiluted antibody at 2-8°C for up to a week. For long-term storage, aliquot and store at -20°C or below. Storage in frost free freezers is not recommended. Avoid repeated freeze/thaw cycles. Suggest spin the vial prior to opening. The antibody solution should be gently mixed before use. |
| 注意事项 | For laboratory research only, not for drug, diagnostic or other use. |
生物信息
| 数据库连接 | |
|---|---|
| 基因名称 | KCNQ2 |
| 全名 | Potassium Voltage-Gated Channel Subfamily Q Member 2 |
| 背景介绍 | The M channel is a slowly activating and deactivating potassium channel that plays a critical role in the regulation of neuronal excitability. The M channel is formed by the association of the protein encoded by this gene and a related protein encoded by the KCNQ3 gene, both integral membrane proteins. M channel currents are inhibited by M1 muscarinic acetylcholine receptors and activated by retigabine, a novel anti-convulsant drug. Defects in this gene are a cause of benign familial neonatal convulsions type 1 (BFNC), also known as epilepsy, benign neonatal type 1 (EBN1). At least five transcript variants encoding five different isoforms have been found for this gene. [provided by RefSeq, Jul 2008] |
| 生物功能 | Pore-forming subunit of the voltage-gated potassium (Kv) M-channel which is responsible for the M-current, a key controller of neuronal excitability. [UniProt] |
| 细胞定位 | Cell membrane. [UniProt] |
| 预测分子量 | 96 kDa |
| 翻译后修饰 | Phosphoprotein; Ubl conjugation. [UniProt] |
检测图片 (5) Click the Picture to Zoom In
-
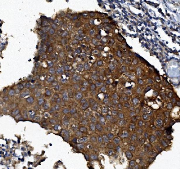
ARG45617 anti-KCNQ2 antibody IHC-P image
Immunohistochemistry: Human breast cancer stained with ARG45617 anti-KCNQ2 antibody at 2 μg/ml dilution.
-
ARG45617 anti-KCNQ2 antibody WB image
Western blot: HEK293 stained with ARG45617 anti-KCNQ2 antibody at 0.5 μg/ml dilution.
-
ARG45617 anti-KCNQ2 antibody FACS image
Flow Cytometry: 293T stained with ARG45617 anti-KCNQ2 antibody at 1 µg/10^6 cells dilution.
-
ARG45617 anti-KCNQ2 antibody WB image
Western blot: Rat brain stained with ARG45617 anti-KCNQ2 antibody at 0.5 μg/ml dilution.
-
ARG45617 anti-KCNQ2 antibody WB image
Western blot: Mouse brain stained with ARG45617 anti-KCNQ2 antibody at 0.5 μg/ml dilution.
