ARG59672
anti-KCNB1 / Kv2.1 antibody
anti-KCNB1 / Kv2.1 antibody for IHC-Frozen sections,IHC-Formalin-fixed paraffin-embedded sections,Western blot and Human,Mouse,Rat
概述
| 产品描述 | Rabbit Polyclonal antibody recognizes KCNB1 / Kv2.1 |
|---|---|
| 反应物种 | Hu, Ms, Rat |
| 应用 | IHC-Fr, IHC-P, WB |
| 宿主 | Rabbit |
| 克隆 | Polyclonal |
| 同位型 | IgG |
| 靶点名称 | KCNB1 / Kv2.1 |
| 抗原物种 | Human |
| 抗原 | Recombinant protein corresponding to V687-I858 of Human Kv2.1. |
| 偶联标记 | Un-conjugated |
| 別名 | Voltage-gated potassium channel subunit Kv2.1; DRK1; EIEE26; Delayed rectifier potassium channel 1; h-DRK1; Potassium voltage-gated channel subfamily B member 1; KV2.1 |
应用说明
| 应用建议 |
|
||||||||
|---|---|---|---|---|---|---|---|---|---|
| 应用说明 | IHC-P: Antigen Retrieval: By heat mediation. * The dilutions indicate recommended starting dilutions and the optimal dilutions or concentrations should be determined by the scientist. |
属性
| 形式 | Liquid |
|---|---|
| 纯化 | Affinity purification with immunogen. |
| 缓冲液 | 0.9% NaCl, 0.2% Na2HPO4, 0.05% Sodium azide and 5% BSA. |
| 抗菌剂 | 0.05% Sodium azide |
| 稳定剂 | 5% BSA |
| 浓度 | 0.5 mg/ml |
| 存放说明 | For continuous use, store undiluted antibody at 2-8°C for up to a week. For long-term storage, aliquot and store at -20°C or below. Storage in frost free freezers is not recommended. Avoid repeated freeze/thaw cycles. Suggest spin the vial prior to opening. The antibody solution should be gently mixed before use. |
| 注意事项 | For laboratory research only, not for drug, diagnostic or other use. |
生物信息
| 数据库连接 | |
|---|---|
| 基因名称 | KCNB1 |
| 全名 | potassium channel, voltage gated Shab related subfamily B, member 1 |
| 背景介绍 | Voltage-gated potassium (Kv) channels represent the most complex class of voltage-gated ion channels from both functional and structural standpoints. Their diverse functions include regulating neurotransmitter release, heart rate, insulin secretion, neuronal excitability, epithelial electrolyte transport, smooth muscle contraction, and cell volume. Four sequence-related potassium channel genes - shaker, shaw, shab, and shal - have been identified in Drosophila, and each has been shown to have human homolog(s). This gene encodes a member of the potassium channel, voltage-gated, shab-related subfamily. This member is a delayed rectifier potassium channel and its activity is modulated by some other family members. [provided by RefSeq, Jul 2008] |
| 生物功能 | Voltage-gated potassium channel that mediates transmembrane potassium transport in excitable membranes, primarily in the brain, but also in the pancreas and cardiovascular system. Contributes to the regulation of the action potential (AP) repolarization, duration and frequency of repetitive AP firing in neurons, muscle cells and endocrine cells and plays a role in homeostatic attenuation of electrical excitability throughout the brain. Plays also a role in the regulation of exocytosis independently of its electrical function (By similarity). Forms tetrameric potassium-selective channels through which potassium ions pass in accordance with their electrochemical gradient. The channel alternates between opened and closed conformations in response to the voltage difference across the membrane. Homotetrameric channels mediate a delayed-rectifier voltage-dependent outward potassium current that display rapid activation and slow inactivation in response to membrane depolarization. Can form functional homotetrameric and heterotetrameric channels that contain variable proportions of KCNB2; channel properties depend on the type of alpha subunits that are part of the channel (By similarity). Can also form functional heterotetrameric channels with other alpha subunits that are non-conducting when expressed alone, such as KCNF1, KCNG1, KCNG3, KCNG4, KCNH1, KCNH2, KCNS1, KCNS2, KCNS3 and KCNV1, creating a functionally diverse range of channel complexes. Heterotetrameric channel activity formed with KCNS3 show increased current amplitude with the threshold for action potential activation shifted towards more negative values in hypoxic-treated pulmonary artery smooth muscle cells (By similarity). Channel properties are also modulated by cytoplasmic ancillary beta subunits such as AMIGO1, KCNE1, KCNE2 and KCNE3, slowing activation and inactivation rate of the delayed rectifier potassium channels (By similarity). In vivo, membranes probably contain a mixture of heteromeric potassium channel complexes, making it difficult to assign currents observed in intact tissues to any particular potassium channel family member. Major contributor to the slowly inactivating delayed-rectifier voltage-gated potassium current in neurons of the central nervous system, sympathetic ganglion neurons, neuroendocrine cells, pancreatic beta cells, cardiomyocytes and smooth muscle cells. Mediates the major part of the somatodendritic delayed-rectifier potassium current in hippocampal and cortical pyramidal neurons and sympathetic superior cervical ganglion (CGC) neurons that acts to slow down periods of firing, especially during high frequency stimulation. Plays a role in the induction of long-term potentiation (LTP) of neuron excitability in the CA3 layer of the hippocampus (By similarity). Contributes to the regulation of glucose-induced action potential amplitude and duration in pancreatic beta cells, hence limiting calcium influx and insulin secretion. Plays a role in the regulation of resting membrane potential and contraction in hypoxia-treated pulmonary artery smooth muscle cells. May contribute to the regulation of the duration of both the action potential of cardiomyocytes and the heart ventricular repolarization QT interval. Contributes to the pronounced pro-apoptotic potassium current surge during neuronal apoptotic cell death in response to oxidative injury. May confer neuroprotection in response to hypoxia/ischemic insults by suppressing pyramidal neurons hyperexcitability in hippocampal and cortical regions (By similarity). Promotes trafficking of KCNG3, KCNH1 and KCNH2 to the cell surface membrane, presumably by forming heterotetrameric channels with these subunits. Plays a role in the calcium-dependent recruitment and release of fusion-competent vesicles from the soma of neurons, neuroendocrine and glucose-induced pancreatic beta cells by binding key components of the fusion machinery in a pore-independent manner (By similarity). [UniProt] |
| 细胞定位 | Cell membrane. Perikaryon. Cell projection, axon. Cell projection, dendrite. Membrane; Multi-pass membrane protein. Cell junction, synapse, postsynaptic cell membrane. Cell junction, synapse. Cell junction, synapse, synaptosome. Lateral cell membrane. Cell membrane, sarcolemma. [UniProt] |
| 预测分子量 | 96 kDa |
| 翻译后修饰 | Phosphorylated. Differential C-terminal phosphorylation on a subset of serines allows graded activity-dependent regulation of channel gating in hippocampal neurons. Ser-607 and Tyr-128 are significant sites of voltage-gated regulation through phosphorylation/dephosphorylation activities. Tyr-128 can be phosphorylated by Src and dephosphorylated by cytoplasmic form of the phosphatase PTPRE. CDK5-induced Ser-607 phosphorylation increases in response to acute blockade of neuronal activity. Phosphorylated on Tyr-128 by Src and on Ser-805 by MAPK14/P38MAPK; phosphorylations are necessary and sufficient for an increase in plasma membrane insertion, apoptotic potassium current surge and completion of the neuronal cell death program. Phosphorylated on Ser-520, Ser-607, Ser-656 and Ser-805 by CDK5; phosphorylation is necessary for KCNB1 channel clustering formation. The Ser-607 phosphorylation state differs between KCNB1-containing clusters on the proximal and distal portions of the axon initial segment (AIS). Highly phosphorylated on serine residues in the C-terminal cytoplasmic tail in resting neurons. Phosphorylated in pancreatic beta cells in response to incretin hormones stimulation in a PKA- and RPS6KA5/MSK1-dependent signaling pathway, promoting beta cell survival. Phosphorylation on Ser-567 is reduced during postnatal development with low levels at P2 and P5; levels then increase to reach adult levels by P14. Phosphorylation on Ser-457, Ser-541, Ser-567, Ser-607, Ser-656 and Ser-720 as well as the N-terminal Ser-15 are sensitive to calcineurin-mediated dephosphorylation contributing to the modulation of the voltage-dependent gating properties. Dephosphorylation by phosphatase PTPRE confers neuroprotection by its inhibitory influence on the neuronal apoptotic potassium current surge in a Zn(2+)-dependent manner. Dephosphorylated at Ser-607 by protein phosphatase PPP1CA. Hypoxia-, seizure- or glutamate-induced neuronal activity promote calcium/calcineurin-dependent dephosphorylation resulting in a loss of KCNB1-containing clustering and enhanced channel activity. In response to brain ischemia, Ser-567 and Ser-607 are strongly dephosphorylated while Ser-457 and Ser-720 are less dephosphorylated. In response to brain seizures, phosphorylation levels on Ser-567 and Ser-607 are greatly reduced. Phosphorylated/dephosphorylated by Src or FYN tyrosine-protein kinases and tyrosine phosphatase PTPRE in primary Schwann cells and sciatic nerve tissue (By similarity). Acetylated. Acetylation occurs in pancreatic beta cells in response to stimulation by incretin hormones in a histone acetyltransferase (HAT)/histone deacetylase (HDAC)-dependent signaling pathway, promoting beta cell survival. Sumoylated on Lys-474, preferentially with SUMO1; sumoylation induces a positive shift in the voltage-dependence of activation and inhibits channel activity (PubMed:19223394). Sumoylation increases the frequency of repetitive action potential firing at the cell surface of hippocampal neurons and decreases its frequency in pancreatic beta cells (PubMed:19223394). Desumoylated by SENP1 (PubMed:19223394). [UniProt] |
检测图片 (7) Click the Picture to Zoom In
-
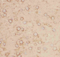
ARG59672 anti-KCNB1 / Kv2.1 antibody IHC-P image
Immunohistochemistry: Paraffin-embedded Human lung cancer stained with ARG59672 anti-KCNB1 / Kv2.1 antibody.
-
ARG59672 anti-KCNB1 / Kv2.1 antibody WB image
Western blot: 0.5 ng of Recombinant Human kv2.1 Protein stained with ARG59672 anti-KCNB1 / Kv2.1 antibody at 0.5 µg/ml dilution.
-
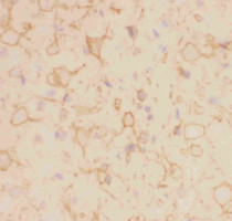
ARG59672 anti-KCNB1 / Kv2.1 antibody IHC-P image
Immunohistochemistry: Paraffin-embedded Rat brain stained with ARG59672 anti-KCNB1 / Kv2.1 antibody.
-
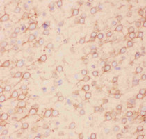
ARG59672 anti-KCNB1 / Kv2.1 antibody IHC-P image
Immunohistochemistry: Paraffin-embedded Mouse brain stained with ARG59672 anti-KCNB1 / Kv2.1 antibody.
-
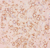
ARG59672 anti-KCNB1 / Kv2.1 antibody IHC-Fr image
Immunohistochemistry: Frozen section of Rat brain stained with ARG59672 anti-KCNB1 / Kv2.1 antibody.
-
ARG59672 anti-KCNB1 / Kv2.1 antibody IHC-Fr image
Immunohistochemistry: Frozen section of Mouse brain stained with ARG59672 anti-KCNB1 / Kv2.1 antibody.
-
ARG59672 anti-KCNB1 / Kv2.1 antibody WB image
Western blot: 50 µg of Rat brain and Mouse brain lysates stained with ARG59672 anti-KCNB1 / Kv2.1 antibody at 0.5 µg/ml dilution.
