ARG56210
anti-KCC2 / Potassium Chloride Cotransporter antibody
anti-KCC2 / Potassium Chloride Cotransporter antibody for IHC-Formalin-fixed paraffin-embedded sections,Western blot and Human
概述
| 产品描述 | Rabbit Polyclonal antibody recognizes KCC2 / Potassium Chloride Cotransporter |
|---|---|
| 反应物种 | Hu |
| 应用 | IHC-P, WB |
| 宿主 | Rabbit |
| 克隆 | Polyclonal |
| 同位型 | IgG |
| 靶点名称 | KCC2 / Potassium Chloride Cotransporter |
| 抗原物种 | Human |
| 抗原 | KLH-conjugated synthetic peptide corresponding to aa. 5-33 (N-terminus) of Human KCC2. |
| 偶联标记 | Un-conjugated |
| 別名 | K-Cl cotransporter 2; Electroneutral potassium-chloride cotransporter 2; Solute carrier family 12 member 5; hKCC2; KCC2; Neuronal K-Cl cotransporter |
应用说明
| 应用建议 |
|
||||||
|---|---|---|---|---|---|---|---|
| 应用说明 | * The dilutions indicate recommended starting dilutions and the optimal dilutions or concentrations should be determined by the scientist. | ||||||
| 阳性对照 | K562 |
属性
| 形式 | Liquid |
|---|---|
| 纯化 | Purification with Protein A and immunogen peptide. |
| 缓冲液 | PBS and 0.09% (W/V) Sodium azide. |
| 抗菌剂 | 0.09% (W/V) Sodium azide |
| 存放说明 | For continuous use, store undiluted antibody at 2-8°C for up to a week. For long-term storage, aliquot and store at -20°C or below. Storage in frost free freezers is not recommended. Avoid repeated freeze/thaw cycles. Suggest spin the vial prior to opening. The antibody solution should be gently mixed before use. |
| 注意事项 | For laboratory research only, not for drug, diagnostic or other use. |
生物信息
| 数据库连接 | |
|---|---|
| 基因名称 | SLC12A5 |
| 全名 | solute carrier family 12 (potassium/chloride transporter), member 5 |
| 背景介绍 | K-Cl cotransporters are proteins that lower intracellular chloride concentrations below the electrochemical equilibrium potential. The protein encoded by this gene is an integral membrane K-Cl cotransporter that can function in either a net efflux or influx pathway, depending on the chemical concentration gradients of potassium and chloride. The encoded protein can act as a homomultimer, or as a heteromultimer with other K-Cl cotransporters, to maintain chloride homeostasis in neurons. Alternative splicing results in two transcript variants encoding different isoforms. [provided by RefSeq, Sep 2008] |
| 生物功能 | Mediates electroneutral potassium-chloride cotransport in mature neurons. Transport occurs under isotonic conditions, but is activated 20-fold by cell swelling. Important for Cl(-) homeostasis in neurons. [UniProt] |
| 细胞定位 | Membrane; Multi-pass membrane protein. |
| 预测分子量 | 126 kDa |
检测图片 (2) Click the Picture to Zoom In
-
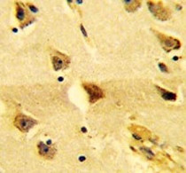
ARG56210 anti-KCC2 / Potassium Chloride Cotransporter antibody IHC-P image
Immunohistochemistry: Formalin-fixed and paraffin-embedded Human brain tissue stained with ARG56210 anti-KCC2 / Potassium Chloride Cotransporter antibody.
-
ARG56210 anti-KCC2 / Potassium Chloride Cotransporter antibody WB image
Western blot: 35 µg of K562 cell lysate stained with ARG56210 anti-KCC2 / Potassium Chloride Cotransporter antibody.
