ARG51532
anti-JunD phospho (Ser255) antibody
anti-JunD phospho (Ser255) antibody for IHC-Formalin-fixed paraffin-embedded sections,Western blot and Human,Mouse,Rat
Cell Biology and Cellular Response antibody; Gene Regulation antibody
概述
| 产品描述 | Rabbit Polyclonal antibody recognizes JunD phospho (Ser255) |
|---|---|
| 反应物种 | Hu, Ms, Rat |
| 应用 | IHC-P, WB |
| 宿主 | Rabbit |
| 克隆 | Polyclonal |
| 同位型 | IgG |
| 靶点名称 | JunD |
| 抗原物种 | Human |
| 抗原 | Peptide sequence around phosphorylation site of serine 255 (G-E-S(p)-P-P) derived from Human JunD. |
| 偶联标记 | Un-conjugated |
| 別名 | AP-1; Transcription factor jun-D |
应用说明
| 应用建议 |
|
||||||
|---|---|---|---|---|---|---|---|
| 应用说明 | * The dilutions indicate recommended starting dilutions and the optimal dilutions or concentrations should be determined by the scientist. |
属性
| 形式 | Liquid |
|---|---|
| 纯化 | Antibodies were produced by immunizing rabbits with KLH-conjugated synthetic phosphopeptide. Antibodies were purified by affinity-chromatography using epitope-specific phosphopeptide. In addition, non-phospho specific antibodies were removed by chromatogramphy using non-phosphopeptide. |
| 缓冲液 | PBS (without Mg2+ and Ca2+, pH 7.4), 150mM NaCl, 0.02% Sodium azide and 50% Glycerol. |
| 抗菌剂 | 0.02% Sodium azide |
| 稳定剂 | 50% Glycerol |
| 浓度 | 1 mg/ml |
| 存放说明 | For continuous use, store undiluted antibody at 2-8°C for up to a week. For long-term storage, aliquot and store at -20°C. Storage in frost free freezers is not recommended. Avoid repeated freeze/thaw cycles. Suggest spin the vial prior to opening. The antibody solution should be gently mixed before use. |
| 注意事项 | For laboratory research only, not for drug, diagnostic or other use. |
生物信息
| 数据库连接 | |
|---|---|
| 基因名称 | JUND |
| 全名 | jun D proto-oncogene |
| 背景介绍 | Binds an AP-1 site and upon cotransfection stimulates the activity of a promoter that bears an AP-1 site. |
| 生物功能 | Transcription factor binding AP-1 sites. [UniProt] |
| 研究领域 | Cell Biology and Cellular Response antibody; Gene Regulation antibody |
| 预测分子量 | 35 kDa |
检测图片 (2) Click the Picture to Zoom In
-
ARG51532 anti-JunD phospho (Ser255) antibody WB image
Western blot: Extracts from 293 cells stained with ARG51532 anti-JunD phospho (Ser255) antibody (Lane 2) and the same antibody preincubated with blocking peptide (Lane1).
-
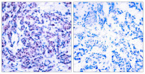
ARG51532 anti-JunD phospho (Ser255) antibody IHC-P image
Immunohistochemistry: Paraffin-embedded Human breast carcinoma tissue stained with ARG51532 anti-JunD phospho (Ser255) antibody (left) or the same antibody preincubated with blocking peptide (right).
