ARG67245
anti-Jak3 phospho (Tyr980 / 981) antibody
anti-Jak3 phospho (Tyr980 / 981) antibody for IHC-Formalin-fixed paraffin-embedded sections,Western blot and Human
概述
| 产品描述 | Rabbit Polyclonal antibody recognizes Jak3 phospho (Tyr980 / 981). |
|---|---|
| 反应物种 | Hu |
| 预测物种 | Ms |
| 应用 | IHC-P, WB |
| 特异性 | This antibody detects endogenous levels of JAK3 only when phosphorylated at Tyr980 or Tyr981,and dually phosphorylated at two sites. |
| 宿主 | Rabbit |
| 克隆 | Polyclonal |
| 同位型 | IgG |
| 靶点名称 | Jak3 |
| 抗原物种 | Human |
| 抗原 | Synthesized phosho peptide from Human Jak3 (phospho Tyr980 / 981) |
| 偶联标记 | Un-conjugated |
| 別名 | JAK3; Janus Kinase 3; L-JAK; JAK-3; Tyrosine-Protein Kinase JAK3; Leukocyte Janus Kinase; JAK3_HUMAN; JAKL; LJAK; EC 2.7.10.2; Janus Kinase 3 (A Protein Tyrosine Kinase, Leukocyte); EC 2.7.10 |
应用说明
| 应用建议 |
|
||||||
|---|---|---|---|---|---|---|---|
| 应用说明 | * The dilutions indicate recommended starting dilutions and the optimal dilutions or concentrations should be determined by the scientist. |
属性
| 形式 | Liquid |
|---|---|
| 纯化 | Affinity purification with immunogen. |
| 缓冲液 | PBS, 0.02% Sodium azide, 50% Glycerol and 0.5% BSA. |
| 抗菌剂 | 0.02% Sodium azide |
| 稳定剂 | 50% Glycerol and 0.5% BSA |
| 浓度 | 1 mg/ml |
| 存放说明 | For continuous use, store undiluted antibody at 2-8°C for up to a week. For long-term storage, aliquot and store at -20°C or below. Storage in frost free freezers is not recommended. Avoid repeated freeze/thaw cycles. Suggest spin the vial prior to opening. The antibody solution should be gently mixed before use. |
| 注意事项 | For laboratory research only, not for drug, diagnostic or other use. |
生物信息
| 数据库连接 | |
|---|---|
| 基因名称 | JAK3 |
| 全名 | Janus Kinase 3 |
| 背景介绍 | The protein encoded by this gene is a member of the Janus kinase (JAK) family of tyrosine kinases involved in cytokine receptor-mediated intracellular signal transduction. It is predominantly expressed in immune cells and transduces a signal in response to its activation via tyrosine phosphorylation by interleukin receptors. Mutations in this gene are associated with autosomal SCID (severe combined immunodeficiency disease). [provided by RefSeq, Jul 2008] |
| 生物功能 | Non-receptor tyrosine kinase involved in various processes such as cell growth, development, or differentiation. Mediates essential signaling events in both innate and adaptive immunity and plays a crucial role in hematopoiesis during T-cells development. In the cytoplasm, plays a pivotal role in signal transduction via its association with type I receptors sharing the common subunit gamma such as IL2R, IL4R, IL7R, IL9R, IL15R and IL21R. Following ligand binding to cell surface receptors, phosphorylates specific tyrosine residues on the cytoplasmic tails of the receptor, creating docking sites for STATs proteins. Subsequently, phosphorylates the STATs proteins once they are recruited to the receptor. Phosphorylated STATs then form homodimer or heterodimers and translocate to the nucleus to activate gene transcription. For example, upon IL2R activation by IL2, JAK1 and JAK3 molecules bind to IL2R beta (IL2RB) and gamma chain (IL2RG) subunits inducing the tyrosine phosphorylation of both receptor subunits on their cytoplasmic domain. Then, STAT5A and STAT5B are recruited, phosphorylated and activated by JAK1 and JAK3. Once activated, dimerized STAT5 translocates to the nucleus and promotes the transcription of specific target genes in a cytokine-specific fashion. [UniProt] |
| 细胞定位 | Cytoplasm, Membrane. [UniProt] |
| 预测分子量 | 126 kDa |
| 翻译后修饰 | Phosphoprotein. [UniProt] |
检测图片 (2) Click the Picture to Zoom In
-
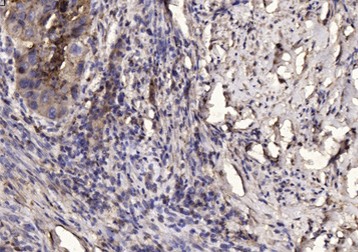
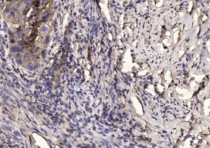
ARG67245 anti-Jak3 phospho (Tyr980 / 981) antibody IHC-P image
Immunohistochemistry: Human Squamous cell carcinoma stained with ARG67245 anti-Jak3 phospho (Tyr980 / 981) antibody at 1:200 dilution.
-
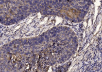
ARG67245 anti-Jak3 phospho (Tyr980 / 981) antibody IHC-P image
Immunohistochemistry: Human Squamous cell carcinoma stained with ARG67245 anti-Jak3 phospho (Tyr980 / 981) antibody at 1:200 dilution.
