ARG44435
anti-JOSD2 / Josephin2 antibody
anti-JOSD2 / Josephin2 antibody for Flow cytometry,IHC-Formalin-fixed paraffin-embedded sections,Western blot and Human,Mouse,Rat
概述
| 产品描述 | Rabbit Polyclonal antibody recognizes JOSD2 / Josephin2 |
|---|---|
| 反应物种 | Hu, Ms, Rat |
| 应用 | FACS, IHC-P, WB |
| 宿主 | Rabbit |
| 克隆 | Polyclonal |
| 同位型 | IgG |
| 靶点名称 | JOSD2 / Josephin2 |
| 抗原物种 | Human |
| 抗原 | Human JOSD2 / Josephin2 recombinant protein |
| 偶联标记 | Un-conjugated |
| 別名 | JOSD2; Josephin Domain Containing 2; SBBI54; Josephin Domain-Containing Protein 2; Josephin-2 |
应用说明
| 应用建议 |
|
||||||||
|---|---|---|---|---|---|---|---|---|---|
| 应用说明 | The dilutions indicate recommended starting dilutions and the optimal dilutions or concentrations should be determined by the scientist. |
属性
| 形式 | Liquid |
|---|---|
| 纯化 | Affinity purified with Immunogen. |
| 缓冲液 | 0.9% NaCl, 0.2% Na2HPO4, 0.05% Sodium azide and 4% Trehalose. |
| 抗菌剂 | 0.05% Sodium azide |
| 稳定剂 | 4% Trehalose |
| 浓度 | 0.5 mg/ml |
| 存放说明 | For continuous use, store undiluted antibody at 2-8°C for up to a week. For long-term storage, aliquot and store at -20°C or below. Storage in frost free freezers is not recommended. Avoid repeated freeze/thaw cycles. Suggest spin the vial prior to opening. The antibody solution should be gently mixed before use. |
| 注意事项 | For laboratory research only, not for drug, diagnostic or other use. |
生物信息
| 数据库连接 | |
|---|---|
| 基因名称 | JOSD2 |
| 全名 | Josephin Domain Containing 2 |
| 背景介绍 | This gene encodes a protein containing a Josephin domain. Josephin domain-containing proteins are deubiquitinating enzymes which catalyze the hydrolysis of the bond between the C-terminal glycine of the ubiquitin peptide and protein substrates. Alternatively spliced transcript variants encoding multiple isoforms have been observed for this gene. |
| 生物功能 | Cleaves 'Lys-63'-linked poly-ubiquitin chains, and with lesser efficiency 'Lys-48'-linked poly-ubiquitin chains (in vitro). May act as a deubiquitinating enzyme. |
| 细胞定位 | Cytoplasm |
| 预测分子量 | 21 kDa |
检测图片 (5) Click the Picture to Zoom In
-
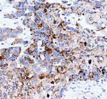
ARG44435 anti-JOSD2 / Josephin2 antibody IHC-P image
Immunohistochemistry: Human esophageal squamous carcinoma stained with ARG44435 anti-JOSD2 / Josephin2 antibody at 2 μg/mL dilution.
-
ARG44435 anti-JOSD2 / Josephin2 antibody WB image
Western blot: A549, PC-3 and MCF-7 stained with ARG44435 anti-JOSD2 / Josephin2 antibody at 0.5 μg/mL dilution.
-
ARG44435 anti-JOSD2 / Josephin2 antibody FACS image
Flow Cytometry: HEL stained with ARG44435 anti-JOSD2 / Josephin2 antibody at 1 μg/10^6 cells dilution.
-
ARG44435 anti-JOSD2 / Josephin2 antibody WB image
Western blot: Rat liver stained with ARG44435 anti-JOSD2 / Josephin2 antibody at 0.5 μg/mL dilution.
-
ARG44435 anti-JOSD2 / Josephin2 antibody WB image
Western blot: Mouse liver stained with ARG44435 anti-JOSD2 / Josephin2 antibody at 0.5 μg/mL dilution.
