ARG67280
anti-JAK2 + JAK3 phospho (Tyr966 / Tyr939) antibody
anti-JAK2 + JAK3 phospho (Tyr966 / Tyr939) antibody for IHC-Formalin-fixed paraffin-embedded sections,Western blot and Human,Mouse,Rat
概述
| 产品描述 | Rabbit Polyclonal antibody recognizes JAK2 + JAK3 phospho (Tyr966 / Tyr939) |
|---|---|
| 反应物种 | Hu, Ms, Rat |
| 应用 | IHC-P, WB |
| 宿主 | Rabbit |
| 克隆 | Polyclonal |
| 同位型 | IgG |
| 靶点名称 | JAK2 + JAK3 |
| 抗原物种 | Human |
| 偶联标记 | Un-conjugated |
| 別名 | Janus kinase 2; JAK-2; JTK10; Tyrosine-protein kinase JAK2; THCYT3; EC 2.7.10.2; JAK3; Janus Kinase 3; L-JAK; JAK-3; Tyrosine-Protein Kinase JAK3; Leukocyte Janus Kinase; JAK3_HUMAN; JAKL; LJAK; EC 2.7.10.2; Janus Kinase 3 (A Protein Tyrosine Kinase, Leukocyte); EC 2.7.10 |
应用说明
| 应用建议 |
|
||||||
|---|---|---|---|---|---|---|---|
| 应用说明 | * The dilutions indicate recommended starting dilutions and the optimal dilutions or concentrations should be determined by the scientist. |
属性
| 形式 | Liquid |
|---|---|
| 纯化 | Affinity chromatography purified |
| 缓冲液 | PBS, 0.02% Sodium azide, 50% Glycerol and 0.5% BSA. |
| 抗菌剂 | 0.02% Sodium azide |
| 稳定剂 | 50% Glycerol and 0.5% BSA |
| 浓度 | 1 mg/ml |
| 存放说明 | For continuous use, store undiluted antibody at 2-8°C for up to a week. For long-term storage, aliquot and store at -20°C or below. Storage in frost free freezers is not recommended. Avoid repeated freeze/thaw cycles. Suggest spin the vial prior to opening. The antibody solution should be gently mixed before use. |
| 注意事项 | For laboratory research only, not for drug, diagnostic or other use. |
生物信息
| 基因名称 | JAK2; JAK3 |
|---|---|
| 全名 | Janus kinase 2; Janus kinase 3 |
| 背景介绍 | JAK2: This gene product is a protein tyrosine kinase involved in a specific subset of cytokine receptor signaling pathways. It has been found to be constituitively associated with the prolactin receptor and is required for responses to gamma interferon. Mice that do not express an active protein for this gene exhibit embryonic lethality associated with the absence of definitive erythropoiesis. [provided by RefSeq, Jul 2008] JAK3: The protein encoded by this gene is a member of the Janus kinase (JAK) family of tyrosine kinases involved in cytokine receptor-mediated intracellular signal transduction. It is predominantly expressed in immune cells and transduces a signal in response to its activation via tyrosine phosphorylation by interleukin receptors. Mutations in this gene are associated with autosomal SCID (severe combined immunodeficiency disease). [provided by RefSeq, Jul 2008] |
| 生物功能 | JAK2: Non-receptor tyrosine kinase involved in various processes such as cell growth, development, differentiation or histone modifications. Mediates essential signaling events in both innate and adaptive immunity. In the cytoplasm, plays a pivotal role in signal transduction via its association with type I receptors such as growth hormone (GHR), prolactin (PRLR), leptin (LEPR), erythropoietin (EPOR), thrombopoietin (THPO); or type II receptors including IFN-alpha, IFN-beta, IFN-gamma and multiple interleukins. Following ligand-binding to cell surface receptors, phosphorylates specific tyrosine residues on the cytoplasmic tails of the receptor, creating docking sites for STATs proteins. Subsequently, phosphorylates the STATs proteins once they are recruited to the receptor. Phosphorylated STATs then form homodimer or heterodimers and translocate to the nucleus to activate gene transcription. For example, cell stimulation with erythropoietin (EPO) during erythropoiesis leads to JAK2 autophosphorylation, activation, and its association with erythropoietin receptor (EPOR) that becomes phosphorylated in its cytoplasmic domain. Then, STAT5 (STAT5A or STAT5B) is recruited, phosphorylated and activated by JAK2. Once activated, dimerized STAT5 translocates into the nucleus and promotes the transcription of several essential genes involved in the modulation of erythropoiesis. In addition, JAK2 mediates angiotensin-2-induced ARHGEF1 phosphorylation. Plays a role in cell cycle by phosphorylating CDKN1B. Cooperates with TEC through reciprocal phosphorylation to mediate cytokine-driven activation of FOS transcription. In the nucleus, plays a key role in chromatin by specifically mediating phosphorylation of 'Tyr-41' of histone H3 (H3Y41ph), a specific tag that promotes exclusion of CBX5 (HP1 alpha) from chromatin. [UniProt] JAK3: Non-receptor tyrosine kinase involved in various processes such as cell growth, development, or differentiation. Mediates essential signaling events in both innate and adaptive immunity and plays a crucial role in hematopoiesis during T-cells development. In the cytoplasm, plays a pivotal role in signal transduction via its association with type I receptors sharing the common subunit gamma such as IL2R, IL4R, IL7R, IL9R, IL15R and IL21R. Following ligand binding to cell surface receptors, phosphorylates specific tyrosine residues on the cytoplasmic tails of the receptor, creating docking sites for STATs proteins. Subsequently, phosphorylates the STATs proteins once they are recruited to the receptor. Phosphorylated STATs then form homodimer or heterodimers and translocate to the nucleus to activate gene transcription. For example, upon IL2R activation by IL2, JAK1 and JAK3 molecules bind to IL2R beta (IL2RB) and gamma chain (IL2RG) subunits inducing the tyrosine phosphorylation of both receptor subunits on their cytoplasmic domain. Then, STAT5A AND STAT5B are recruited, phosphorylated and activated by JAK1 and JAK3. Once activated, dimerized STAT5 translocates to the nucleus and promotes the transcription of specific target genes in a cytokine-specific fashion. [UniProt] |
| 细胞定位 | JAK2: Endomembrane system; Peripheral membrane protein. Cytoplasm. Nucleus. [UniProt] JAK3: Endomembrane system; Peripheral membrane protein. Cytoplasm. [UniProt] |
| 翻译后修饰 | JAK2: Autophosphorylated, leading to regulate its activity. Leptin promotes phosphorylation on tyrosine residues, including phosphorylation on Tyr-813 (By similarity). Autophosphorylation on Tyr-119 in response to EPO down-regulates its kinase activity (By similarity). Autophosphorylation on Tyr-868, Tyr-966 and Tyr-972 in response to growth hormone (GH) are required for maximal kinase activity (By similarity). Also phosphorylated by TEC (By similarity). Phosphorylated on tyrosine residues in response to interferon gamma signaling (PubMed:7615558, PubMed:7673114). [UniProt] JAK3: Tyrosine phosphorylated in response to IL-2 and IL-4. Dephosphorylation of Tyr-980 and Tyr-981 by PTPN2 negatively regulates cytokine-mediated signaling (Probable). [UniProt] |
检测图片 (3) Click the Picture to Zoom In
-
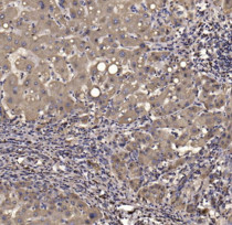
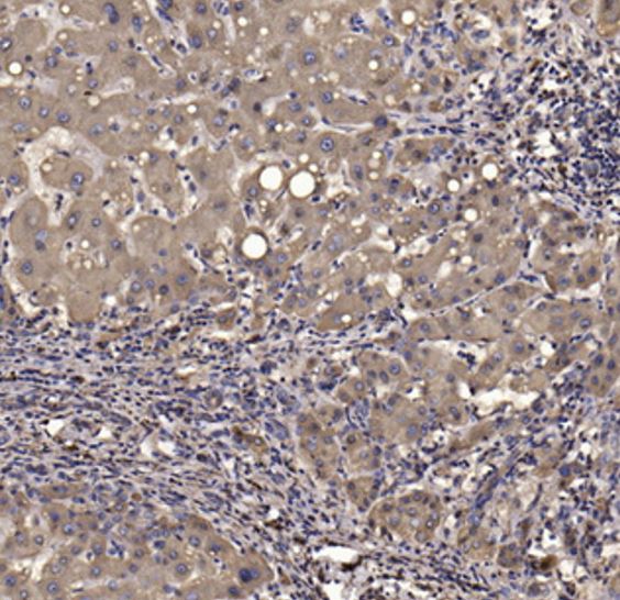
ARG67280 anti-JAK2 + JAK3 phospho (Tyr966 / Tyr939) antibody IHC-P image
Immunohistochemistry: Human liver cancer stained with ARG67280 anti-JAK2 + JAK3 phospho (Tyr966 / Tyr939) antibody at 1:200 dilution.
-
ARG67280 anti-JAK2 + JAK3 phospho (Tyr966 / Tyr939) antibody WB image
Western blot: Hela stained with ARG67280 anti-JAK2 + JAK3 phospho (Tyr966 / Tyr939) antibody at 1:1000 dilution.
-
ARG67280 anti-JAK2 + JAK3 phospho (Tyr966 / Tyr939) antibody WB image
Western blot: Mouse liver stained with ARG67280 anti-JAK2 + JAK3 phospho (Tyr966 / Tyr939) antibody at 1:1000 dilution.
