ARG66663
anti-JAK1 antibody
anti-JAK1 antibody for IHC-Formalin-fixed paraffin-embedded sections,Western blot and Human,Mouse,Rat
概述
| 产品描述 | Rabbit Polyclonal antibody recognizes JAK1 |
|---|---|
| 反应物种 | Hu, Ms, Rat |
| 应用 | IHC-P, WB |
| 宿主 | Rabbit |
| 克隆 | Polyclonal |
| 同位型 | IgG |
| 靶点名称 | JAK1 |
| 抗原物种 | Human |
| 抗原 | Synthetic peptide corresponding to aa. 988-1037 of Human JAK1. |
| 偶联标记 | Un-conjugated |
| 別名 | JTK3; Janus kinase 1; JAK-1; Tyrosine-protein kinase JAK1; JAK1A; JAK1B; EC 2.7.10.2 |
应用说明
| 应用建议 |
|
||||||
|---|---|---|---|---|---|---|---|
| 应用说明 | IHC-P: Antigen Retrieval: Heat mediation was performed in Sodium citrate buffer (pH 6.0) for 20 min. * The dilutions indicate recommended starting dilutions and the optimal dilutions or concentrations should be determined by the scientist. |
||||||
| 实际分子量 | ~ 130 kDa |
属性
| 形式 | Liquid |
|---|---|
| 纯化 | Affinity purification with immunogen. |
| 缓冲液 | PBS, 0.02% Sodium azide, 50% Glycerol and 0.5% BSA. |
| 抗菌剂 | 0.02% Sodium azide |
| 稳定剂 | 50% Glycerol and 0.5% BSA |
| 浓度 | 1 mg/ml |
| 存放说明 | For continuous use, store undiluted antibody at 2-8°C for up to a week. For long-term storage, aliquot and store at -20°C. Storage in frost free freezers is not recommended. Avoid repeated freeze/thaw cycles. Suggest spin the vial prior to opening. The antibody solution should be gently mixed before use. |
| 注意事项 | For laboratory research only, not for drug, diagnostic or other use. |
生物信息
| 数据库连接 | |
|---|---|
| 基因名称 | JAK1 |
| 全名 | Janus kinase 1 |
| 背景介绍 | Janus kinase 1 (JAK1), is a member of a new class of protein-tyrosine kinases (PTK) characterized by the presence of a second phosphotransferase-related domain immediately N-terminal to the PTK domain. The second phosphotransferase domain bears all the hallmarks of a protein kinase, although its structure differs significantly from that of the PTK and threonine/serine kinase family members. JAK1 is a large, widely expressed membrane-associated phosphoprotein. JAK1 is involved in the interferon-alpha/beta and -gamma signal transduction pathways. The reciprocal interdependence between JAK1 and TYK2 activities in the interferon-alpha pathway, and between JAK1 and JAK2 in the interferon-gamma pathway, may reflect a requirement for these kinases in the correct assembly of interferon receptor complexes. These kinases couple cytokine ligand binding to tyrosine phosphorylation of various known signaling proteins and of a unique family of transcription factors termed the signal transducers and activators of transcription, or STATs. [provided by RefSeq, Jul 2008] |
| 生物功能 | Tyrosine kinase of the non-receptor type, involved in the IFN-alpha/beta/gamma signal pathway. Kinase partner for the interleukin (IL)-2 receptor. [UniProt] |
| 细胞定位 | Endomembrane system; Peripheral membrane protein. Note=Wholly intracellular, possibly membrane associated. [UniProt] |
| 预测分子量 | 133 kDa |
| 翻译后修饰 | Autophosphorylated (PubMed:7615558). Phosphorylated on tyrosine residues in response to interferon gamma signaling (PubMed:7615558). Dephosphorylation of Tyr-1034 and Tyr-1035 by PTPN2 negatively regulates cytokine-mediated signaling (PubMed:11909529). Ubiquitinated by RNF125; leading to its degradation by the proteasome. [UniProt] |
检测图片 (4) Click the Picture to Zoom In
-
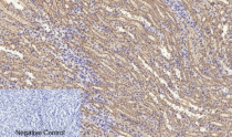
ARG66663 anti-JAK1 antibody IHC-P image
Immunohistochemistry: Paraffin-embedded Mouse kidney tissue. Antigen Retrieval: Heat mediation was performed in Sodium citrate buffer (pH 6.0) for 20 min. The tissue section was stained with ARG66663 anti-JAK1 antibody at 1:200 dilution, overnight at 4°C. Negative control was used by secondary antibody only.
-
ARG66663 anti-JAK1 antibody WB image
Western blot: A549 cell lysate stained with ARG66663 anti-JAK1 antibody at 1:1000 dilution.
-
ARG66663 anti-JAK1 antibody IHC image
Immunohistochemistry: Rat lung tissue stained with ARG66663 anti-JAK1 antibody (orange-red) at 1:200 dilution, overnight at 4°C. DAPI (blue) for nuclear staining.
-
ARG66663 anti-JAK1 antibody WB image
Western blot: 293T, AD293 and HeLa cell lysates stained with ARG66663 anti-JAK1 antibody at 1:1000 dilution.
