ARG45767
anti-Integrin beta 5 antibody
anti-Integrin beta 5 antibody for Flow cytometry,ICC/IF,IHC-Formalin-fixed paraffin-embedded sections,Western blot and Human,Mouse
概述
| 产品描述 | Rabbit Polyclonal antibody recognizes Integrin beta 5 |
|---|---|
| 反应物种 | Hu, Ms |
| 应用 | FACS, ICC/IF, IHC-P, WB |
| 宿主 | Rabbit |
| 克隆 | Polyclonal |
| 同位型 | IgG |
| 靶点名称 | Integrin beta 5 |
| 抗原物种 | Human |
| 抗原 | Recombinant protein containing to human Integrin beta 5. |
| 偶联标记 | Un-conjugated |
| 別名 | ITGB5; integrin, beta 5; Integrin beta-5 |
应用说明
| 应用建议 |
|
||||||||||
|---|---|---|---|---|---|---|---|---|---|---|---|
| 应用说明 | * The dilutions indicate recommended starting dilutions and the optimal dilutions or concentrations should be determined by the scientist. | ||||||||||
| 实际分子量 | 90 kDa |
属性
| 形式 | Liquid |
|---|---|
| 纯化 | Affinity purified |
| 缓冲液 | 0.9% NaCl, 0.2% Na2HPO4, 0.01% Sodium azide and 4% Trehalose. |
| 抗菌剂 | 0.01% Sodium azide |
| 稳定剂 | 4% Trehalose |
| 浓度 | 0.5 mg/ml |
| 存放说明 | For continuous use, store undiluted antibody at 2-8°C for up to a week. For long-term storage, aliquot and store at -20°C or below. Storage in frost free freezers is not recommended. Avoid repeated freeze/thaw cycles. Suggest spin the vial prior to opening. The antibody solution should be gently mixed before use. |
| 注意事项 | For laboratory research only, not for drug, diagnostic or other use. |
生物信息
| 数据库连接 | |
|---|---|
| 基因名称 | ITGB5 |
| 全名 | integrin, beta 5 |
| 背景介绍 | This gene encodes a beta subunit of integrin, which can combine with different alpha chains to form a variety of integrin heterodimers. Integrins are integral cell-surface receptors that participate in cell adhesion as well as cell-surface mediated signaling. The alphav beta5 integrin is involved in adhesion to vitronectin. [provided by RefSeq, Aug 2017] |
| 生物功能 | Integrin alpha-V/beta-5 (ITGAV:ITGB5) is a receptor for fibronectin. It recognizes the sequence R-G-D in its ligand. [UniProt] |
| 细胞定位 | Cell membrane. [UniProt] |
| 预测分子量 | 88 kDa |
| 翻译后修饰 | Disulfide bond; Glycoprotein; Phosphoprotein. [UniProt] |
检测图片 (5) Click the Picture to Zoom In
-
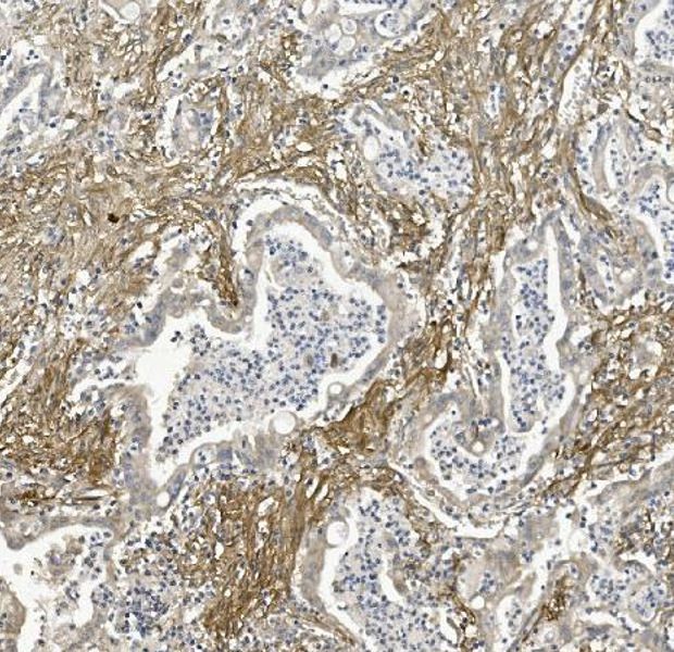
ARG45767 anti-Integrin beta 5 antibody IHC-P image
Immunohistochemistry: Human rectal cancer stained with ARG45767 anti-Integrin beta 5 antibody at 1 μg/ml dilution.
-
ARG45767 anti-Integrin beta 5 antibody ICC/IF image
Immunofluorescence: A431 stained with ARG45767 anti-Integrin beta 5 antibody at 5 μg/ml dilution.
-
ARG45767 anti-Integrin beta 5 antibody WB image
Western blot: A549 stained with ARG45767 anti-Integrin beta 5 antibody at 0.5 μg/ml dilution.
-
ARG45767 anti-Integrin beta 5 antibody FACS image
Flow Cytometry: A549 stained with ARG45767 anti-Integrin beta 5 antibody at 1 µg/10^6 cells dilution.
-
ARG45767 anti-Integrin beta 5 antibody WB image
Western blot: Ana-1 stained with ARG45767 anti-Integrin beta 5 antibody at 0.5 μg/ml dilution.
