ARG10632
anti-Influenza B Haemagglutinin antibody [InB190]
anti-Influenza B Haemagglutinin antibody [InB190] for ELISA,Indirect ELISA,Western blot and Influenza B virus
概述
| 产品描述 | Mouse Monoclonal antibody [InB190] recognizes Influenza B Haemagglutinin |
|---|---|
| 反应物种 | Influenza B virus |
| 应用 | ELISA, I-ELISA, WB |
| 特异性 | Influenza B haemagglutinin 2 |
| 宿主 | Mouse |
| 克隆 | Monoclonal |
| 克隆号 | InB190 |
| 同位型 | IgG2b |
| 靶点名称 | Influenza B Haemagglutinin |
| 抗原物种 | Virus |
| 抗原 | Influenza B haemagglutinin 2. |
| 偶联标记 | Un-conjugated |
应用说明
| 应用建议 |
|
||||||||
|---|---|---|---|---|---|---|---|---|---|
| 应用说明 | * The dilutions indicate recommended starting dilutions and the optimal dilutions or concentrations should be determined by the scientist. |
属性
| 形式 | Liquid |
|---|---|
| 纯化 | Purification with Protein A. |
| 缓冲液 | PBS (pH 7.4) and 0.1% Sodium azide |
| 抗菌剂 | 0.1% Sodium azide |
| 存放说明 | For continuous use, store undiluted antibody at 2-8°C for up to a week. For long-term storage, aliquot and store at -20°C or below. Storage in frost free freezers is not recommended. Avoid repeated freeze/thaw cycles. Suggest spin the vial prior to opening. The antibody solution should be gently mixed before use. |
| 注意事项 | For laboratory research only, not for drug, diagnostic or other use. |
生物信息
| 基因名称 | HA |
|---|---|
| 全名 | Haemagglutinin |
检测图片 (2) Click the Picture to Zoom In
-
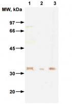
ARG10632 anti-Influenza B Haemagglutinin antibody [InB190] WB image
Western blot: Influenza B HA2 immunodetection. 1 µg of 1) Influenza B/Tokio/53/99, 2) Influenza B/Leningrad/86/93, and 3) Influenza B/Victoria/504/00 stained with ARG10632 anti-Influenza B Haemagglutinin antibody [InB190] at 3 µg/ml dilution.
-
ARG10632 anti-Influenza B Haemagglutinin antibody [InB190] I-ELISA image
Indirect ELISA: Titration curves of ARG10632 anti-Influenza B Haemagglutinin antibody [InB190] specific to HA of Influenza B virus. Antigens (0.5 µg/well): Influenza B/Tokyo/53/99, Influenza B/Leningrad/86/93, Influenza B/Victoria/504/00, Influenza A: mixture of two strains - A/Shangdong/9/93 and A/New Caledonia/20/99.
