ARG45782
anti-IVNS1ABP antibody
anti-IVNS1ABP antibody for Flow cytometry,ICC/IF,IHC-Formalin-fixed paraffin-embedded sections,Western blot and Human,Mouse,Rat
概述
| 产品描述 | Rabbit Polyclonal antibody recognizes IVNS1ABP |
|---|---|
| 反应物种 | Hu, Ms, Rat |
| 应用 | FACS, ICC/IF, IHC-P, WB |
| 宿主 | Rabbit |
| 克隆 | Polyclonal |
| 同位型 | IgG |
| 靶点名称 | IVNS1ABP |
| 抗原物种 | Human |
| 抗原 | Recombinant protein containing to human IVNS1ABP. |
| 偶联标记 | Un-conjugated |
| 別名 | IVNS1ABP; Influenza Virus NS1A Binding Protein; NS1-BP; KLHL39; ARA3; Aryl Hydrocarbon Receptor-Associated Protein 3; KIAA0850; HSPC068; NS-1; ND1; Influenza Virus NS1A-Binding Protein; Kelch-Like Family Member 39; Kelch-Like Protein 39; NS1-Binding Protein; FLARA3; NS1BP; Aryl Hydrocarbon Receptor-Associated 3; NCX Downstream Gene 1; IMD70; NS1 |
应用说明
| 应用建议 |
|
||||||||||
|---|---|---|---|---|---|---|---|---|---|---|---|
| 应用说明 | * The dilutions indicate recommended starting dilutions and the optimal dilutions or concentrations should be determined by the scientist. | ||||||||||
| 实际分子量 | 72 kDa |
属性
| 形式 | Liquid |
|---|---|
| 纯化 | Affinity purified |
| 缓冲液 | 0.2% Na2HPO4, 0.9% NaCl and 4% Trehalose. |
| 稳定剂 | 4% Trehalose |
| 浓度 | 0.5 mg/ml |
| 存放说明 | For continuous use, store undiluted antibody at 2-8°C for up to a week. For long-term storage, aliquot and store at -20°C or below. Storage in frost free freezers is not recommended. Avoid repeated freeze/thaw cycles. Suggest spin the vial prior to opening. The antibody solution should be gently mixed before use. |
| 注意事项 | For laboratory research only, not for drug, diagnostic or other use. |
生物信息
| 数据库连接 |
Swiss-port # Q920Q8 Mouse Influenza virus NS1A-binding protein homolog Swiss-port # Q9Y6Y0 Human Influenza virus NS1A-binding protein |
|---|---|
| 基因名称 | IVNS1ABP |
| 全名 | Influenza Virus NS1A Binding Protein |
| 背景介绍 | Predicted to enable ubiquitin-like ligase-substrate adaptor activity. Involved in RNA splicing; negative regulation of protein ubiquitination; and response to virus. Located in cytosol. Implicated in immunodeficiency 70. [provided by Alliance of Genome Resources, Feb 2025] |
| 生物功能 | Involved in many cell functions, including pre-mRNA splicing, the aryl hydrocarbon receptor (AHR) pathway, F-actin organization and protein ubiquitination. Plays a role in the dynamic organization of the actin skeleton as a stabilizer of actin filaments by association with F-actin through Kelch repeats (By similarity). Protects cells from cell death induced by actin destabilization (By similarity). Functions as modifier of the AHR/Aryl hydrocarbon receptor pathway increasing the concentration of AHR available to activate transcription. [UniProt] |
| 细胞定位 | Cytoplasm; Cytoskeleton; Nucleus. [UniProt] |
| 预测分子量 | 72 kDa |
| 翻译后修饰 | Phosphoprotein |
检测图片 (6) Click the Picture to Zoom In
-
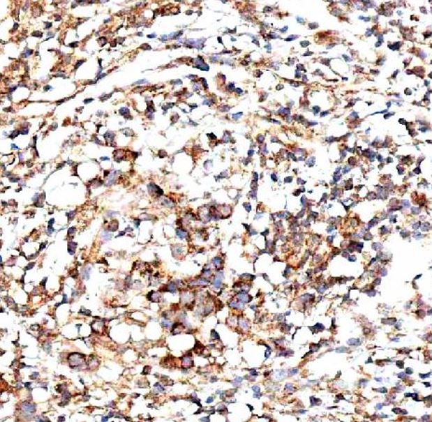
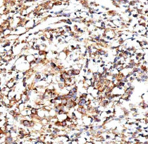
ARG45782 anti-IVNS1ABP antibody IHC-P image
Immunohistochemistry: Human ovarian cancer stained with ARG45782 anti-IVNS1ABP antibody at 2 μg/ml dilution.
-
ARG45782 anti-IVNS1ABP antibody ICC/IF image
Immunofluorescence: A549 stained with ARG45782 anti-IVNS1ABP antibody at 5 μg/ml dilution.
-
ARG45782 anti-IVNS1ABP antibody WB image
Western blot: SH-SY5Y stained with ARG45782 anti-IVNS1ABP antibody at 0.5 μg/ml dilution.
-
ARG45782 anti-IVNS1ABP antibody FACS image
Flow Cytometry: Hela stained with ARG45782 anti-IVNS1ABP antibody at 1 µg/10^6 cells dilution.
-
ARG45782 anti-IVNS1ABP antibody WB image
Western blot: Rat kidney stained with ARG45782 anti-IVNS1ABP antibody at 0.5 μg/ml dilution.
-
ARG45782 anti-IVNS1ABP antibody WB image
Western blot: Mouse kidney stained with ARG45782 anti-IVNS1ABP antibody at 0.5 μg/ml dilution.
