ARG44384
anti-ITGB3BP antibody
anti-ITGB3BP antibody for IHC-Formalin-fixed paraffin-embedded sections and Human,Mouse,Rat
概述
| 产品描述 | Rabbit Polyclonal antibody recognizes ITGB3BP |
|---|---|
| 反应物种 | Hu, Ms, Rat |
| 应用 | IHC-P |
| 宿主 | Rabbit |
| 克隆 | Polyclonal |
| 同位型 | IgG |
| 靶点名称 | ITGB3BP |
| 抗原物种 | Human |
| 抗原 | Recombinant fusion protein containing a sequence corresponding to amino acids 1-111 of human ITGB3BP |
| 偶联标记 | Un-conjugated |
| 別名 | ITGB3BP; Integrin Subunit Beta 3 Binding Protein; NRIF3; CENPR; Centromere Protein R; HSU37139; TAP20; Integrin Beta 3 Binding Protein (Beta3-Endonexin); Nuclear Receptor-Interacting Factor 3; Integrin Beta-3-Binding Protein; Beta3-Endonexin; CENP-R; Beta 3 Endonexin |
应用说明
| 应用建议 |
|
||||
|---|---|---|---|---|---|
| 应用说明 | * The dilutions indicate recommended starting dilutions and the optimal dilutions or concentrations should be determined by the scientist. |
属性
| 形式 | Liquid |
|---|---|
| 纯化 | Affinity purified. |
| 缓冲液 | PBS (pH 7.3), 0.01% Thimerosal and 50% Glycerol. |
| 抗菌剂 | 0.01% Thimerosal |
| 稳定剂 | 50% Glycerol |
| 存放说明 | For continuous use, store undiluted antibody at 2-8°C for up to a week. For long-term storage, aliquot and store at -20°C. Storage in frost free freezers is not recommended. Avoid repeated freeze/thaw cycles. Suggest spin the vial prior to opening. The antibody solution should be gently mixed before use. |
| 注意事项 | For laboratory research only, not for drug, diagnostic or other use. |
生物信息
| 数据库连接 | |
|---|---|
| 基因名称 | ITGB3BP |
| 全名 | Integrin Subunit Beta 3 Binding Protein |
| 背景介绍 | This gene encodes a transcriptional coregulator that binds to and enhances the activity of members of the nuclear receptor families, thyroid hormone receptors and retinoid X receptors. This protein also acts as a corepressor of NF-kappaB-dependent signaling. This protein induces apoptosis in breast cancer cells through a caspase 2-mediated signaling pathway. This protein is also a component of the centromere-specific histone H3 variant nucleosome associated complex (CENP-NAC) and may be involved in mitotic progression by recruiting the histone H3 variant CENP-A to the centromere. Alternate splicing results in multiple transcript variants. |
| 生物功能 | Transcription coregulator that can have both coactivator and corepressor functions. Isoform 1, but not other isoforms, is involved in the coactivation of nuclear receptors for retinoid X (RXRs) and thyroid hormone (TRs) in a ligand-dependent fashion. In contrast, it does not coactivate nuclear receptors for retinoic acid, vitamin D, progesterone receptor, nor glucocorticoid. Acts as a coactivator for estrogen receptor alpha. Acts as a transcriptional corepressor via its interaction with the NFKB1 NF-kappa-B subunit, possibly by interfering with the transactivation domain of NFKB1. Induces apoptosis in breast cancer cells, but not in other cancer cells, via a caspase-2 mediated pathway that involves mitochondrial membrane permeabilization but does not require other caspases. May also act as an inhibitor of cyclin A-associated kinase. Also acts a component of the CENPA-CAD (nucleosome distal) complex, a complex recruited to centromeres which is involved in assembly of kinetochore proteins, mitotic progression and chromosome segregation. May be involved in incorporation of newly synthesized CENPA into centromeres via its interaction with the CENPA-NAC complex. |
| 细胞定位 | Centromere, Chromosome, Cytoplasm, Kinetochore, Nucleus |
| 预测分子量 | 20 kDa |
| 翻译后修饰 | Isopeptide bond, Phosphoprotein, Ubl conjugation |
检测图片 (4) Click the Picture to Zoom In
-
ARG44384 anti-ITGB3BP antibody IHC-P image
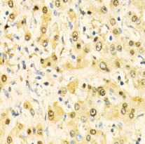
Immunohistochemistry: Human liver stained with ARG44384 anti-ITGB3BP antibody at 1:100 dilution.
-
ARG44384 anti-ITGB3BP antibody IHC-P image
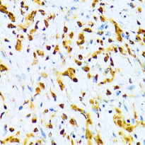
Immunohistochemistry: Human gastric cancer stained with ARG44384 anti-ITGB3BP antibody at 1:100 dilution.
-
ARG44384 anti-ITGB3BP antibody IHC-P image
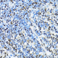
Immunohistochemistry: Mouse brain stained with ARG44384 anti-ITGB3BP antibody at 1:100 dilution.
-
ARG44384 anti-ITGB3BP antibody IHC-P image
Immunohistochemistry: Human appendix stained with ARG44384 anti-ITGB3BP antibody at 1:100 dilution.
