ARG57515
anti-IRF7 antibody
anti-IRF7 antibody for ICC/IF,IHC-Formalin-fixed paraffin-embedded sections,Western blot and Human,Mouse
概述
| 产品描述 | Rabbit Polyclonal antibody recognizes IRF7 |
|---|---|
| 反应物种 | Hu, Ms |
| 预测物种 | Rat |
| 应用 | ICC/IF, IHC-P, WB |
| 宿主 | Rabbit |
| 克隆 | Polyclonal |
| 同位型 | IgG |
| 靶点名称 | IRF7 |
| 抗原物种 | Human |
| 抗原 | Synthetic peptide (14 aa) within aa. 420-470 of Human IRF7. |
| 偶联标记 | Un-conjugated |
| 別名 | IRF7A; IRF-7H; IRF7C; IRF7B; IRF7H; Interferon regulatory factor 7; IRF-7; IMD39 |
应用说明
| 应用建议 |
|
||||||||
|---|---|---|---|---|---|---|---|---|---|
| 应用说明 | * The dilutions indicate recommended starting dilutions and the optimal dilutions or concentrations should be determined by the scientist. | ||||||||
| 阳性对照 | 293 cell lysate. |
属性
| 形式 | Liquid |
|---|---|
| 纯化 | Affinity purification with immunogen. |
| 缓冲液 | PBS and 0.02% Sodium azide. |
| 抗菌剂 | 0.02% Sodium azide |
| 浓度 | 1 mg/ml |
| 存放说明 | For continuous use, store undiluted antibody at 2-8°C for up to a week. For long-term storage, aliquot and store at -20°C or below. Storage in frost free freezers is not recommended. Avoid repeated freeze/thaw cycles. Suggest spin the vial prior to opening. The antibody solution should be gently mixed before use. |
| 注意事项 | For laboratory research only, not for drug, diagnostic or other use. |
生物信息
| 数据库连接 | |
|---|---|
| 基因名称 | IRF7 |
| 全名 | interferon regulatory factor 7 |
| 背景介绍 | IRF7 encodes interferon regulatory factor 7, a member of the interferon regulatory transcription factor (IRF) family. IRF7 has been shown to play a role in the transcriptional activation of virus-inducible cellular genes, including interferon beta chain genes. Inducible expression of IRF7 is largely restricted to lymphoid tissue. Multiple IRF7 transcript variants have been identified, although the functional consequences of these have not yet been established. [provided by RefSeq, Jul 2008] |
| 生物功能 | Key transcriptional regulator of type I interferon (IFN)-dependent immune responses and plays a critical role in the innate immune response against DNA and RNA viruses. Regulates the transcription of type I IFN genes (IFN-alpha and IFN-beta) and IFN-stimulated genes (ISG) by binding to an interferon-stimulated response element (ISRE) in their promoters. Can efficiently activate both the IFN-beta (IFNB) and the IFN-alpha (IFNA) genes and mediate their induction via both the virus-activated, MyD88-independent pathway and the TLR-activated, MyD88-dependent pathway. Required during both the early and late phases of the IFN gene induction but is more critical for the late than for the early phase. Exists in an inactive form in the cytoplasm of uninfected cells and following viral infection, double-stranded RNA (dsRNA), or toll-like receptor (TLR) signaling, becomes phosphorylated by IKBKE and TBK1 kinases. This induces a conformational change, leading to its dimerization and nuclear localization where along with other coactivators it can activate transcription of the type I IFN and ISG genes. Can also play a role in regulating adaptive immune responses by inducing PSMB9/LMP2 expression, either directly or through induction of IRF1. Binds to the Q promoter (Qp) of EBV nuclear antigen 1 a (EBNA1) and may play a role in the regulation of EBV latency. Can activate distinct gene expression programs in macrophages and regulate the anti-tumor properties of primary macrophages. [UniProt] |
| 预测分子量 | 54 kDa |
| 翻译后修饰 | Acetylation inhibits its DNA-binding ability and activity. In response to a viral infection, phosphorylated on Ser-477 and Ser-479 by TBK1 and IKBKE1. Phosphorylation, and subsequent activation is inhibited by vaccinia virus protein E3. In TLR7- and TLR9-mediated signaling pathway, phosphorylated by IRAK1. TRAF6-mediated ubiquitination is required for IRF7 activation. Sumoylated by TRIM28, which inhibits its transactivation activity. [UniProt] |
检测图片 (3) Click the Picture to Zoom In
-
ARG57515 anti-IRF7 antibody ICC/IF image
Immunofluorescence: Mouse spleen cells stained with ARG57515 anti-IRF7 antibody at 20 µg/ml.
-
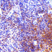
ARG57515 anti-IRF7 antibody IHC-P image
Immunohistochemistry: Mouse spleen tissue stained with ARG57515 anti-IRF7 antibody at 5 µg/ml dilution.
-
ARG57515 anti-IRF7 antibody WB image
Western blot: 293 whole cell lysate stained with ARG57515 anti-IRF7 antibody at 0.5, 1, and 2 µg/ml.
