ARG63443
anti-IRF6 antibody
anti-IRF6 antibody for IHC-Formalin-fixed paraffin-embedded sections,Western blot and Human
Developmental Biology antibody; Gene Regulation antibody; Immune System antibody
概述
| 产品描述 | Goat Polyclonal antibody recognizes IRF6 |
|---|---|
| 反应物种 | Hu |
| 应用 | IHC-P, WB |
| 宿主 | Goat |
| 克隆 | Polyclonal |
| 同位型 | IgG |
| 靶点名称 | IRF6 |
| 抗原物种 | Human |
| 抗原 | C-TPSMQLPPALPPQ |
| 偶联标记 | Un-conjugated |
| 別名 | Interferon regulatory factor 6; PPS1; LPS; VWS; PPS; VWS1; OFC6; PIT; IRF-6 |
应用说明
| 应用建议 |
|
||||||
|---|---|---|---|---|---|---|---|
| 应用说明 | WB: Recommend incubate at RT for 1h. IHC-P: Antigen Retrieval: Steam tissue section in Citrate buffer (pH 6.0). * The dilutions indicate recommended starting dilutions and the optimal dilutions or concentrations should be determined by the scientist. |
属性
| 形式 | Liquid |
|---|---|
| 纯化 | Purified from goat serum by antigen affinity chromatography. |
| 缓冲液 | Tris saline (pH 7.3), 0.02% Sodium azide and 0.5% BSA. |
| 抗菌剂 | 0.02% Sodium azide |
| 稳定剂 | 0.5% BSA |
| 浓度 | 0.5 mg/ml |
| 存放说明 | For continuous use, store undiluted antibody at 2-8°C for up to a week. For long-term storage, aliquot and store at -20°C or below. Storage in frost free freezers is not recommended. Avoid repeated freeze/thaw cycles. Suggest spin the vial prior to opening. The antibody solution should be gently mixed before use. |
| 注意事项 | For laboratory research only, not for drug, diagnostic or other use. |
生物信息
| 数据库连接 | |
|---|---|
| 背景介绍 | This gene encodes a member of the interferon regulatory transcription factor (IRF) family. Family members share a highly-conserved N-terminal helix-turn-helix DNA-binding domain and a less conserved C-terminal protein-binding domain. The encoded protein may be a transcriptional activator. Mutations in this gene can cause van der Woude syndrome and popliteal pterygium syndrome. Mutations in this gene are also associated with non-syndromic orofacial cleft type 6. Alternate splicing results in multiple transcript variants.[provided by RefSeq, May 2011] |
| 研究领域 | Developmental Biology antibody; Gene Regulation antibody; Immune System antibody |
| 预测分子量 | 53 kDa |
| 翻译后修饰 | Phosphorylated. Phosphorylation status depends on the cell cycle and is a signal for ubiquitination and proteasome-mediated degradation. |
检测图片 (4) Click the Picture to Zoom In
-
ARG63443 anti-IRF6 antibody WB image
Western Blot: Human Ovary lysate (RIPA buffer, 35 µg total protein per lane) stained with ARG63443 anti-IRF6 antibody at 0.2 µg/ml dilution.
-
ARG63443 anti-IRF6 antibody WB image
Western Blot: 1). Mock transfection; 2) IRF6 (RC201579) expressing plasmid transfected HEK293 cell lysate standed with ARG63443 anti-IRF6 antibody
-
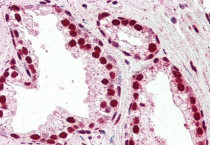
ARG63443 anti-IRF6 antibody IHC-P image
Immunohistochemistry: Paraffin-embedded Human prostate tissue. Antigen Retrieval: Steam tissue section in Citrate buffer (pH 6.0). The tissue section was stained with ARG63443 anti-IRF6 antibody at 5 µg/ml dilution followed by AP-staining.
-
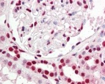
ARG63443 anti-IRF6 antibody IHC-P image
Immunohistochemistry: paraffin embedded Human Kidney. (Steamed antigen retrieval with citrate buffer pH 6) stained with ARG63443 anti-IRF6 antibody at 2.5 µg/ml dilution followed by AP-staining.
