ARG56923
anti-IRF5 antibody [10T1]
anti-IRF5 antibody [10T1] for Flow cytometry,ICC/IF,IHC-Formalin-fixed paraffin-embedded sections,Western blot and Human,Mouse
概述
| 产品描述 | Mouse Monoclonal antibody [10T1] recognizes IRF5 |
|---|---|
| 反应物种 | Hu, Ms |
| 应用 | FACS, ICC/IF, IHC-P, WB |
| 宿主 | Mouse |
| 克隆 | Monoclonal |
| 克隆号 | 10T1 |
| 同位型 | IgG1, kappa |
| 靶点名称 | IRF5 |
| 抗原物种 | Human |
| 抗原 | Recombinant fragment around aa. 176-240 of Human IRF5. |
| 偶联标记 | Un-conjugated |
| 別名 | SLEB10; Interferon regulatory factor 5; IRF-5 |
应用说明
| 应用建议 |
|
||||||||||
|---|---|---|---|---|---|---|---|---|---|---|---|
| 应用说明 | IHC-P: Antigen Retrieval: Boil tissue section in 0.1M Sodium citrate buffer (pH 6.0) for 20 min. * The dilutions indicate recommended starting dilutions and the optimal dilutions or concentrations should be determined by the scientist. |
属性
| 形式 | Liquid |
|---|---|
| 纯化 | Purification with Protein G. |
| 缓冲液 | PBS (pH 7.4), 0.02% Sodium azide and 10% Glycerol. |
| 抗菌剂 | 0.02% Sodium azide |
| 稳定剂 | 10% Glycerol |
| 浓度 | 1 mg/ml |
| 存放说明 | For continuous use, store undiluted antibody at 2-8°C for up to a week. For long-term storage, aliquot and store at -20°C. Storage in frost free freezers is not recommended. Avoid repeated freeze/thaw cycles. Suggest spin the vial prior to opening. The antibody solution should be gently mixed before use. |
| 注意事项 | For laboratory research only, not for drug, diagnostic or other use. |
生物信息
| 数据库连接 | |
|---|---|
| 基因名称 | IRF5 |
| 全名 | interferon regulatory factor 5 |
| 背景介绍 | This gene encodes a member of the interferon regulatory factor (IRF) family, a group of transcription factors with diverse roles, including virus-mediated activation of interferon, and modulation of cell growth, differentiation, apoptosis, and immune system activity. Members of the IRF family are characterized by a conserved N-terminal DNA-binding domain containing tryptophan (W) repeats. Multiple transcript variants encoding different isoforms have been found for this gene, and a 30-nt indel polymorphism (SNP rs60344245) can result in loss of a 10-aa segment. [provided by RefSeq, Mar 2010] |
| 生物功能 | Transcription factor involved in the induction of interferons IFNA and INFB and inflammatory cytokines upon virus infection. Activated by TLR7 or TLR8 signaling. [UniProt] |
| 预测分子量 | 56 kDa |
| 翻译后修饰 | Phosphorylation of serine and threonine residues in a C-terminal autoinhibitory region, stimulates dimerization, transport into the nucleus, assembly with the coactivator CBP/p300 and initiation of transcription. 'Lys-63'-linked polyubiquitination by TRAF6 is required for activation. |
检测图片 (4) Click the Picture to Zoom In
-
ARG56923 anti-IRF5 antibody [10T1] ICC/IF image
Immunoflorescense: THP-1 cell line stained with ARG56923 anti-IRF5 antibody [10T1] at 1:100 (Green).
DAPI (Blue) for nucleus staining.
-
ARG56923 anti-IRF5 antibody [10T1] FACS image
Flow Cytometry: THP-1 cell line stained with ARG56923 anti-IRF5 antibody [10T1] at 2-5 µg for 1x10^6 cells (red line). Secondary antibody: Goat anti-Mouse IgG Alexa fluor 488 conjugate. Isotype control antibody was Mouse IgG (black line).
-
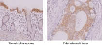
ARG56923 anti-IRF5 antibody [10T1] IHC-P image
Immunohistochemistry: Paraffin embedded sections of normal colon mucosa and colon adenocalcinoma tissue stained with ARG56923 anti-IRF5 antibody [10T1] at 1:50 for 2 hours at RT. Antigen Retrieval: Boil tissue section in 0.1M Sodium citrate buffer (pH 6.0) for 20 min.
-
ARG56923 anti-IRF5 antibody [10T1] WB image
Western blot: Ramos, THP-1, A20 and NIH3T3 stained with ARG56923 anti-IRF5 antibody [10T1] at 1:1000.
