ARG65011
anti-IREB2 / IRP2 antibody
anti-IREB2 / IRP2 antibody for IHC-Formalin-fixed paraffin-embedded sections,Western blot and Human
Cell Biology and Cellular Response antibody; Metabolism antibody
概述
| 产品描述 | Goat Polyclonal antibody recognizes IREB2 / IRP2 |
|---|---|
| 反应物种 | Hu |
| 预测物种 | Ms, Rat |
| 应用 | IHC-P, WB |
| 宿主 | Goat |
| 克隆 | Polyclonal |
| 同位型 | IgG |
| 靶点名称 | IREB2 / IRP2 |
| 抗原物种 | Human |
| 抗原 | C-SIHYEGSEYKLSHGS |
| 偶联标记 | Un-conjugated |
| 別名 | IRP2; IRP2AD; IRE-BP 2; Iron regulatory protein 2; Iron-responsive element-binding protein 2; ACO3 |
应用说明
| 应用建议 |
|
||||||
|---|---|---|---|---|---|---|---|
| 应用说明 | IHC-P: Antigen Retrieval: Steam tissue section in Citrate buffer (pH 6.0). WB: Recommend incubate at RT for 1h. * The dilutions indicate recommended starting dilutions and the optimal dilutions or concentrations should be determined by the scientist. |
属性
| 形式 | Liquid |
|---|---|
| 纯化 | Purified from goat serum by antigen affinity chromatography. |
| 缓冲液 | Tris saline (pH 7.3), 0.02% Sodium azide and 0.5% BSA. |
| 抗菌剂 | 0.02% Sodium azide |
| 稳定剂 | 0.5% BSA |
| 浓度 | 0.5 mg/ml |
| 存放说明 | For continuous use, store undiluted antibody at 2-8°C for up to a week. For long-term storage, aliquot and store at -20°C or below. Storage in frost free freezers is not recommended. Avoid repeated freeze/thaw cycles. Suggest spin the vial prior to opening. The antibody solution should be gently mixed before use. |
| 注意事项 | For laboratory research only, not for drug, diagnostic or other use. |
生物信息
| 数据库连接 |
Swiss-port # P48200 Human Iron-responsive element-binding protein 2 |
|---|---|
| 基因名称 | IREB2 |
| 全名 | iron-responsive element binding protein 2 |
| 生物功能 | RNA-binding protein that binds to iron-responsive elements (IRES), which are stem-loop structures found in the 5'-UTR of ferritin, and delta aminolevulinic acid synthase mRNAs, and in the 3'-UTR of transferrin receptor mRNA. Binding to the IRE element in ferritin results in the repression of its mRNA translation. Binding of the protein to the transferrin receptor mRNA inhibits the degradation of this otherwise rapidly degraded mRNA. [UniProt] |
| 研究领域 | Cell Biology and Cellular Response antibody; Metabolism antibody |
| 预测分子量 | 105 kDa |
| 翻译后修饰 | Ubiquitinated and degraded by the proteasome in presence of high level of iron and oxygen. Ubiquitinated by a SCF complex containing FBXL5. Upon iron and oxygen depletion FBXL5 is degraded, preventing ubiquitination and allowing its RNA-binding activity. |
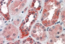
检测图片 (2) Click the Picture to Zoom In
-
ARG65011 anti-IREB2 / IRP2 antibody WB image
Western Blot: Human Liver lysate (35 µg protein in RIPA buffer) stained with ARG65011 anti-IREB2 / IRP2 antibody at 0.3 µg/ml dilution.
-
ARG65011 anti-IREB2 / IRP2 antibody IHC-P image
Immunohistochemistry: paraffin embedded Human Kidney. (Steamed antigen retrieval with citrate buffer pH 6) stained with ARG65011 anti-IREB2 / IRP2 antibody at 3.8 µg/ml dilution followed by AP-staining.
