ARG40374
anti-IRAK2 antibody
anti-IRAK2 antibody for IHC-Formalin-fixed paraffin-embedded sections,Western blot and Human,Rat
概述
| 产品描述 | Rabbit Polyclonal antibody recognizes IRAK2 |
|---|---|
| 反应物种 | Hu, Rat |
| 预测物种 | Ms, Hm |
| 应用 | IHC-P, WB |
| 宿主 | Rabbit |
| 克隆 | Polyclonal |
| 同位型 | IgG |
| 靶点名称 | IRAK2 |
| 抗原物种 | Human |
| 抗原 | Synthetic peptide corresponding to aa. 600-616 of Human IRAK2. (EAKRKLMENILLYKEEK) |
| 偶联标记 | Un-conjugated |
| 別名 | IRAK-2; Interleukin-1 receptor-associated kinase-like 2 |
应用说明
| 应用建议 |
|
||||||
|---|---|---|---|---|---|---|---|
| 应用说明 | IHC-P: Antigen Retrieval: By heat mediation. * The dilutions indicate recommended starting dilutions and the optimal dilutions or concentrations should be determined by the scientist. |
||||||
| 实际分子量 | 70 kDa |
属性
| 形式 | Liquid |
|---|---|
| 纯化 | Affinity purification with immunogen. |
| 缓冲液 | 0.2% Na2HPO4, 0.9% NaCl, 0.05% Thimerosal, 0.05% Sodium azide and 5% BSA. |
| 抗菌剂 | 0.05% Thimerosal and 0.05% Sodium azide |
| 稳定剂 | 5% BSA |
| 浓度 | 0.5 mg/ml |
| 存放说明 | For continuous use, store undiluted antibody at 2-8°C for up to a week. For long-term storage, aliquot and store at -20°C or below. Storage in frost free freezers is not recommended. Avoid repeated freeze/thaw cycles. Suggest spin the vial prior to opening. The antibody solution should be gently mixed before use. |
| 注意事项 | For laboratory research only, not for drug, diagnostic or other use. |
生物信息
| 数据库连接 |
Swiss-port # O43187 Human Interleukin-1 receptor-associated kinase-like 2 Swiss-port # Q4QQS0 Rat Interleukin-1 receptor-associated kinase-like 2 |
|---|---|
| 基因名称 | IRAK2 |
| 全名 | interleukin-1 receptor-associated kinase 2 |
| 背景介绍 | IRAK2 encodes the interleukin-1 receptor-associated kinase 2, one of two putative serine/threonine kinases that become associated with the interleukin-1 receptor (IL1R) upon stimulation. IRAK2 is reported to participate in the IL1-induced upregulation of NF-kappaB. [provided by RefSeq, Jul 2008] |
| 生物功能 | Binds to the IL-1 type I receptor following IL-1 engagement, triggering intracellular signaling cascades leading to transcriptional up-regulation and mRNA stabilization. [UniProt] |
| 预测分子量 | 69 kDa |
检测图片 (3) Click the Picture to Zoom In
-
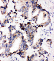
ARG40374 anti-IRAK2 antibody IHC-P image
Immunohistochemistry: Paraffin-embedded Human lung cancer tissue stained with ARG40374 anti-IRAK2 antibody.
-
ARG40374 anti-IRAK2 antibody WB image
Western blot: 22RV, A549, PANC and SMMC-7721 cell lysates stained with ARG40374 anti-IRAK2 antibody.
-
ARG40374 anti-IRAK2 antibody IHC-P image
Immunohistochemistry: Paraffin-embedded Rat spleen stained with ARG40374 anti-IRAK2 antibody.
