ARG59269
anti-IQGAP2 antibody
anti-IQGAP2 antibody for Flow cytometry,ICC/IF,IHC-Formalin-fixed paraffin-embedded sections,Western blot and Human,Mouse
概述
| 产品描述 | Rabbit Polyclonal antibody recognizes IQGAP2 |
|---|---|
| 反应物种 | Hu, Ms |
| 应用 | FACS, ICC/IF, IHC-P, WB |
| 宿主 | Rabbit |
| 克隆 | Polyclonal |
| 同位型 | IgG |
| 靶点名称 | IQGAP2 |
| 抗原物种 | Human |
| 抗原 | Recombinant protein corresponding to A1329-Q1544 of Human IQGAP2. |
| 偶联标记 | Un-conjugated |
| 別名 | Ras GTPase-activating-like protein IQGAP2 |
应用说明
| 应用建议 |
|
||||||||||
|---|---|---|---|---|---|---|---|---|---|---|---|
| 应用说明 | IHC-P: Antigen Retrieval: Heat mediation was performed in EDTA buffer (pH 8.0). * The dilutions indicate recommended starting dilutions and the optimal dilutions or concentrations should be determined by the scientist. |
||||||||||
| 实际分子量 | 180 kDa |
属性
| 形式 | Liquid |
|---|---|
| 纯化 | Affinity purification with immunogen. |
| 缓冲液 | 0.9% NaCl, 0.2% Na2HPO4, 0.05% Sodium azide and 4% Trehalose. |
| 抗菌剂 | 0.05% Sodium azide |
| 稳定剂 | 4% Trehalose |
| 浓度 | 0.5 mg/ml |
| 存放说明 | For continuous use, store undiluted antibody at 2-8°C for up to a week. For long-term storage, aliquot and store at -20°C or below. Storage in frost free freezers is not recommended. Avoid repeated freeze/thaw cycles. Suggest spin the vial prior to opening. The antibody solution should be gently mixed before use. |
| 注意事项 | For laboratory research only, not for drug, diagnostic or other use. |
生物信息
| 数据库连接 |
Swiss-port # Q13576 Human Ras GTPase-activating-like protein IQGAP2 Swiss-port # Q3UQ44 Mouse Ras GTPase-activating-like protein IQGAP2 |
|---|---|
| 基因名称 | IQGAP2 |
| 全名 | IQ motif containing GTPase activating protein 2 |
| 背景介绍 | This gene encodes a member of the IQGAP family. The protein contains three IQ domains, one calponin homology domain, one Ras-GAP domain and one WW domain. It interacts with components of the cytoskeleton, with cell adhesion molecules, and with several signaling molecules to regulate cell morphology and motility. [provided by RefSeq, Jul 2008] |
| 生物功能 | Binds to activated CDC42 and RAC1 but does not seem to stimulate their GTPase activity. Associates with calmodulin. [UniProt] |
| 预测分子量 | 181 kDa |
检测图片 (6) Click the Picture to Zoom In
-
ARG59269 anti-IQGAP2 antibody ICC/IF image
Immunofluorescence: MCF-7 cells were blocked with 10% goat serum and then stained with ARG59269 anti-IQGAP2 antibody (green) at 2 µg/ml dilution, overnight at 4°C. DAPI (blue) for nuclear staining.
-
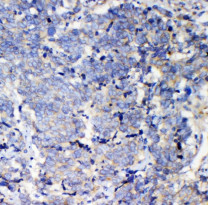
ARG59269 anti-IQGAP2 antibody IHC-P image
Immunohistochemistry: Paraffin-embedded Human lung cancer tissue. Antigen Retrieval: Heat mediation was performed in EDTA buffer (pH 8.0). The tissue section was blocked with 10% goat serum. The tissue section was then stained with ARG59269 anti-IQGAP2 antibody at 1 µg/ml dilution, overnight at 4°C.
-
ARG59269 anti-IQGAP2 antibody WB image
Western blot: 50 µg of samples under reducing conditions. HeLa, Human placenta, HepG2 and Mouse stomach lysates stained with ARG59269 anti-IQGAP2 antibody at 0.5 µg/ml, overnight at 4°C.
-
ARG59269 anti-IQGAP2 antibody FACS image
Flow Cytometry: U2OS cells were blocked with 10% normal goat serum and then stained with ARG59269 anti-IQGAP2 antibody (blue) at 1 µg/10^6 cells for 30 min at 20°C, followed by incubation with DyLight®488 labelled secondary antibody. Isotype control antibody (green) was rabbit IgG (1 µg/10^6 cells) used under the same conditions. Unlabelled sample (red) was also used as a control.
-
ARG59269 anti-IQGAP2 antibody IHC-P image
Immunohistochemistry: Paraffin-embedded Human mammary cancer tissue. Antigen Retrieval: Heat mediation was performed in EDTA buffer (pH 8.0). The tissue section was blocked with 10% goat serum. The tissue section was then stained with ARG59269 anti-IQGAP2 antibody at 1 µg/ml dilution, overnight at 4°C.
-
ARG59269 anti-IQGAP2 antibody FACS image
Flow Cytometry: SiHa cells were blocked with 10% normal goat serum and then stained with ARG59269 anti-IQGAP2 antibody (blue) at 1 µg/10^6 cells for 30 min at 20°C, followed by incubation with DyLight®488 labelled secondary antibody. Isotype control antibody (green) was rabbit IgG (1 µg/10^6 cells) used under the same conditions. Unlabelled sample (red) was also used as a control.
