ARG67109
anti-ILKAP antibody
anti-ILKAP antibody for ICC/IF,IHC-Formalin-fixed paraffin-embedded sections,Western blot and Human,Mouse,Rat,Monkey
概述
| 产品描述 | Rabbit Polyclonal antibody recognizes ILKAP |
|---|---|
| 反应物种 | Hu, Ms, Rat, Mk |
| 应用 | ICC/IF, IHC-P, WB |
| 宿主 | Rabbit |
| 克隆 | Polyclonal |
| 同位型 | IgG |
| 靶点名称 | ILKAP |
| 抗原物种 | Human |
| 抗原 | Human ILKAP Synthesized peptide |
| 偶联标记 | Un-conjugated |
| 別名 | ILKAP; ILK Associated Serine/Threonine Phosphatase; Integrin-Linked Kinase-Associated Serine/Threonine Phosphatase 2C; PPM1O; Protein Phosphatase, Mg2+/Mn2+ Dependent 1O; DKFZP434J2031 |
应用说明
| 应用建议 |
|
||||||||
|---|---|---|---|---|---|---|---|---|---|
| 应用说明 | * The dilutions indicate recommended starting dilutions and the optimal dilutions or concentrations should be determined by the scientist. |
属性
| 形式 | Liquid |
|---|---|
| 纯化 | Affinity purification with immunogen. |
| 缓冲液 | PBS (pH 7.4), 0.02% Sodium azide, 50% Glycerol and 0.5% BSA. |
| 抗菌剂 | 0.02% Sodium azide |
| 稳定剂 | 50% Glycerol and 0.5% BSA |
| 存放说明 | For continuous use, store undiluted antibody at 2-8°C for up to a week. For long-term storage, aliquot and store at -20°C. Storage in frost free freezers is not recommended. Avoid repeated freeze/thaw cycles. Suggest spin the vial prior to opening. The antibody solution should be gently mixed before use. |
| 注意事项 | For laboratory research only, not for drug, diagnostic or other use. |
生物信息
| 数据库连接 | |
|---|---|
| 基因名称 | ILKAP |
| 全名 | ILK Associated Serine/Threonine Phosphatase |
| 背景介绍 | The protein encoded by this gene is a protein serine/threonine phosphatase of the PP2C family. This protein can interact with integrin-linked kinase (ILK/ILK1), a regulator of integrin mediated signaling, and regulate the kinase activity of ILK. Through the interaction with ILK, this protein may selectively affect the signaling process of ILK-mediated glycogen synthase kinase 3 beta (GSK3beta), and thus participate in Wnt signaling pathway. |
| 生物功能 | Protein phosphatase that may play a role in regulation of cell cycle progression via dephosphorylation of its substrates whose appropriate phosphorylation states might be crucial for cell proliferation. Selectively associates with integrin linked kinase (ILK), to modulate cell adhesion and growth factor signaling. Inhibits the ILK-GSK3B signaling axis and may play an important role in inhibiting oncogenic transformation. |
| 细胞定位 | Cytoplasm |
| 预测分子量 | 43 kDa |
检测图片 (3) Click the Picture to Zoom In
-
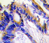
ARG67109 anti-ILKAP antibody IHC-P image
Immunohistochemistry: Human colon carcinoma stained with ARG67109 anti-ILKAP antibody.
-
ARG67109 anti-ILKAP antibody WB image
Western blot: HeLa stained with ARG67109 anti-ILKAP antibody.
-
ARG67109 anti-ILKAP antibody WB image
Western blot: COS7 stained with ARG67109 anti-ILKAP antibody.
