ARG64187
anti-ILF2 / NF45 antibody
anti-ILF2 / NF45 antibody for IHC-Formalin-fixed paraffin-embedded sections,Immunoprecipitation,Western blot and Human
Gene Regulation antibody
概述
| 产品描述 | Goat Polyclonal antibody recognizes ILF2 / NF45 |
|---|---|
| 反应物种 | Hu |
| 预测物种 | Ms, Rat, Dog |
| 应用 | IHC-P, IP, WB |
| 宿主 | Goat |
| 克隆 | Polyclonal |
| 同位型 | IgG |
| 靶点名称 | ILF2 / NF45 |
| 抗原物种 | Human |
| 抗原 | C-EKAYEKPPEKKEG |
| 偶联标记 | Un-conjugated |
| 別名 | Interleukin enhancer-binding factor 2; NF45; Nuclear factor of activated T-cells 45 kDa; PRO3063 |
应用说明
| 应用建议 |
|
||||||||
|---|---|---|---|---|---|---|---|---|---|
| 应用说明 | WB: Recommend incubate at RT for 1h. IHC-P: Antigen Retrieval: Steam tissue section in Citrate buffer (pH 6.0). * The dilutions indicate recommended starting dilutions and the optimal dilutions or concentrations should be determined by the scientist. |
属性
| 形式 | Liquid |
|---|---|
| 纯化 | Purified from goat serum by antigen affinity chromatography. |
| 缓冲液 | Tris saline (pH 7.3), 0.02% Sodium azide and 0.5% BSA. |
| 抗菌剂 | 0.02% Sodium azide |
| 稳定剂 | 0.5% BSA |
| 浓度 | 0.5 mg/ml |
| 存放说明 | For continuous use, store undiluted antibody at 2-8°C for up to a week. For long-term storage, aliquot and store at -20°C or below. Storage in frost free freezers is not recommended. Avoid repeated freeze/thaw cycles. Suggest spin the vial prior to opening. The antibody solution should be gently mixed before use. |
| 注意事项 | For laboratory research only, not for drug, diagnostic or other use. |
生物信息
| 数据库连接 |
Swiss-port # Q12905 Human Interleukin enhancer-binding factor 2 |
|---|---|
| 背景介绍 | The protein encoded by this gene is the 45 kDa component of nuclear factor of activated T-cells (NFAT), a heterodimer of 45 kDa and 90 kDa proteins. NFAT is a transcription factor required for T-cell expression of the interleukin 2 gene. It also binds RNA and is an essential component for encapsidation and protein priming of hepatitis B viral polymerase. The complex has been shown to repair DNA breaks by nonhomologous end joining and can also negatively regulate the microRNA processing pathway. Alternative splicing results in multiple transcript variants. Related pseudogenes have been found on chromosomes 3 and 14. [provided by RefSeq, Jun 2012] |
| 研究领域 | Gene Regulation antibody |
| 预测分子量 | 43 kDa |
检测图片 (3) Click the Picture to Zoom In
-
ARG64187 anti-ILF2 / NF45 antibody WB image
Western Blot: Human Tonsil lysate (35 µg protein in RIPA buffer) stained with ARG64187 anti-ILF2 / NF45 antibody at 0.03 µg/ml dilution.
-
ARG64187 anti-ILF2 / NF45 antibody IHC-P image
Immunohistochemistry: Paraffin-embedded Human thymus tissue. Antigen Retrieval: Steam tissue section in Citrate buffer (pH 6.0). The tissue section was stained with ARG64187 anti-ILF2 / NF45 antibody at 2.5 µg/ml dilution followed by AP-staining.
-
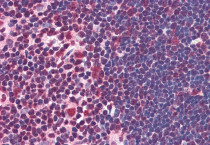
ARG64187 anti-ILF2 / NF45 antibody IHC-P image
Immunohistochemistry: paraffin embedded Human Spleen. (Steamed antigen retrieval with citrate buffer pH 6) stained with ARG64187 anti-ILF2 / NF45 antibody at 2.5 µg/ml dilution followed by AP-staining.
