ARG46720
anti-IL17 / IL17A antibody
anti-IL17 / IL17A antibody for IHC-Formalin-fixed paraffin-embedded sections,Western blot and Human,Mouse,Rat
Cancer antibody; Immune System antibody
概述
| 产品描述 | Rabbit Polyclonal antibody recognizes IL17 / IL17A |
|---|---|
| 反应物种 | Hu, Ms, Rat |
| 应用 | IHC-P, WB |
| 宿主 | Rabbit |
| 克隆 | Polyclonal |
| 同位型 | IgG |
| 靶点名称 | IL17 / IL17A |
| 偶联标记 | Un-conjugated |
| 別名 | IL-17A; Interleukin-17A; IL-17; CTLA8; IL17; CTLA-8; Cytotoxic T-lymphocyte-associated antigen 8 |
应用说明
| 应用建议 |
|
||||||
|---|---|---|---|---|---|---|---|
| 应用说明 | * The dilutions indicate recommended starting dilutions and the optimal dilutions or concentrations should be determined by the scientist. |
属性
| 形式 | Liquid |
|---|---|
| 纯化 | Affinity chromatography purified |
| 缓冲液 | PBS, Sodium azide and 50% Glycerol |
| 抗菌剂 | Sodium azide |
| 稳定剂 | 50% Glycerol |
| 存放说明 | For continuous use, store undiluted antibody at 2-8°C for up to a week. For long-term storage, aliquot and store at -20°C or below. Storage in frost free freezers is not recommended. Avoid repeated freeze/thaw cycles. Suggest spin the vial prior to opening. The antibody solution should be gently mixed before use. |
| 注意事项 | For laboratory research only, not for drug, diagnostic or other use. |
生物信息
| 数据库连接 | |
|---|---|
| 基因名称 | IL17A |
| 全名 | interleukin 17A |
| 背景介绍 | The protein encoded by this gene is a proinflammatory cytokine produced by activated T cells. This cytokine regulates the activities of NF-kappaB and mitogen-activated protein kinases. This cytokine can stimulate the expression of IL6 and cyclooxygenase-2 (PTGS2/COX-2), as well as enhance the production of nitric oxide (NO). High levels of this cytokine are associated with several chronic inflammatory diseases including rheumatoid arthritis, psoriasis and multiple sclerosis. [provided by RefSeq, Jul 2008] |
| 生物功能 | Induces stromal cells to produce proinflammatory and hematopoietic cytokines. Enhances the surface expression of ICAM1/intracellular adhesion molecule 1 in fibroblasts. [UniProt] |
| 产品亮点 | Related products: IL17 antibodies; IL17 ELISA Kits; IL17 recombinant proteins; Anti-Rabbit IgG secondary antibodies; |
| 研究领域 | Cancer antibody; Immune System antibody |
| 预测分子量 | 18 kDa |
| 翻译后修饰 | Found both in glycosylated and nonglycosylated forms. |
检测图片 (5) Click the Picture to Zoom In
-
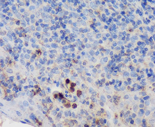
ARG46720 anti-IL17 / IL17A antibody IHC-P image
Immunohistochemistry: Human tonsil stained with ARG46720 anti-IL17 / IL17A antibody.
-
ARG46720 anti-IL17 / IL17A antibody IHC-P image
Immunohistochemistry: Human tonsil stained with ARG46720 anti-IL17 / IL17A antibody.
-
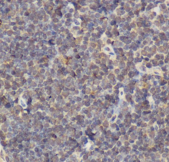
ARG46720 anti-IL17 / IL17A antibody IHC-P image
Immunohistochemistry: Rat spleen stained with ARG46720 anti-IL17 / IL17A antibody.
-
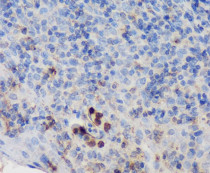
ARG46720 anti-IL17 / IL17A antibody IHC-P image
Immunohistochemistry: Mouse thymus stained with ARG46720 anti-IL17 / IL17A antibody.
-
ARG46720 anti-IL17 / IL17A antibody WB image
Western blot: Recombinant Human IL17 / IL17A Protein stained with ARG46720 anti-IL17 / IL17A antibody.
