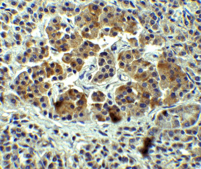
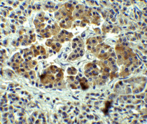
ARG46203
anti-IL12 p35 antibody
anti-IL12 p35 antibody for IHC-Formalin-fixed paraffin-embedded sections,Western blot and Human
概述
| 产品描述 | Rabbit Polyclonal antibody recognizes IL12 p35 |
|---|---|
| 反应物种 | Hu |
| 应用 | IHC-P, WB |
| 宿主 | Rabbit |
| 克隆 | Polyclonal |
| 同位型 | IgG |
| 靶点名称 | IL12 p35 |
| 抗原物种 | Human |
| 抗原 | A 18 amino acid synthetic peptide within the last 50 amino acids of human IL12 p35. |
| 偶联标记 | Un-conjugated |
| 別名 | CLMF; Cytotoxic lymphocyte maturation factor 35 kDa subunit; NFSK; NK cell stimulatory factor chain 1; CLMF p35; NKSF1; IL-12 subunit p35; IL-12A; Interleukin-12 subunit alpha; P35 |
应用说明
| 应用建议 |
|
||||||
|---|---|---|---|---|---|---|---|
| 应用说明 | * The dilutions indicate recommended starting dilutions and the optimal dilutions or concentrations should be determined by the scientist. | ||||||
| 实际分子量 | 22 kDa |
属性
| 纯化 | Affinity chromatography purified |
|---|---|
| 缓冲液 | PBS and 0.02% Sodium azide. |
| 抗菌剂 | 0.02% Sodium azide |
| 浓度 | 1 mg/ml |
| 存放说明 | For continuous use, store undiluted antibody at 2-8°C for up to a week. For long-term storage, aliquot and store at -20°C. Storage in frost free freezers is not recommended. Avoid repeated freeze/thaw cycles. Suggest spin the vial prior to opening. The antibody solution should be gently mixed before use. |
| 注意事项 | For laboratory research only, not for drug, diagnostic or other use. |
生物信息
| 数据库连接 | |
|---|---|
| 基因名称 | IL 12A |
| 全名 | interleukin 12A |
| 生物功能 | Cytokine that can act as a growth factor for activated T and NK cells, enhance the lytic activity of NK/lymphokine-activated Killer cells, and stimulate the production of IFN-gamma by resting PBMC. [UniProt] |
| 预测分子量 | 22 kDa |
检测图片 (2) Click the Picture to Zoom In
