ARG42961
anti-IGLL1 / Lambda 5 antibody
anti-IGLL1 / Lambda 5 antibody for IHC-Formalin-fixed paraffin-embedded sections,Western blot and Human,Mouse,Rat
概述
| 产品描述 | Rabbit Polyclonal antibody recognizes IGLL1 / Lambda 5 |
|---|---|
| 反应物种 | Hu, Ms, Rat |
| 应用 | IHC-P, WB |
| 宿主 | Rabbit |
| 克隆 | Polyclonal |
| 同位型 | IgG |
| 靶点名称 | IGLL1 / Lambda 5 |
| 抗原物种 | Human |
| 抗原 | Recombinant protein corresponding to L38-S213 of Human IGLL1 / Lambda 5. |
| 偶联标记 | Un-conjugated |
| 別名 | IGLL; Immunoglobulin omega polypeptide; 14.1; IGVPB; Immunoglobulin lambda-like polypeptide 1; Immunoglobulin-related protein 14.1; CD179 antigen-like family member B; IGLJ14.1; Ig lambda-5; CD antigen CD179b; AGM2; CD179b; IGO; IGL5; IGL1; VPREB2 |
应用说明
| 应用建议 |
|
||||||
|---|---|---|---|---|---|---|---|
| 应用说明 | IHC-P: Antigen Retrieval: Heat mediation was performed in Citrate buffer (pH 6.0) for 20 min. * The dilutions indicate recommended starting dilutions and the optimal dilutions or concentrations should be determined by the scientist. |
||||||
| 实际分子量 | ~ 26 kDa |
属性
| 形式 | Liquid |
|---|---|
| 纯化 | Affinity purification with immunogen. |
| 缓冲液 | 0.2% Na2HPO4, 0.9% NaCl, 0.05% Sodium azide and 4% Trehalose. |
| 抗菌剂 | 0.05% Sodium azide |
| 稳定剂 | 4% Trehalose |
| 浓度 | 0.5 mg/ml |
| 存放说明 | For continuous use, store undiluted antibody at 2-8°C for up to a week. For long-term storage, aliquot and store at -20°C or below. Storage in frost free freezers is not recommended. Avoid repeated freeze/thaw cycles. Suggest spin the vial prior to opening. The antibody solution should be gently mixed before use. |
| 注意事项 | For laboratory research only, not for drug, diagnostic or other use. |
生物信息
| 数据库连接 |
Swiss-port # P15814 Human Immunoglobulin lambda-like polypeptide 1 Swiss-port # P20764 Mouse Immunoglobulin lambda-like polypeptide 1 |
|---|---|
| 基因名称 | IGLL1 |
| 全名 | immunoglobulin lambda-like polypeptide 1 |
| 背景介绍 | The preB cell receptor is found on the surface of proB and preB cells, where it is involved in transduction of signals for cellular proliferation, differentiation from the proB cell to the preB cell stage, allelic exclusion at the Ig heavy chain gene locus, and promotion of Ig light chain gene rearrangements. The preB cell receptor is composed of a membrane-bound Ig mu heavy chain in association with a heterodimeric surrogate light chain. This gene encodes one of the surrogate light chain subunits and is a member of the immunoglobulin gene superfamily. This gene does not undergo rearrangement. Mutations in this gene can result in B cell deficiency and agammaglobulinemia, an autosomal recessive disease in which few or no gamma globulins or antibodies are made. Two transcript variants encoding different isoforms have been found for this gene. [provided by RefSeq, Jul 2008] |
| 生物功能 | Critical for B-cell development. [UniProt] |
| 细胞定位 | Secreted. [UniProt] |
| 预测分子量 | 23 kDa |
检测图片 (6) Click the Picture to Zoom In
-
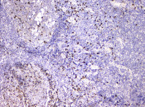
ARG42961 anti-IGLL1 / Lambda 5 antibody IHC-P image
Immunohistochemistry: Paraffin-embedded Human B lymphocytic tumor tissue. Antigen Retrieval: Heat mediation was performed in Citrate buffer (pH 6.0) for 20 min. The tissue section was blocked with 10% goat serum. The tissue section was then stained with ARG42961 anti-IGLL1 / Lambda 5 antibody at 1 µg/ml dilution, overnight at 4°C.
-
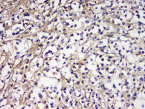
ARG42961 anti-IGLL1 / Lambda 5 antibody WB image
Western blot: 50 µg of sample under reducing conditions. Human placenta lysate stained with ARG42961 anti-IGLL1 / Lambda 5 antibody at 0.5 µg/ml dilution, overnight at 4°C.
-
ARG42961 anti-IGLL1 / Lambda 5 antibody IHC-P image
Immunohistochemistry: Paraffin-embedded Human tonsil tissue. Antigen Retrieval: Heat mediation was performed in Citrate buffer (pH 6.0) for 20 min. The tissue section was blocked with 10% goat serum. The tissue section was then stained with ARG42961 anti-IGLL1 / Lambda 5 antibody at 1 µg/ml dilution, overnight at 4°C.
-
ARG42961 anti-IGLL1 / Lambda 5 antibody IHC-P image
Immunohistochemistry: Paraffin-embedded Mouse spleen tissue. Antigen Retrieval: Heat mediation was performed in Citrate buffer (pH 6.0) for 20 min. The tissue section was blocked with 10% goat serum. The tissue section was then stained with ARG42961 anti-IGLL1 / Lambda 5 antibody at 1 µg/ml dilution, overnight at 4°C.
-
ARG42961 anti-IGLL1 / Lambda 5 antibody IHC-P image
Immunohistochemistry: Paraffin-embedded Rat spleen tissue. Antigen Retrieval: Heat mediation was performed in Citrate buffer (pH 6.0) for 20 min. The tissue section was blocked with 10% goat serum. The tissue section was then stained with ARG42961 anti-IGLL1 / Lambda 5 antibody at 1 µg/ml dilution, overnight at 4°C.
-
ARG42961 anti-IGLL1 / Lambda 5 antibody IHC-P image
Immunohistochemistry: Paraffin-embedded Human tonsil tissue. Antigen Retrieval: Heat mediation was performed in Citrate buffer (pH 6.0) for 20 min. The tissue section was blocked with 10% goat serum. The tissue section was then stained with ARG42961 anti-IGLL1 / Lambda 5 antibody at 1 µg/ml dilution, overnight at 4°C.
