ARG44440
anti-IFT52 antibody
anti-IFT52 antibody for Flow cytometry,IHC-Formalin-fixed paraffin-embedded sections,Western blot and Human,Mouse,Rat
概述
| 产品描述 | Rabbit Polyclonal antibody recognizes IFT52 |
|---|---|
| 反应物种 | Hu, Ms, Rat |
| 应用 | FACS, IHC-P, WB |
| 宿主 | Rabbit |
| 克隆 | Polyclonal |
| 同位型 | IgG |
| 靶点名称 | IFT52 |
| 抗原物种 | Human |
| 抗原 | Human IFT52 recombinant protein |
| 偶联标记 | Un-conjugated |
| 別名 | IFT52; Intraflagellar Transport 52; NGD5; C20orf9; CGI-53; NGD2; Intraflagellar Transport Protein 52 Homolog; Protein NGD5 Homolog |
应用说明
| 应用建议 |
|
||||||||
|---|---|---|---|---|---|---|---|---|---|
| 应用说明 | The dilutions indicate recommended starting dilutions and the optimal dilutions or concentrations should be determined by the scientist. |
属性
| 形式 | Liquid |
|---|---|
| 纯化 | Affinity purified with Immunogen. |
| 缓冲液 | 0.9% NaCl, 0.2% Na2HPO4, 0.05% Sodium azide and 4% Trehalose. |
| 抗菌剂 | 0.05% Sodium azide |
| 稳定剂 | 4% Trehalose |
| 浓度 | 0.5 mg/ml |
| 存放说明 | For continuous use, store undiluted antibody at 2-8°C for up to a week. For long-term storage, aliquot and store at -20°C or below. Storage in frost free freezers is not recommended. Avoid repeated freeze/thaw cycles. Suggest spin the vial prior to opening. The antibody solution should be gently mixed before use. |
| 注意事项 | For laboratory research only, not for drug, diagnostic or other use. |
生物信息
| 数据库连接 |
Swiss-port # Q9Y366 Human Intraflagellar transport protein 52 homolog |
|---|---|
| 基因名称 | IFT52 |
| 全名 | Intraflagellar Transport 52 |
| 背景介绍 | This gene encodes a conserved proline-rich protein that is a component of the intraflagellar transport-B (IFT-B) core complex. The encoded protein is essential for the integrity of the IFT-B core complex, and for biosynthesis and maintenance of cilia. Mutations in this gene are associated with ciliopathy that affects the skeleton. |
| 生物功能 | Involved in ciliogenesis as part of a complex involved in intraflagellar transport (IFT), the bi-directional movement of particles required for the assembly, maintenance and functioning of primary cilia. |
| 细胞定位 | Cell projection, Cilium |
| 预测分子量 | 50 kDa |
检测图片 (8) Click the Picture to Zoom In
-
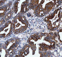
ARG44440 anti-IFT52 antibody IHC-P image
Immunohistochemistry: Human colorectal adenocarcinoma stained with ARG44440 anti-IFT52 antibody at 2 μg/mL dilution.
-
ARG44440 anti-IFT52 antibody IHC-P image
Immunohistochemistry: Human intestinal cancer stained with ARG44440 anti-IFT52 antibody at 5 μg/mL dilution.
-
ARG44440 anti-IFT52 antibody WB image
Western blot: SH-SY5Y stained with ARG44440 anti-IFT52 antibody at 0.5 μg/mL dilution.
-
ARG44440 anti-IFT52 antibody FACS image
Flow Cytometry: HepG2 stained with ARG44440 anti-IFT52 antibody at 1 μg/10^6 cells dilution.
-
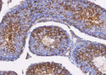
ARG44440 anti-IFT52 antibody IHC-P image
Immunohistochemistry: Rat testis stained with ARG44440 anti-IFT52 antibody at 2 μg/mL dilution.
-
ARG44440 anti-IFT52 antibody WB image
Western blot: Rat testis stained with ARG44440 anti-IFT52 antibody at 0.5 μg/mL dilution.
-
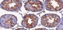
ARG44440 anti-IFT52 antibody IHC-P image
Immunohistochemistry: Mouse testis stained with ARG44440 anti-IFT52 antibody at 2 μg/mL dilution.
-
ARG44440 anti-IFT52 antibody WB image
Western blot: Mouse testis stained with ARG44440 anti-IFT52 antibody at 0.5 μg/mL dilution.
