ARG66540
anti-IFNW1 antibody
anti-IFNW1 antibody for IHC-Formalin-fixed paraffin-embedded sections,Western blot and Human
概述
| 产品描述 | Rabbit Polyclonal antibody recognizes IFNW1 |
|---|---|
| 反应物种 | Hu |
| 应用 | IHC-P, WB |
| 宿主 | Rabbit |
| 克隆 | Polyclonal |
| 同位型 | IgG |
| 靶点名称 | IFNW1 |
| 抗原物种 | Human |
| 抗原 | Synthetic peptide around the C-terminal region of Human IFNW1. |
| 偶联标记 | Un-conjugated |
| 別名 | IFNW1; Interferon Omega 1; IFN-Omega 1, Interferon Omega-1; Interferon Alpha-II-1; Interferon Omega-1 |
应用说明
| 应用建议 |
|
||||||
|---|---|---|---|---|---|---|---|
| 应用说明 | * The dilutions indicate recommended starting dilutions and the optimal dilutions or concentrations should be determined by the scientist. | ||||||
| 实际分子量 | 22 kDa |
属性
| 形式 | Liquid |
|---|---|
| 纯化 | Affinity purification with immunogen. |
| 缓冲液 | PBS, 0.02% Sodium azide, 50% Glycerol and 0.5% BSA. |
| 抗菌剂 | 0.02% Sodium azide |
| 稳定剂 | 50% Glycerol and 0.5% BSA |
| 浓度 | 1 mg/ml |
| 存放说明 | For continuous use, store undiluted antibody at 2-8°C for up to a week. For long-term storage, aliquot and store at -20°C. Storage in frost free freezers is not recommended. Avoid repeated freeze/thaw cycles. Suggest spin the vial prior to opening. The antibody solution should be gently mixed before use. |
| 注意事项 | For laboratory research only, not for drug, diagnostic or other use. |
生物信息
| 数据库连接 | |
|---|---|
| 基因名称 | IFNW1 |
| 全名 | interferon, omega 1 |
| 细胞定位 | Secreted. [UniProt] |
| 预测分子量 | 22 kDa |
检测图片 (3) Click the Picture to Zoom In
-
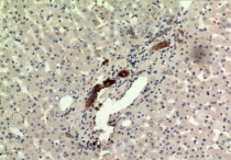
ARG66540 anti-IFNW1 antibody IHC-P image
Immunohistochemistry: Paraffin-embedded Human liver stained with ARG66540 anti-IFNW1 antibody at 1:100 dilution.
-
ARG66540 anti-IFNW1 antibody WB image
Western blot: HeLa cells stained with ARG66540 anti-IFNW1 antibody.
-
ARG66540 anti-IFNW1 antibody IHC-P image
Immunohistochemistry: Paraffin-embedded Human spleen stained with ARG66540 anti-IFNW1 antibody at 1:100 dilution.
