ARG45898
anti-IFIT2 antibody
anti-IFIT2 antibody for Western blot,IHC-Formalin-fixed paraffin-embedded sections,ICC/IF,Flow cytometry and Human,Mouse,Rat
概述
| 产品描述 | Rabbit Polyclonal antibody recognizes IFIT2 |
|---|---|
| 反应物种 | Hu, Ms, Rat |
| 应用 | FACS, ICC/IF, IHC-P, WB |
| 宿主 | Rabbit |
| 克隆 | Polyclonal |
| 同位型 | IgG |
| 靶点名称 | IFIT2 |
| 抗原物种 | Human |
| 抗原 | Recombinant protein containing to human IFIT2. |
| 偶联标记 | Un-conjugated |
| 別名 | IFIT2; IFI-54K; IFIT-2; IFI-54; ISG54; ISG-54 K; cig42; Interferon-induced protein with tetratricopeptide repeats 2; Interferon-induced 54 kDa protein; P54; GARG-39; G10P2; IFI54; ISG-54K |
应用说明
| 应用建议 |
|
||||||||||
|---|---|---|---|---|---|---|---|---|---|---|---|
| 应用说明 | * The dilutions indicate recommended starting dilutions and the optimal dilutions or concentrations should be determined by the scientist. | ||||||||||
| 实际分子量 | 55 kDa |
属性
| 形式 | Liquid |
|---|---|
| 纯化 | Affinity chromatography purified |
| 缓冲液 | 0.2% Na2HPO4, 0.9% NaCl and 4% Trehalose. |
| 稳定剂 | 4% Trehalose |
| 浓度 | 0.5 mg/ml |
| 存放说明 | For continuous use, store undiluted antibody at 2-8°C for up to a week. For long-term storage, aliquot and store at -22°C or below. Storage in frost free freezers is not recommended. Avoid repeated freeze/thaw cycles. Suggest spin the vial prior to opening. The antibody solution should be gently mixed before use. |
| 注意事项 | For laboratory research only, not for drug, diagnostic or other use. |
生物信息
| 数据库连接 |
Swiss-port # P09913 Human Interferon-induced protein with tetratricopeptide repeats 2 Swiss-port # Q64112 Mouse Interferon-induced protein with tetratricopeptide repeats 2 |
|---|---|
| 基因名称 | IFIT2 |
| 全名 | Interferon-Induced Protein With Tetratricopeptide Repeats 2 |
| 背景介绍 | Enables RNA binding activity. Involved in antiviral innate immune response and positive regulation of apoptotic process. Located in endoplasmic reticulum. [provided by Alliance of Genome Resources, Feb 2025] |
| 生物功能 | IFN-induced antiviral protein which inhibits expression of viral messenger RNAs lacking 2'-O-methylation of the 5' cap. The ribose 2'-O-methylation would provide a molecular signature to distinguish between self and non-self mRNAs by the host during viral infection. Viruses evolved several ways to evade this restriction system such as encoding their own 2'-O-methylase for their mRNAs or by stealing host cap containing the 2'-O-methylation (cap snatching mechanism). Binds AU-rich viral RNAs, with or without 5' triphosphorylation, RNA-binding is required for antiviral activity. Can promote apoptosis. [UniProt] |
| 细胞定位 | Cytoplasm. Endoplasmic reticulum. [UniProt] |
| 预测分子量 | 55 kDa |
| 翻译后修饰 | Acetylation. [UniProt] |
检测图片 (6) Click the Picture to Zoom In
-
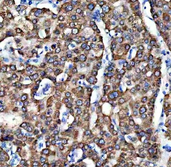
ARG45898 anti-IFIT2 antibody IHC-P image
Immunohistochemistry: Human liver cancer stained with ARG45898 anti-IFIT2 antibody at 2 μg/ml dilution.
-
ARG45898 anti-IFIT2 antibody ICC/IF image
Immunofluorescence: Hela stained with ARG45898 anti-IFIT2 antibody at 5 μg/ml dilution.
-
ARG45898 anti-IFIT2 antibody WB image
Western blot: Hacat stained with ARG45898 anti-IFIT2 antibody at 0.5 μg/ml dilution.
-
ARG45898 anti-IFIT2 antibody FACS image
Flow Cytometry: SiHa stained with ARG45898 anti-IFIT2 antibody at 1 µg/10^6 cells dilution.
-
ARG45898 anti-IFIT2 antibody WB image
Western blot: Rat liver stained with ARG45898 anti-IFIT2 antibody at 0.5 μg/ml dilution.
-
ARG45898 anti-IFIT2 antibody WB image
Western blot: Mouse liver stained with ARG45898 anti-IFIT2 antibody at 0.5 μg/ml dilution.
