ARG59855
anti-IFI16 antibody
anti-IFI16 antibody for IHC-Formalin-fixed paraffin-embedded sections,Western blot and Human,Mouse,Rat
概述
| 产品描述 | Rabbit Polyclonal antibody recognizes IFI16 |
|---|---|
| 反应物种 | Hu, Ms, Rat |
| 应用 | IHC-P, WB |
| 宿主 | Rabbit |
| 克隆 | Polyclonal |
| 同位型 | IgG |
| 靶点名称 | IFI16 |
| 抗原物种 | Human |
| 抗原 | Recombinant fusion protein corresponding to aa. 1-300 of Human IFI16 (NP_005522.2). |
| 偶联标记 | Un-conjugated |
| 別名 | Gamma-interferon-inducible protein 16; IFNGIP1; Ifi-16; Interferon-inducible myeloid differentiation transcriptional activator; PYHIN2 |
应用说明
| 应用建议 |
|
||||||
|---|---|---|---|---|---|---|---|
| 应用说明 | * The dilutions indicate recommended starting dilutions and the optimal dilutions or concentrations should be determined by the scientist. | ||||||
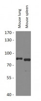
| 阳性对照 | Mouse lung and Mouse spleen | ||||||
| 实际分子量 | 88 kDa |
属性
| 形式 | Liquid |
|---|---|
| 纯化 | Affinity purified. |
| 缓冲液 | PBS (pH 7.3), 0.02% Sodium azide and 50% Glycerol. |
| 抗菌剂 | 0.02% Sodium azide |
| 稳定剂 | 50% Glycerol |
| 存放说明 | For continuous use, store undiluted antibody at 2-8°C for up to a week. For long-term storage, aliquot and store at -20°C. Storage in frost free freezers is not recommended. Avoid repeated freeze/thaw cycles. Suggest spin the vial prior to opening. The antibody solution should be gently mixed before use. |
| 注意事项 | For laboratory research only, not for drug, diagnostic or other use. |
生物信息
| 数据库连接 |
Swiss-port # Q16666 Human Gamma-interferon-inducible protein 16 |
|---|---|
| 基因名称 | IFI16 |
| 全名 | interferon, gamma-inducible protein 16 |
| 背景介绍 | This gene encodes a member of the HIN-200 (hematopoietic interferon-inducible nuclear antigens with 200 amino acid repeats) family of cytokines. The encoded protein contains domains involved in DNA binding, transcriptional regulation, and protein-protein interactions. The protein localizes to the nucleoplasm and nucleoli, and interacts with p53 and retinoblastoma-1. It modulates p53 function, and inhibits cell growth in the Ras/Raf signaling pathway. Alternatively spliced transcript variants encoding different isoforms have been found for this gene. [provided by RefSeq, Apr 2011] |
| 生物功能 | Binds double-stranded DNA. Binds preferentially to supercoiled DNA and cruciform DNA structures. Seems to be involved in transcriptional regulation. May function as a transcriptional repressor. Could have a role in the regulation of hematopoietic differentiation through activation of unknown target genes. Controls cellular proliferation by modulating the functions of cell cycle regulatory factors including p53/TP53 and the retinoblastoma protein. May be involved in TP53-mediated transcriptional activation by enhancing TP53 sequence-specific DNA binding and modulating TP53 phosphorylation status. Seems to be involved in energy-level-dependent activation of the ATM/ AMPK/TP53 pathway coupled to regulation of autophagy. May be involved in regulation of TP53-mediated cell death also involving BRCA1. May be involved in the senescence of prostate epithelial cells. Involved in innate immune response by recognizing viral dsDNA in the cytosol and probably in the nucleus. After binding to viral DNA in the cytoplasm recruits TMEM173/STING and mediates the induction of IFN-beta. Has anti-inflammatory activity and inhibits the activation of the AIM2 inflammasome, probably via association with AIM2. Proposed to bind viral DNA in the nucleus, such as of Kaposi's sarcoma-associated herpesvirus, and to induce the formation of nuclear caspase-1-activating inflammasome formation via association with PYCARD. Inhibits replication of herpesviruses such as human cytomegalovirus (HCMV) probably by interfering with promoter recruitment of members of the Sp1 family of transcription factors. Necessary to activate the IRF3 signaling cascade during human herpes simplex virus 1 (HHV-1) infection and promotes the assembly of heterochromatin on herpesviral DNA and inhibition of viral immediate-early gene expression and replication. Involved in the MTA1-mediated epigenetic regulation of ESR1 expression in breast cancer. [UniProt] |
| 细胞定位 | Nucleus. Cytoplasm. Note=Cellular distribution is dependent on the acetylation status of the multipartite nuclear localization signal (NLS); NLS acetylation promotes cytoplasmic localization. Localizes in the nucleus during human herpes simplex virus 1 (HHV-1) infection. [UniProt] |
| 预测分子量 | 88 kDa |
| 翻译后修饰 | Ubiquitinated by human herpes simplex virus 1 (HHV-1) ICP0 protein; leading to degradation by the proteasome. Lysine acetylation in the multipartite nuclear localization signal (NLS) regulates the subcellular location. In vitro can be acetylated by p300/EP300 coupled to cytoplasmic localization. Phosphorylated on Ser and Thr. Isoform 3 seems to show a minor degree of complex carbohydrate addition. [UniProt] |
检测图片 (3) Click the Picture to Zoom In
-
ARG59855 anti-IFI16 antibody IHC-P image
Immunohistochemistry: Paraffin-embedded Mouse lung stained with ARG59855 anti-IFI16 antibody at 1:100 dilution.
-
ARG59855 anti-IFI16 antibody WB image
Western blot: 25 µg of Mouse lung and Mouse spleen lysates stained with ARG59855 anti-IFI16 antibody at 1:1000 dilution.
-
ARG59855 anti-IFI16 antibody IHC-P image
Immunohistochemistry: Paraffin-embedded Mouse kidney stained with ARG59855 anti-IFI16 antibody at 1:100 dilution.
