ARG42191
anti-IDS / Iduronate 2 Sulfatase antibody
anti-IDS / Iduronate 2 Sulfatase antibody for IHC-Formalin-fixed paraffin-embedded sections,Western blot and Human
概述
| 产品描述 | Rabbit Polyclonal antibody recognizes IDS / Iduronate 2 Sulfatase |
|---|---|
| 反应物种 | Hu |
| 应用 | IHC-P, WB |
| 宿主 | Rabbit |
| 克隆 | Polyclonal |
| 同位型 | IgG |
| 靶点名称 | IDS / Iduronate 2 Sulfatase |
| 抗原物种 | Human |
| 抗原 | Synthetic peptide corresponding to aa. 430-448 of Human IDS / Iduronate 2 Sulfatase. (ELCREGKNLLKHFRFRDLE) |
| 偶联标记 | Un-conjugated |
| 別名 | Alpha-L-iduronate sulfate sulfatase; Iduronate 2-sulfatase; Idursulfase; SIDS; EC 3.1.6.13; MPS2 |
应用说明
| 应用建议 |
|
||||||
|---|---|---|---|---|---|---|---|
| 应用说明 | * The dilutions indicate recommended starting dilutions and the optimal dilutions or concentrations should be determined by the scientist. | ||||||
| 阳性对照 | HeLa, SMMC-7721, A549, MCF7 and COLO | ||||||
| 实际分子量 | ~ 62 kDa |
属性
| 形式 | Liquid |
|---|---|
| 纯化 | Affinity purification with immunogen. |
| 缓冲液 | 0.2% Na2HPO4, 0.9% NaCl, 0.05% Thimerosal, 0.05% Sodium azide and 5% BSA. |
| 抗菌剂 | 0.05% Thimerosal and 0.05% Sodium azide |
| 稳定剂 | 5% BSA |
| 浓度 | 0.5 mg/ml |
| 存放说明 | For continuous use, store undiluted antibody at 2-8°C for up to a week. For long-term storage, aliquot and store at -20°C or below. Storage in frost free freezers is not recommended. Avoid repeated freeze/thaw cycles. Suggest spin the vial prior to opening. The antibody solution should be gently mixed before use. |
| 注意事项 | For laboratory research only, not for drug, diagnostic or other use. |
生物信息
| 数据库连接 | |
|---|---|
| 基因名称 | IDS |
| 全名 | iduronate 2-sulfatase |
| 背景介绍 | This gene encodes a member of the sulfatase family of proteins. The encoded preproprotein is proteolytically processed to generate two polypeptide chains. This enzyme is involved in the lysosomal degradation of heparan sulfate and dermatan sulfate. Mutations in this gene are associated with the X-linked lysosomal storage disease mucopolysaccharidosis type II, also known as Hunter syndrome. Alternative splicing results in multiple transcript variants, at least one of which encodes a preproprotein that is proteolytically processed. [provided by RefSeq, Jan 2016] |
| 生物功能 | Lysosomal enzyme involved in the degradation pathway of dermatan sulfate and heparan sulfate. [UniProt] |
| 细胞定位 | Lysosome. [UniProt] |
| 预测分子量 | 62 kDa |
| 翻译后修饰 | The conversion to 3-oxoalanine (also known as C-formylglycine, FGly), of a serine or cysteine residue in prokaryotes and of a cysteine residue in eukaryotes, is critical for catalytic activity. [UniProt] |
检测图片 (2) Click the Picture to Zoom In
-
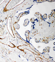
ARG42191 anti-IDS / Iduronate 2 Sulfatase antibody IHC-P image
Immunohistochemistry: Paraffin-embedded Human placenta tissue stained with ARG42191 anti-IDS / Iduronate 2 Sulfatase antibody.
-
ARG42191 anti-IDS / Iduronate 2 Sulfatase antibody WB image
Western blot: HeLa, SMMC-7721, A549, MCF7 and COLO cell lysates stained with ARG42191 anti-IDS / Iduronate 2 Sulfatase antibody.
