ARG44437
anti-IDI1 antibody
anti-IDI1 antibody for Flow cytometry,IHC-Formalin-fixed paraffin-embedded sections,Western blot and Human,Mouse,Rat
概述
| 产品描述 | Rabbit Polyclonal antibody recognizes IDI1 |
|---|---|
| 反应物种 | Hu, Ms, Rat |
| 应用 | FACS, IHC-P, WB |
| 宿主 | Rabbit |
| 克隆 | Polyclonal |
| 同位型 | IgG |
| 靶点名称 | IDI1 |
| 抗原物种 | Human |
| 抗原 | Human IDI1 recombinant protein |
| 偶联标记 | Un-conjugated |
| 別名 | IDI1; Isopentenyl-Diphosphate Delta Isomerase 1; Isopentenyl-Diphosphate Delta-Isomerase 1; Isopentenyl Pyrophosphate Isomerase 1; IPP Isomerase 1 |
应用说明
| 应用建议 |
|
||||||||
|---|---|---|---|---|---|---|---|---|---|
| 应用说明 | The dilutions indicate recommended starting dilutions and the optimal dilutions or concentrations should be determined by the scientist. |
属性
| 形式 | Liquid |
|---|---|
| 纯化 | Affinity purified with Immunogen. |
| 缓冲液 | 0.9% NaCl, 0.2% Na2HPO4, 0.05% Sodium azide and 4% Trehalose. |
| 抗菌剂 | 0.05% Sodium azide |
| 稳定剂 | 4% Trehalose |
| 浓度 | 0.5 mg/ml |
| 存放说明 | For continuous use, store undiluted antibody at 2-8°C for up to a week. For long-term storage, aliquot and store at -20°C or below. Storage in frost free freezers is not recommended. Avoid repeated freeze/thaw cycles. Suggest spin the vial prior to opening. The antibody solution should be gently mixed before use. |
| 注意事项 | For laboratory research only, not for drug, diagnostic or other use. |
生物信息
| 数据库连接 | |
|---|---|
| 基因名称 | IDI1 |
| 全名 | Isopentenyl-Diphosphate Delta Isomerase 1 |
| 背景介绍 | IDI1 encodes a peroxisomally-localized enzyme that catalyzes the interconversion of isopentenyl diphosphate (IPP) to its highly electrophilic isomer, dimethylallyl diphosphate (DMAPP), which are the substrates for the successive reaction that results in the synthesis of farnesyl diphosphate and, ultimately, cholesterol. It has been shown in peroxisomal deficiency diseases such as Zellweger syndrome and neonatal adrenoleukodystrophy that there is reduction in IPP isomerase activity. |
| 生物功能 | Catalyzes the 1,3-allylic rearrangement of the homoallylic substrate isopentenyl (IPP) to its highly electrophilic allylic isomer, dimethylallyl diphosphate (DMAPP). |
| 细胞定位 | Peroxisome |
| 预测分子量 | 26 kDa |
| 翻译后修饰 | Acetylation |
检测图片 (5) Click the Picture to Zoom In
-
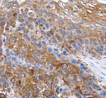
ARG44437 anti-IDI1 antibody IHC-P image
Immunohistochemistry: Human esophageal squamous carcinoma stained with ARG44437 anti-IDI1 antibody at 2 μg/mL dilution.
-
ARG44437 anti-IDI1 antibody WB image
Western blot: Caco-2, A431 and 293T stained with ARG44437 anti-IDI1 antibody at 0.5 μg/mL dilution.
-
ARG44437 anti-IDI1 antibody FACS image
Flow Cytometry: 293T stained with ARG44437 anti-IDI1 antibody at 1 μg/10^6 cells dilution.
-
ARG44437 anti-IDI1 antibody WB image
Western blot: Rat liver stained with ARG44437 anti-IDI1 antibody at 0.5 μg/mL dilution.
-
ARG44437 anti-IDI1 antibody WB image
Western blot: Mouse liver stained with ARG44437 anti-IDI1 antibody at 0.5 μg/mL dilution.
