ARG67108
anti-IARS2 antibody
anti-IARS2 antibody for ICC/IF,IHC-Formalin-fixed paraffin-embedded sections,Western blot and Human,Mouse,Monkey
概述
| 产品描述 | Rabbit Polyclonal antibody recognizes IARS2 |
|---|---|
| 反应物种 | Hu, Ms, Mk |
| 应用 | ICC/IF, IHC-P, WB |
| 宿主 | Rabbit |
| 克隆 | Polyclonal |
| 同位型 | IgG |
| 靶点名称 | IARS2 |
| 抗原物种 | Human |
| 抗原 | Human IARS2 Synthesized peptide |
| 偶联标记 | Un-conjugated |
| 別名 | IARS2; Isoleucyl-TRNA Synthetase 2, Mitochondrial; Isoleucine TRNA Ligase 2, Mitochondrial; Isoleucine--TRNA Ligase, Mitochondrial; EC 6.1.1.5; FLJ10326; Isoleucine-TRNA Synthetase 2, Mitochondrial; Isoleucyl-TRNA Synthetase, Mitochondrial; Mitochondrial Isoleucine TRNA Synthetase; Isoleucyl-TRNA Synthetase; EC 6.1.1; CAGSSS; ILERS; IleRS |
应用说明
| 应用建议 |
|
||||||||
|---|---|---|---|---|---|---|---|---|---|
| 应用说明 | * The dilutions indicate recommended starting dilutions and the optimal dilutions or concentrations should be determined by the scientist. |
属性
| 形式 | Liquid |
|---|---|
| 纯化 | Affinity purification with immunogen. |
| 缓冲液 | PBS (pH 7.4), 0.02% Sodium azide, 50% Glycerol and 0.5% BSA. |
| 抗菌剂 | 0.02% Sodium azide |
| 稳定剂 | 50% Glycerol and 0.5% BSA |
| 存放说明 | For continuous use, store undiluted antibody at 2-8°C for up to a week. For long-term storage, aliquot and store at -20°C. Storage in frost free freezers is not recommended. Avoid repeated freeze/thaw cycles. Suggest spin the vial prior to opening. The antibody solution should be gently mixed before use. |
| 注意事项 | For laboratory research only, not for drug, diagnostic or other use. |
生物信息
| 数据库连接 |
Swiss-port # Q8BIJ6 Mouse Isoleucine--tRNA ligase, mitochondrial Swiss-port # Q9NSE4 Human Isoleucine--tRNA ligase, mitochondrial |
|---|---|
| 基因名称 | IARS2 |
| 全名 | Isoleucyl-TRNA Synthetase 2, Mitochondrial |
| 背景介绍 | Aminoacyl-tRNA synthetases catalyze the aminoacylation of tRNA by their cognate amino acid. Because of their central role in linking amino acids with nucleotide triplets contained in tRNAS, aminoacyl-tRNA synthetases are thought to be among the first proteins that appeared in evolution. Two forms of isoleucine-tRNA synthetase exist, a cytoplasmic form and a mitochondrial form. This gene encodes the mitochondrial isoleucine-tRNA synthetase which belongs to the class-I aminoacyl-tRNA synthetase family. |
| 生物功能 | Aminoacyl-tRNA synthetase that catalyzes the specific attachment of isoleucine to its cognate tRNA (tRNA(Ile)). |
| 细胞定位 | Mitochondrion |
| 预测分子量 | 114 kDa |
| 翻译后修饰 | Acetylation |
检测图片 (5) Click the Picture to Zoom In
-
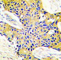
ARG67108 anti-IARS2 antibody IHC-P image
Immunohistochemistry: Human breast carcinoma stained with ARG67108 anti-IARS2 antibody.
-
ARG67108 anti-IARS2 antibody ICC/IF image
Immunofluorescence: HepG2 stained with ARG67108 anti-IARS2 antibody.
-
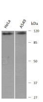
ARG67108 anti-IARS2 antibody WB image
Western blot: HeLa and A549 stained with ARG67108 anti-IARS2 antibody at 1:2000 dilution.
-
ARG67108 anti-IARS2 antibody WB image
Western blot: RAW264.7 stained with ARG67108 anti-IARS2 antibody at 1:2000 dilution.
-
ARG67108 anti-IARS2 antibody WB image
Western blot: COS7 stained with ARG67108 anti-IARS2 antibody at 1:2000 dilution.
