ARG44436
anti-IARS / Isoleucyl tRNA synthetase antibody
anti-IARS / Isoleucyl tRNA synthetase antibody for Flow cytometry,IHC-Formalin-fixed paraffin-embedded sections,Western blot and Human
概述
| 产品描述 | Rabbit Polyclonal antibody recognizes IARS / Isoleucyl tRNA synthetase |
|---|---|
| 反应物种 | Hu |
| 应用 | FACS, IHC-P, WB |
| 宿主 | Rabbit |
| 克隆 | Polyclonal |
| 同位型 | IgG |
| 靶点名称 | IARS / Isoleucyl tRNA synthetase |
| 抗原物种 | Human |
| 抗原 | Human IARS / Isoleucyl tRNA synthetase recombinant protein |
| 偶联标记 | Un-conjugated |
| 別名 | IARS1; Isoleucyl-TRNA Synthetase 1; ILRS; IARS; Isoleucine TRNA Ligase 1, Cytoplasmic; Isoleucine--TRNA Ligase, Cytoplasmic; Isoleucyl-TRNA Synthetase |
应用说明
| 应用建议 |
|
||||||||
|---|---|---|---|---|---|---|---|---|---|
| 应用说明 | The dilutions indicate recommended starting dilutions and the optimal dilutions or concentrations should be determined by the scientist. |
属性
| 形式 | Liquid |
|---|---|
| 纯化 | Affinity purified with Immunogen. |
| 缓冲液 | 0.9% NaCl, 0.2% Na2HPO4, 0.05% Sodium azide and 4% Trehalose. |
| 抗菌剂 | 0.05% Sodium azide |
| 稳定剂 | 4% Trehalose |
| 浓度 | 0.5 mg/ml |
| 存放说明 | For continuous use, store undiluted antibody at 2-8°C for up to a week. For long-term storage, aliquot and store at -20°C or below. Storage in frost free freezers is not recommended. Avoid repeated freeze/thaw cycles. Suggest spin the vial prior to opening. The antibody solution should be gently mixed before use. |
| 注意事项 | For laboratory research only, not for drug, diagnostic or other use. |
生物信息
| 数据库连接 |
Swiss-port # P41252 Human Isoleucine--tRNA ligase, cytoplasmic |
|---|---|
| 基因名称 | IARS1 |
| 全名 | Isoleucyl-TRNA Synthetase1 |
| 背景介绍 | Aminoacyl-tRNA synthetases catalyze the aminoacylation of tRNA by their cognate amino acid. Because of their central role in linking amino acids with nucleotide triplets contained in tRNAS, aminoacyl-tRNA synthetases are thought to be among the first proteins that appeared in evolution. Isoleucine-tRNA synthetase belongs to the class-I aminoacyl-tRNA synthetase family and has been identified as a target of autoantibodies in the autoimmune disease polymyositis/dermatomyositis. Alternatively spliced transcript variants have been found. |
| 生物功能 | Catalyzes the specific attachment of an amino acid to its cognate tRNA in a 2 step reaction: the amino acid (AA) is first activated by ATP to form AA-AMP and then transferred to the acceptor end of the tRNA. |
| 细胞定位 | Cytoplasm |
| 预测分子量 | 144 kDa |
| 翻译后修饰 | Acetylation, Phosphoprotein |
检测图片 (4) Click the Picture to Zoom In
-
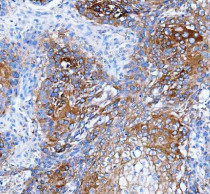
ARG44436 anti-IARS / Isoleucyl tRNA synthetase antibody IHC-P image
Immunohistochemistry: Human esophageal squamous carcinoma stained with ARG44436 anti-IARS / Isoleucyl tRNA synthetase antibody at 2 μg/mL dilution.
-
ARG44436 anti-IARS / Isoleucyl tRNA synthetase antibody WB image
Western blot: K562 and HeLa stained with ARG44436 anti-IARS / Isoleucyl tRNA synthetase antibody at 0.5 μg/mL dilution.
-
ARG44436 anti-IARS / Isoleucyl tRNA synthetase antibody FACS image
Flow Cytometry: HepG2 stained with ARG44436 anti-IARS / Isoleucyl tRNA synthetase antibody at 1 μg/10^6 cells dilution.
-
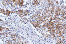
ARG44436 anti-IARS / Isoleucyl tRNA synthetase antibody IHC-P image
Immunohistochemistry: Human lung cancer stained with ARG44436 anti-IARS / Isoleucyl tRNA synthetase antibody at 2 μg/mL dilution.
